Défaut radio?
Sujet commencé par : kagnotte - Il y a 79 réponses à ce sujet, dernière réponse par MaratrePar kagnotte : le 21/08/24 à 08:33:16
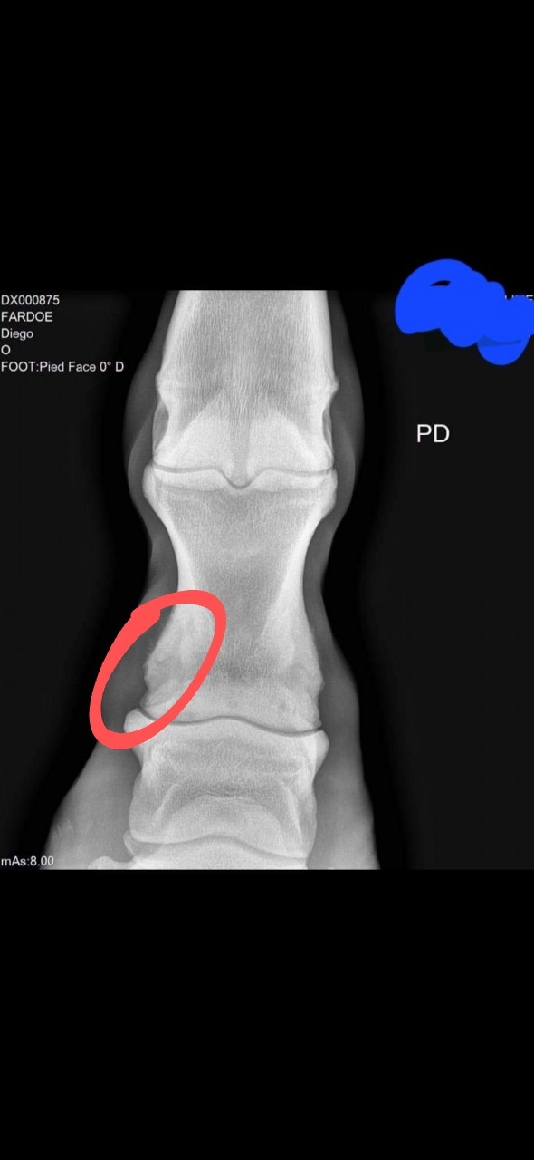
| Dire merci | ![]() Avec ce genre de radio, et légère déformation du paturon est ce que quelqu'un aurait une une idée des risques? Le cheval ne boite pas. C'est pour ma culture personnelle |
Par sheytana : le 21/08/24 à 08:36:21
| Dire merci | Je suis même pas capable de voir le défaut |
Par kagnotte : le 21/08/24 à 08:42:15
| Dire merci | Moi non plus Juste que ce cheval est à vendre avec ce type de radios et je me pose la question sur l'avenir de ce cheval. |
Par sheytana : le 21/08/24 à 08:45:28
| Dire merci | Tu cherches encore un nouveau poney ? |
Par kagnotte : le 21/08/24 à 08:49:26
| Dire merci | J'aimerai mais tant que ma carrière est pas praticable pas raisonnable, mais je regarde par curiosité. J'aimerai un copain pour Léo. Non mais le cheval est joli, se déplace comme un avion de chasse, mais avec ces radios et je me.demande ce qu'on peut en conclure. Message édité le 21/08/24 à 09:13 |
Par choupifresh : le 21/08/24 à 09:27:28
| Dire merci | ![]() C'est ça le défaut ? Alors je suis une bille la dedans, donc c'est une vraie question C'est dit quoi dans l'annonce ? |
Par choupifresh : le 21/08/24 à 09:28:21
| Dire merci | Méfie toi a pas te le faire voler par ta fille le prochain sinon tu vas les accumuler |
Par boby : le 21/08/24 à 09:28:27
| Dire merci | Je vois pas non plus la déformation mais je pense que pour répondre à ta question il faudra d autres infos comme l age du cheval ,ce qu il a fait jusque là... |
Par Erzebeth : le 21/08/24 à 09:34:07
| Dire merci | C'est la radio qu'est de traviole ou le membre qui n'est pas droit? ![]() |
Par kagnotte : le 21/08/24 à 09:39:53
| Dire merci | C'est un 3 ans qui n'a rien fait. Dans l'annonce il est dit que toutes les autres radios sont nickels, qu'il faut faire une proposition et venir le chercher rapidement. Il longe, a eu la selle, et a un déplacement pas degueux. Vidéos à l'appuie. Après ils cachent pas le souci, d'où ma question des tenant et aboutissants du souci. Message édité le 21/08/24 à 09:41 Message édité le 21/08/24 à 09:43 |
Par kefiretlome : le 21/08/24 à 09:44:02
| Dire merci | Demande l'avis aux Revols ? |
Par kagnotte : le 21/08/24 à 09:45:37
| Dire merci | Oui si je me décide à aller le voir je demande derai évidement. Mais bon à priori il a été castré il y a 1 mois et ils le décrivent comme coquin. Après il est très beau. |
Par kagnotte : le 21/08/24 à 09:46:37
Par sheytana : le 21/08/24 à 09:47:56
| Dire merci | Non mais c'est n'importe quoi kagnotte là non ? |
Par choupifresh : le 21/08/24 à 09:48:59
| Dire merci | Qu'est ce qu'elle nous fait la mère Kagnotte |
Par kagnotte : le 21/08/24 à 09:49:21
| Dire merci | Non mais je suis une personne très irraisonnable Non mais je regarde, j'ai tpujpurs regardé les annonces. Je mets toujours 10 ans à le décider. |
Par kagnotte : le 21/08/24 à 09:51:21
| Dire merci | Non mais je ne suis pas sûre de vouloir un cheval avec des radios limites. Je l'ai fait une fois ça à pas été une réussite |
Par sheytana : le 21/08/24 à 09:51:22
| Dire merci | Non mais en plus tu as déjà d'autres chevaux qui doivent arriver, il faudrait pas d'abord finir de caler tout ça avant de chercher un copain pour Léo ? ![]() Et puis si t'as trop d'argent, pourquoi tu prends pas quelqu'un pour finir ta carrière et enfin pouvoir bosser les chevaux que tu as déjà ? ![]() |
Par Erzebeth : le 21/08/24 à 09:55:29
| Dire merci | Tu es devenue rentière et tu as du temps à tuer? Non parce que plus sérieusement, aux dernières nouvelles, tu déplorais de ne pas avoir assez de temps à consacrer à Vaïna, même avec l'aide de ta fille. Tu as Léo à mettre en route, et un jeune, ça occupe bien. T'en remettre un autre sur les bras? Tu as trouvé le retourneur de temps de Dumbledore là! ![]() |
Par kagnotte : le 21/08/24 à 09:55:32
| Dire merci | Les autres chevaux ne vint pas arriver de suite. Et la carrière devis à 22000 euros, pas possible. Non mais je demande juste pour les radios, je n'ai pas appelé, n'ai pas zncore l'intention de le faire. Juste ça m'intrigue. Après ve type de cheval et la description du caractère est trop compliqué pour ce que je veux faire, pas envie de me faire ch*** avec ça. De toute façon sans ma carrière c'est pas possible un autre. |
Par kagnotte : le 21/08/24 à 09:57:00
| Dire merci | La recherche du prochain est prévue de commencer cer dans 2 ans. Quand Léo serra en route et que Ukaï aura 2 ou 3 ans de plus. Mais j'aime bien regarder les annonces et là ça m'intrigue. Message édité le 21/08/24 à 09:57 |
Par Erzebeth : le 21/08/24 à 09:58:07
| Dire merci | Les autres chevaux ne vint pas arriver de suite. mais ils doivent venir quand même, non? Une fois qu'ils sont là, si toi tu en as repris un entretemps, ça va commencer à faire beaucoup, non? ![]() Bon après si c'est juste pour la culture personnelle de comprendre le soucis aux radios, moi aussi je suis curieuse, donc why not, mais ton discours laisse quand même sous-entendre que tu envisagerais d'aller le voir, etc... c'est dur à comprendre tout ça! Donc je repose ma question à ceux qui savent lire des radios... elle est de travers ou c'est le membre qui n'est pas droit? ![]() |
Par sheytana : le 21/08/24 à 10:00:46
| Dire merci | Le devis à 22k c'était pas pour partir de zéro ? Là si c'est juste pour enlever des cailloux sur un endroit déjà plat, tu dois pouvoir trouver beaucoup moins cher non ? ![]() |
Par kagnotte : le 21/08/24 à 10:00:59
| Dire merci | Non aujourd'hui j'emmène les enfants faire du parapente et faire une rando avec mon chien, absolument pas prévu d'aller voir un cheval. Et je suis plus dans l'idée d'un cheval bien plus simple à gérer. L'ane et le poney ne devraient pas arriver avant mini 1 an. |
Par kagnotte : le 21/08/24 à 10:02:21
| Dire merci | Le devis c'est pour mettre du geotextile, de cailloux et du sable. Donc là je cherche quelqu'un pour enlever les cailloux, mais je trouve pas. |
Par Erzebeth : le 21/08/24 à 10:05:33
| Dire merci | Ah oui, forcément, un an ça commence à faire loin, mais si tu prends un copain pour Léo, dans un an il sera toujours là et ça va commencer à faire une grosse charge de travail tout ça. Tu ne peux pas voir pour faire famille d'accueil en attendant? Ou héberger un cheval convalescent? |
Par Pez : le 21/08/24 à 10:07:32
| Dire merci | Je vois le même défaut que Choupifresh, et peut-être aussi sur l'autre coté et en diagonale en partant du défaut entouré. Ca a pas l'air d'être grand chose, peut-être une petite atteinte osseuse en faisant l'idiot poulain. Une très très légère arthrose traumatique ? A priori c'est "rien" et ça sera peut-être jamais rien, mais il peut aussi développer de l'arthrose dans le temps je pense que c'est pour ça qu'il est à venir chercher rapidement. Par contre vu le cheval ça m'étonnerait quand même qu'il parte pour pour 2000e... certainement pour 5-6k malgré tout, si ce n'est plus, et là ça fait cher le "risque". |
Par kagnotte : le 21/08/24 à 10:10:12
| Dire merci | Oui j'imagine qu'il ne vont pas le brader, il a mes origines et est pas moche. Après oui je ne suis pas sûre que je serai prête à prendre le risque, j'ai déjà une to deuse à gazon ça suffit. |
Par kagnotte : le 21/08/24 à 10:20:57
| Dire merci | erzebeth ton idée et pas mal mais il fait savoir qu-un animal qui rentre chez moi y reste jusqu'à la fin de sa vie, je vais vite faire collection. Ça va pas m'arranger ça. |
Par Erzebeth : le 21/08/24 à 10:29:21
| Dire merci | Ben c'est bien pour ça qu'à ta place j'achèterais surtout pas. Bon et bien sûr avec des problèmes aux radios, ce serait niet, la question ne se poserait même pas. |
Par Erzebeth : le 21/08/24 à 10:31:28
| Dire merci | Après moi j'ai une copine qui a un poney-club, et si j'avais besoin d'un cheval en provisoire, je lui proposerais une place pour un convalescent/vieux ou autre, ou sinon à une copine éleveuse. (c'est comme ça que j'ai eu Hirondelle, la shetland à la mort de Sherpa). Bon j'aime pas spécialement avoir un cheval pas à moi chez moi, mais il y a des moments où c'est ma meilleure solution quand c'est du provisoire. |
Par Pez : le 21/08/24 à 10:34:02
| Dire merci | Après je suis personne pour te dire quoi faire, c'est ton argent et ta vie, mais y a pas moyen de trouver une configuration de troupeau, car admettons tu en reprends un (et vu que j'ai cru lire que la configuration 2 hongres + 1 jument ça n'allait pas chez toi, et en même temps c'est courant), est-ce qu'il faudrait pas une jument ? sauf si tu veux faire 2 troupeaux séparés ? Et ensuite je ne sais plus exactement ta surface, mais il me semble que c'est pas si énorme, quand tu auras le poney et l'an, ça t'en fera 5 voire 6 (si t'en reprends un), tu te sens d'en gérer autant ? nourrissage, eau, ramassage des crottins ? Je dis pas y aurait pas le poney et l'âne dans futur pas si lointain, pourquoi pas, mais au final ça demande autant de soin et de logistique, mais moi qui suis en pleine possession de mes moyens, l'idée d'en gérer 5-6 sur une petite surface... ça serait no way. Message édité le 21/08/24 à 10:47 |
Par kagnotte : le 21/08/24 à 10:43:02
| Dire merci | Il y aura un autre cheval pour moi à un moment de toute façon, même si ce n'est pas de suite. La surface n'est pas énorme mais ça va. Après l'âne et le poney c'est sûre c'est en plus. Mais il est j'en prévu 4 chevaux pour ma fille et moi. Maintenant la seule chose qui me chagrine c'est Léo tout seul. Message édité le 21/08/24 à 10:47 Message édité le 21/08/24 à 10:47 |
Par sheytana : le 21/08/24 à 10:55:15
| Dire merci | Propose une place au pré à quelqu'un pour 1 an ![]() |
Par kagnotte : le 21/08/24 à 10:58:49
| Dire merci | Ça me demande réflexion, j'ai pas envie de quelqu'un chez moi en plus. Et il faut complementer je n'ai pas assez d'herbe, j'ai pas envie de gérer ça sur un cheval pas à moi. |
Par kagnotte : le 21/08/24 à 11:23:32
| Dire merci | Mais je ne prendrais pas un cheval avec des radios moyennes, avec un caractère dit compliqué, même si très beau. Je ne suis pas raisonnable, mais pas maso non plus J'ai des idées sur ce que je veux vraiment dans mes prés Message édité le 21/08/24 à 11:23 |
Par Erzebeth : le 21/08/24 à 11:37:42
| Dire merci | Et il faut complementer je n'ai pas assez d'herbe, j'ai pas envie de gérer ça sur un cheval pas à moi. Alors propose une place pour un cheval au régime. |
Par stephy92 : le 21/08/24 à 11:47:16
| Dire merci | Ahahaha je l'ai vu aussi ce cheval Mais tout comme toi je ne sais pas ce qui cloche sur la radio ![]() Après de toute façon c'est un peu toujours au petit bonheur la chance un cheval... Je connais des chevaux avec des radios dégueux qui n'ont jamais boité et vice versa. Mais je comprends qu'on préfère partir sur des radios impeccables (si ça existe) |
Par kagnotte : le 21/08/24 à 11:53:15
| Dire merci | J'en ai un avec des radios nickel, mais comme dit mon véto c'est pas les plus courants. |
Par Pez : le 21/08/24 à 11:58:26
| Dire merci | Le mieux serait de demander un 2nd avis véto (et un vrai bon véto équin), en fonction de ce à quoi est destiné le cheval. |
Par Maratre : le 21/08/24 à 11:58:51
| Dire merci | Il est magnifique |
Page : 1 | 2
Pour préserver la qualité de ce forum, vous devez être membre pour participer à cette discussion..
Il y a actuellement (69 351) membres dans la communauté.
Devenez membre | Connectez vous


Déconnecté












En ligne








