Défaut radio?
Sujet commencé par : kagnotte - Il y a 79 réponses à ce sujet, dernière réponse par jcdPar kagnotte : le 21/08/24 à 08:33:16
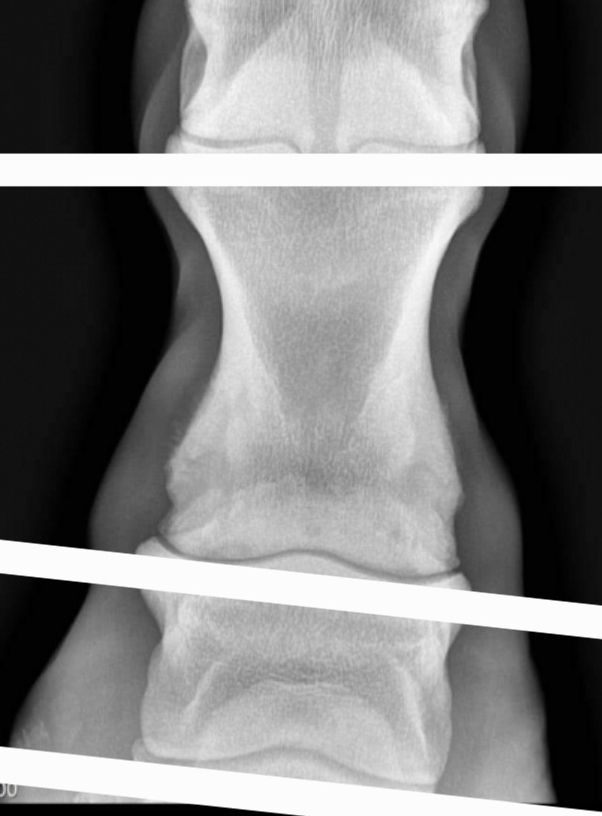
| Dire merci | ![]() Avec ce genre de radio, et légère déformation du paturon est ce que quelqu'un aurait une une idée des risques? Le cheval ne boite pas. C'est pour ma culture personnelle |
Par kagnotte : le 21/08/24 à 12:03:12
| Dire merci | C'est sure que c'est un beau cheval, j'aime beaucoup. Après je serai incapable de lire des radios. |
Par Juliie : le 21/08/24 à 12:36:54
| Dire merci | L’extrémité distale de P1 me semble quand même très remaniée ? ![]() Enfin je ne suis pas experte en lecture de radio, mais le bord latéral est pas bien joli je trouve. Bon clairement, vu le cheval, les clichés, le contexte… c’est peut être pas l’idée du siècle Ça serait intéressant de faire un post de lecture de radios, avec le CR ensuite. Ça peut être instructif ![]() |
Par kagnotte : le 21/08/24 à 14:42:17
| Dire merci | Ceux qui me tentent bien c'est les lipizzans avec l'élevage que m'a présenter tarkan, j'irai bien voir l'élevage. Et sinon l'élevage où j'ai acheté Léo, voir les dsa, les barbes arabes, et les barbes. Au finla ce genre de petit chevaux rustiques et polyvalents ça me va bien. Les machines de sport pétées de sang on va passer, j'ai passé l'âge de me faire secouer la paillasse. |
Par sheytana : le 21/08/24 à 15:12:56
| Dire merci | J'ai aussi bcp aimé cet élevage, je pense que ça aurait vraiment été des chevaux parfaits pour toi ! |
Par poonsy_alice : le 21/08/24 à 21:00:12
| Dire merci | J'ai du regarder deux fois la date du post, je pensais avoir mal lu ! T'es incroyable ![]() |
Par kagnotte : le 21/08/24 à 21:39:04
| Dire merci | Non mais je ne vais pas l'acheter. Juste je trouve le cheval joli, l'annonce particulière. Et la lecture des radios m'intéresse. Mon futur cheval ce serra pas avant 2 ans, quand Ukai serra plus vieux et que Léo serra vraiment démarré. |
Par kagnotte : le 21/08/24 à 21:51:58
| Dire merci | La seule chose que je cherche désespérément c'est une epierreuse. Ma carrière est inutilisable, ça me déprime et je ne trouve rien qui pourrait nous aider mécaniquement. Là je n'ai plus le courage de passer des heures à 4 pattes dans la carrière pour enlever des brouettes et des brouettes de cailloux pour quasiment aucune amélioration. Les balades me sortent par les yeux. |
Par Pez : le 21/08/24 à 21:53:11
| Dire merci | Contacte une entreprise de terrassement. Message édité le 21/08/24 à 21:53 |
Par kagnotte : le 21/08/24 à 21:55:30
| Dire merci | Je ne trouve que des enfouisseurs de pierres qui enfouisse à 15 cm, mais je ne sais pas si en tassant après il remonteront pas autant. La je vous jure que rien que le mon cailloux me colle de l'urticaire. Après les annonces de chevaux je regarde tout le temps, mais pas forcément pour acheter. |
Par sheytana : le 21/08/24 à 21:58:10
| Dire merci | Je ne trouve que des enfouisseurs de pierres qui enfouisse à 15 cm, mais je ne sais pas si en tassant après il remonteront pas autant. Bah pour le coup ça peut valoir le coup de tenter, au pire ça reviendra comme avant avec le temps mais tu auras pu en profiter ! |
Par Pez : le 21/08/24 à 21:58:58
| Dire merci | Non mais tu as des entreprises qui sont équipées pour ratisser, surtout quand ils préparent des pelouses ou des choses comme ça. L'entreprise de mon voisin le faisait. Donc le mieux c'est d'appeler et leur demander s'ils ont. Ou alors faut envisager de décaisser sur 10/15CM et remettre du sable. |
Par kagnotte : le 21/08/24 à 21:59:38
| Dire merci | Après je n'ai aucune idée de comment ça laisse le terrain ensuite. Si la carrière sera praticable pour les chevaux. Mais là je suis prête à tout essayer. Message édité le 21/08/24 à 22:00 |
Par kagnotte : le 21/08/24 à 22:02:05
| Dire merci | J'ai demandé partout personne ne fait sur cette quantité. Après c'est e. Délaissent déjà sur quasiment 1 mètre que les cailloux sont sortis, alors remettre du sable je ne suis pas sûre que ce ne soit pas toujours pareil. |
Par sheytana : le 21/08/24 à 22:02:13
| Dire merci | La solution de pez semble mieux encore ![]() |
Par Pez : le 21/08/24 à 22:02:27
| Dire merci | Lien moi je parle de ça après forcément, ça nécessite d'aplanir (sans tasser comme une brute) |
Par Pez : le 21/08/24 à 22:03:53
| Dire merci | et ça existe aussi sous forme de herse, avec un genre de filet qui récupère les cailloux. Par contre c'est sur que ça va brasser le sol sur au moins 30cm de profondeur (pour l'espèce de herse) |
Par Erzebeth : le 21/08/24 à 22:04:01
| Dire merci | Et sinon proposer aux potes de tes gamins de se faire un peu de muscu contre un peu de thunes et un barbecue à la fin, y'a pas moyen ? Faut bien que ça serve à quelque chose ces gosses ! |
Par kagnotte : le 21/08/24 à 22:04:14
| Dire merci | Je ne trouve personne dans mon coin ave ce matériel pour le faire. Mais je cherche, je dois aller voir des agris du coin pour voir si il n'y en a pas un pour me le faire. |
Par kagnotte : le 21/08/24 à 22:05:20
| Dire merci | Alors les potes comment dire, et bien j'ai pas eu beaucoup de succès, et il y en a vraiment vraiment beaucoup. |
Par Pez : le 21/08/24 à 22:06:59
| Dire merci | après c'est pas sur que ça soit pas moins cher de trouver un agri qui te décaisse tout + tasser très fort (comme si c'était une couche de craie) et de mettre du sable, que de faire intervenir une entreprise de terrassement. |
Par Pez : le 21/08/24 à 22:09:48
| Dire merci | Lien c'est chez les agris que tu vas trouver ça. Message édité le 21/08/24 à 22:14 |
Par kagnotte : le 21/08/24 à 22:21:17
| Dire merci | Ah oui je vais appeler pour avoir des infos. Parce que là je suis prête à acheter du matériel pour y arriver. |
Par kagnotte : le 21/08/24 à 22:29:32
| Dire merci | Le spuco de ce que je trouve c'est que c'est souvent seulement pour les grosses pierres. De toute façon je continue mes recherches, mais je pensais que ça allait être bien plus simple. |
Par Pez : le 21/08/24 à 22:31:33
| Dire merci | Non après tu as différents formats de fourche. Y en a à la location dans les trucs agricoles. Après faut trouver près de chez toi. Dans les régions viticoles ou avec bcp de craies ça se trouve y en a même à vendre sur lbc (mais sans tracteur ) |
Par kagnotte : le 21/08/24 à 22:33:03
| Dire merci | Chez nous dans les vignes ils laissent les cailloux. il y en a trop.Message édité le 21/08/24 à 22:33 |
Par kagnotte : le 21/08/24 à 22:37:01
| Dire merci | Mais je vais trouver une solution, je vais pas laisser tomber, parce que là je ne pense plus qu'à ça. |
Par Pez : le 21/08/24 à 22:37:18
| Dire merci | Oui enfin tente d'appeler quelques agris / coop agricoles / entrepreneurs agricoles avant d'être défaitiste, des solutions y en a, tu dis tjs "oui mais", faut essayer avant de baisser les bras |
Par kagnotte : le 21/08/24 à 22:39:30
| Dire merci | Ah mais j'ai lancé plusieurs pistes chez les agris du coins, j'attends des retours, mais rien de concluant pour le moment. Ça fait quand même 4 mois que je cherche une solutions, et qu'au final ça le fait pas pour le moment. Mais je vais bien finir par trouver. |
Par kagnotte : le 21/08/24 à 22:53:59
| Dire merci | Il existe pas mal de choses mais pour des diamètres de pierres trop gros. Là on réfléchit à la fabrication d'un truc maison poir dire. |
Par kagnotte : le 21/08/24 à 23:22:28
| Dire merci | Si ça fonctionne je vais le breveter le truc |
Par Pez : le 21/08/24 à 23:47:11
| Dire merci | Après y a aussi les trucs pour ramasser les crottins qui se mettent sur les petits tracteurs ou les quads si c’est pas des gros cailloux ça peut le faire |
Par kagnotte : le 22/08/24 à 09:22:53
| Dire merci | J'ai de toute les tailles sur 20 bons centimètres de profondeurs. C'est des galets, mais je ne pensais pas qu'il y en aurait autant quand on a juste décaissé pour mettre à plat, parce qu'en surface on en voyait pas tant que ça. |
Par Colomba : le 22/08/24 à 21:10:09
DéconnectéDire merci | Ben moi, radios ou pas, quand je vois ses paturons qui font 3 kms de longs, j'en voudrais pas.... |
Par takhan : le 24/08/24 à 09:59:08
| Dire merci | Moi je dis qu'une radio juste de face bonjour bonsoir pour interpréter quelque chose a fortiori si on a pas l'autre membre. |
Par Erzebeth : le 24/08/24 à 21:46:28
| Dire merci | Ben moi j'avoue qu'un cheval qui aurait dû coûter des sous mais qui est bradé à cause de ce qu'on voit sur une radio, de toutes façons, ça me donne pas envie. Mais c'est vrai que ça aurait été intéressant de comprendre ce qu'on était censé voir sur la radio! ![]() |
Par Pam : le 24/08/24 à 23:12:15
| Dire merci | Sur cette radio, perso je vois un affaissement de p3 et p2 par rapport a p1. Car p1 est bien parallèle au sol, alors que p2 et p3 sont inclinés :![]() J'imagine que le cheval compense la mauvaise repartition des charges dans le pied pendant un temps sans qu'il n'y ai de conséquence visible, mais est-il possible de corriger le tir avec un bon pareur ou maréchal avant que ça ne s'aggrave et que le cheval ne boîte? Aucune idée. Avis aux spécialistes? |
Par K.Zel : le 25/08/24 à 01:19:07
| Dire merci | J'ai des radios des boulets de Grimm que je suis retourné voir pour comparer. Je trouve les radios de mon poney plus jolies, avec mon oeil de béotien, et il a, je cite le rapport : Remodelage péri articulaire des boulets, épaisseur des cartilages faible, sclérose de l'os sous chondral. Ici, le souci je le vois sur P2, sur le bas, avec un remodelage non ? Sans doute consécutif à ce que souligne très justement pam Mais aussi en haut de P2. Mon poney a peu de cartilage selon le rapport, mais il y a plus "d'espacement" entre les os comparé au cheval noir. Je vais essayer de mettre des photos du mien, sachant que j'ai tout sur un PDF, donc ce n'est pas commode à extraire. Je précise bien que la radio portait sous les boulets, je n'ai pas plus bas sur ce type de vue arrière pour vraiment comparer. Et oui, ce sont de petites baguettes de Welsh B, pas la même épaisseur d'os J'avais fait des radios car je trouvais que ses boulets postérieurs avaient tendance à craquer, et il y a une gêne effective. La véto, au test locomoteur, m'a dit qu'elle aurait émis un avis positif sur une visite d'achat. Après radios, elle était plus réservée sans que ce soit une cata non plus. ![]() ![]() |
Par kagnotte : le 25/08/24 à 13:13:34
| Dire merci | De mon côté je ne prendrai pas le risque avec des radios moyennes. Ils sont honnêtes ils préviennent, mais je psychoterai tous les jours à le regarder marcher Je pense que je le verrai boiteux même si il ne l'était pas. Après oui je trouve l'échange intéressant sur ce type d'annonces. |
Par jcd : le 25/08/24 à 14:51:26
DéconnectéDire merci | dans ma boite, on utilise un godet cribleur pour oter les cailloux de la terre végétal ou pour trier du sable: Lien mais ce n'est pas très rapide alors, pour faire toute une carrière ça va être long (quels volumes ça peut faire?) |
Page : 1 | 2
Pour préserver la qualité de ce forum, vous devez être membre pour participer à cette discussion..
Il y a actuellement (69 351) membres dans la communauté.
Devenez membre | Connectez vous


En ligne

Déconnecté





















