Où en êtes vous avec vos F ?
Sujet commencé par : Lou Ann58 - Il y a 4078 réponses à ce sujet, dernière réponse par moncheval3319 personnes suivent ce sujet.
Par Lou Ann58 : le 12/03/15 à 07:29:53
| Dire merci | Cette année c'est moi qui me lance ! ![]() Donc Fairway, mâle DSA (75% d'arabe), par Lou Ann (DSA) et Sleipnir des Aubus (PSAR) né le 11 mars à 11h42! ![]() ![]() ![]() |
Messages 3281 à 3320, Page : < < | 75 | 76 | 77 | 78 | 79 | 80 | 81 | 82 | 83 | 84 | 85 | 86 | 87 | 88 | 89 | 90 | 91 > >
Par cyanne : le 30/12/16 à 21:43:05
| Dire merci | T'auras l'avis veto quand? Je trouve ça dingue qu'on te disent il a ça et pas plus d'explications |
Par moncheval33 : le 30/12/16 à 21:43:06
| Dire merci | Cet été :![]() ![]() Tout à l'heure à la clinique j'essayais de le prendre en photo mais il était un peu en stress, étant enceinte je n'ai pris aucun risque, mon père essayait de le tenir comme il pouvait ![]() ![]() |
Par moncheval33 : le 30/12/16 à 21:51:06
| Dire merci | cyanne la veto envoit mes radios au chirurgien demain donc j'en saurai plus la semaine prochaine je pense. Pour l'instant le pronostic est réservé. irisetquiara39 ça peut être héréditaire mais la veto pense plutôt à un "défaut" de croissance (il a été très stable pendant plusieurs mois et tout d'un coup a poussé comme un champignon .... croissance trop rapide d'un coup ?). Mais une chose est sûre ce n'est pas traumatique. En tout cas chose certaine la mère n'a jamais eu d'OCD et n'a commence à déclarer de l'arthrose qu'à 18 ans suite à un mauvais coup .... |
Par moncheval33 : le 30/12/16 à 21:54:18
| Dire merci | A la base oui il était destiné à être vendu .... mais pour l'instant je pense pas trop à ça .... j'ai les idées en désordre. Je me demande quelle décision je vais prendre .... j'attends impatiemment l'avis du docteur Lenormand en espérant que les clichés de la veto lui suffira à me dire brièvement ce qu'il en est .... même si il fera un bilan complet d'OCD sur toutes les articulations si je décide de l'amener chez lui .... |
Par irisetquiara39 : le 30/12/16 à 22:27:05
| Dire merci | effectivement le pauvre est pas dans sa période la plus harmonieuse en plus :/ |
Par moncheval33 : le 30/12/16 à 22:36:05
| Dire merci | Oui franchement l'année se termine pas bien .... là à chaud j'ai juste envie de pleurer de fatigue (si j'avais que ce pb .. ) Je me suis retenue devant la veto et mon père pcq j'avais honte de me mettre dans ces états là et puis pas envie de secouer bébé avant de reprendre la route mais franchement ce soir j'ai vraiment le moral dans les chaussettes ![]() |
Par Tatouchka : le 31/12/16 à 01:05:47
| Dire merci | Je suis vraiment désolée pour toi @moncheval33 ... quelle mauvaise nouvelle ![]() ![]() ![]() Je ne savais même pas qu'un poulain aussi jeune pouvais souffrir déjà d'arthrose ![]() J'espère que l'avis du spécialiste sera plus encourageant... j'y crois Ici on a fêté les 1 an de l'arrivée de Féerie auprès de moi... j'arrive pas à croire qu'une année est déjà passée ![]() Pour l'occasion on a fait des phôtes ... et comme par hasard on a refait la pose de la 1ere photo la nuit de son arrivée ( mêmes oreilles 😁 sans le savoir.![]() |
Par Colomba : le 31/12/16 à 09:23:15
DéconnectéDire merci | Ah oui ça y est, je m'en souviens... L'ocd, oui, ça peut etre un accident de croissance, mais l'arthrose sur les 2 jarrets, j'en doute... Tu sais ce qu'il y a de l'autre coté du croisement? |
Par Loustix : le 31/12/16 à 09:42:10
| Dire merci | Ah mais je pensais que tu avais vendu ce poulain pour acheter la pouliche d'al il me semble ! ![]() Après comme Colomba, c'est une maladie en général héréditaire, donc si tu as rien côté mère, regarder en effet côté père. Après pour te rassurer un peu dans toute cette merde... J'ai fait opérer mon hongre croisé lusi il y'a 4 ans... Les deux jarrets parce qu'il avait fait ça bien aussi ! Le chirurgien m'a dit qu'il n'y avait aucune lésion des cartilages, que le soucis avait était pris à temps (le contrôle radio derrière était assez hallucinant, vraiment aucune trace de problème) et le cheval a une carrière sportive normale derrière... ![]() |
Par chapaval : le 31/12/16 à 09:46:19
| Dire merci | nirvelli elle est super belle ! Son poil a l'air bien brillant tu as de la chance elle a l'air toute propre même pas poussiéreuse ![]() cyanne joli portrait en effet " class="lien">tiloou117 super que ça ce passe bien, cest top les sorties en main ça leur fait découvrir plein de choses " en douceur " je trouve ! nirvelli elle est super belle ! Son poil a l'air bien brillant tu as de la chance elle a l'air toute propre même pas poussiéreuse ![]() cyanne joli portrait en effet moncheval33 pfiou quelle mouise en plus étant enceinte voilà le moral que ça te fiche bon courage j'espère que tu en seras un peu plus avec Lenormand tu as déjà était consulté chez lui ?? |
Par moncheval33 : le 31/12/16 à 10:30:50
| Dire merci | colomba je ne sais pas ce qu'il y a du côté de maman mais c'est clairement de l'ibérique, ça ressemble bcp à de l'espagnol/lusI. Ça fait très longtemps que j'ai la mère et à la visite d'achat (elle avait donc 7 ans) les radios étaient niquel sauf léger début d'arthrose antérieur suite à une mauvaise conformation des aplomb (cagneuse). Mais avec un bon maréchal on a réussi à stabiliser ça pendant des années. Par contre d'un côté du père il y a de l'Ortigao Costa alors malgré tout le respect que j'ai pour les éleveurs, étant donnée sa technique de sélectionner ses chevaux et de garder que les bons (hum) j'ai un léger doute quant aux images que pourrait présenter ce cheval là précisément mais je jette la pierre sur personne c'est comme ça et puis c'est tout.Pourquoi tu doutes sur la présence d'arthrose ? Tu penses que la veto aurait pu mal interpréter ls radios ? (La proprio de l'étalon me dit qu'à cet âge là difficile de faire la diff entre du cartilage de croissance inflammé et de l'arthrose ?) loustix si mais ce serait un peu long à expliquer. Mais en gros pour l'instant elle est au chaud chez un ami le temps que je règle mes soucis (et il faut dire que 2016 c'est pas mon année). J'ai limpression que l'OCD est courante chez le lusi .... il doit y avoir en effet un facteur génétique non négligeant. Mon problème c'est qu'à priori j'ai pas vraiment pris le pb à temps puisque de l'arthrose se serait déjà installée. Et comme dit la veto autant sur un cheval de 5 ou 6 ans déjà mis au travail on peut faire un pronostic assez précis autant sur un poulain de 18 mois ....... on sait pas trop comment ça va évoluer tout ça. Message édité le 31/12/16 à 10:34 |
Par moncheval33 : le 31/12/16 à 10:32:44
| Dire merci | chapaval oui hélas (parce que généralement quand je vais chez lui c'est pas pour une promenade de santé). Le docteur Lenormand a vu au moins 4 fois ma jument et par contre n'a jamais vu mon poulain. |
Par Nirvelli : le 31/12/16 à 11:13:59
| Dire merci | Merci chapaval , mais elle brille car je venais de passer presqu'une heure à la nettoyer, elle était grave crassouse, elle adore se rouler dans la boue, quand elle ne se vautre pas en voulant échapper aux coups de dents de ma vieille... moncheval33 , essaie de ne pas trop te faire de film tant que tu n'as pas l'avis du véto spécialiste. Pour l'arthrose, les chevaux en ont tous plus ou moins sans que ça n'influe forcément sur leurs performances. Ma jument a 20 ans cette année, quand je l'ai achetée à 12 ans, elle en avait déjà, et son ancienne proprio qui l'a eue à 4 ans m'avait dit qu'elle en avait déjà quand elle l'a achetée aussi . Pour autant, elle n'a jamais boité ou quoi que ce soit à cause de ça. En vieillissant, elle est juste un peu plus raide au démarrage et il faut qu'elle soit au pré H24 car pour l'arthrose, le pire c'est l'immobilisation en boxe. Plus le cheval bouge, mieux c'est. Message édité le 31/12/16 à 11:15 |
Par moncheval33 : le 31/12/16 à 11:34:12
| Dire merci | C'est gentil nirvelli j'attends en effet l'avis de l'expert. J'aimerais vous montrer les radios mais je les ai pas encore reçu ..... je viens d'appeler la clinique ils les ont bien envoyé à Lenormand mais pas à moi ... |
Par moncheval33 : le 31/12/16 à 11:36:17
| Dire merci | Et quand bien même je décide d'opérer je sais même pas comment je vais faire pour la longue convalescence qu'il y aura derrière .... je peux pas m'en occuper. Bébé est prévu pour le mois d'avril .... comment je vais faire .... c'est vraiment la cata. |
Par Nirvelli : le 31/12/16 à 11:58:30
| Dire merci | Je te sens à bout ... Il n'y a personne qui pourrait un peu te relayer à la pension pour les semaines à venir ? Tu es trop impliquée affectivement et trop fatiguée pour garder les idées claires et tu vois forcément tout en noir. Dis toi que ton poulain n'est pas en danger de mort et qu'à part attendre pour l'instant, il n'y a rien à faire de spécial. Je sais, c'est plus facile à dire qu'à faire. Je suis moi même une grande stressée quand il s'agit de mes chevaux, mais ce sont quand même des animaux pleins de ressources. ![]() |
Par Loustix : le 31/12/16 à 12:00:30
| Dire merci | Perso je n'ai pas suivi le protocole derrière et le cheval s'en ai très bien tiré, il avait d'ailleurs jamais vu d'aussi belle rémission le véto... ![]() Il a fait 1 mois de box avec foin à volonté et deux rations par jour (il n'était pourtant qu'au foin avant le box) et le cheval était juste dépressif, tête basse on l'aurait cru shooté, il a perdu 100kg malgré l'aliment, j'ai décidé de le mettre au paddock au bout d'1 mois mais il était fou, je l'ai donc remis direct au pré avec les potes. Il a courru 5 min et après plus rien. Je lui laissé 1 an de convalescence et derrière nickel... |
Par moncheval33 : le 31/12/16 à 12:21:34
| Dire merci | nirvelli oui je suis à bout parce que j'ai plus que pas de chance cette année. La seule chose qui me soit arrivée de bien c'est mon bébé. Même ma grossesse a mal commencé et au moment où je commençais à sortir la tête de l'eau je me retrouve arrêtée. On a d'autres ennui à côté de ça donc forcément cette nouvelle là c'est le coup de massue. Même mon homme il est dépité il en a marre tout nous tombe dessus on a dû faire quelque chose de mal dans une vie antérieure c'est pas possible ... Rien à faire en effet .... j'ai juste à attendre. loustix a oui en effet .... c'est ce que je crains un peu aussi avec min poulain parce qu'il a toujours vécu dehors en troupeau donc se retrouver du jour au lendemain au placard .... ça va lui faire bizarre ... Malheureusement je suis dans une pension ou je ne peux pas le laisser en box. Je serai obligée de trouver une autre ecurie pour la convalescence .... |
Par Loustix : le 31/12/16 à 12:36:23
| Dire merci | Moi j'avais le choix, mais j'ai pas hésité pour le cheval qui vivait aussi en troupeau de partir 1 an an à rien faire alors qu'au départ il était censé faire 4 mois de placard... Ça s'est très bien passé ! |
Par Colomba : le 31/12/16 à 12:40:27
DéconnectéDire merci | Pourquoi tu doutes sur la présence d'arthrose ? Non, je ne remets pas en cause l'existence d'arthrose ni le diag du véto, mais je doute que ce soit "accidentel" sur les deux jarrets. C'est héréditaire ce genre d'histoires, et ça peut sauter une génération, voire deux... |
Par Colomba : le 31/12/16 à 12:41:58
DéconnectéDire merci | Et puis oui, attends un deuxième avis sur l'arthrose. Car encore une fois l'Ocd, si c'est un accidetn de croissance, c'est hyper chiant financièrement mais normalement sans conséquence. L'arthrose des jarrets a son age, c'est autre chose.... |
Par moncheval33 : le 31/12/16 à 13:55:35
| Dire merci | Oui tu as probablement raison colomba pour la question d'hérédité et ça peut venir des 2 côtés d'ailleurs. Question idiote mais le père a beaucoup de consanguinité, ça peut impliquer ce genre de choses ? Oui au final c'est ce que me dit la veto, l'ocd c'est pas très grave au final mais par contre l'arthrose ... à voir ! Je doute que Lenormand puisse me dire beaucoup plus par rapport à ça ils ont pas de boule de cristal après tout. |
Par Colomba : le 31/12/16 à 14:07:44
DéconnectéDire merci | Ben des fois qu'il te dise que c'est une erreur d'interprétation et que ce n'est pas de l'arthrose... on croise! ![]() Je suppose pour la consanguinité, après ce sont en général des lignées qui sont touchées... |
Par Loustix : le 31/12/16 à 14:11:52
| Dire merci | Alors je te conseille aussi si tu as l'occasion de demander un avis véto/interprétation de radio à Jérôme Thévenot (sur Toulouse/véto équipe de France). Pour avoir fait le pélerinage de Bordeaux chez Lenormand à chez lui... J'avoue avoir était bluffé par la qualité et le talent d'interprétation des radios (c'était pas de l'OCD mais une ossification des vertèbres et du dos avec début de Wobbler), il est très bon... |
Par moncheval33 : le 31/12/16 à 14:12:19
| Dire merci | Je l'espère grandement colomba .... je l'espère .... j'aurais quelque part une bonne étoile ! Connaissez vous une autre clinique équine à qui je pourrai adresser les radios pour avoir un 2ème avis ? Je suis dans le sud ouest. |
Par moncheval33 : le 31/12/16 à 14:13:17
| Dire merci | Nos messages se sont croisés loustix merci beaucoup pour ton contact c'est exactement ce que je voulais !!!! Tu as le numéro stp ? |
Par Loustix : le 31/12/16 à 15:26:47
| Dire merci | Je l'ai trouvé super pro, très sympa et très drôle aussi. Mais surtout super bon. Il nous a presque fait cours et nous a montré pleins de trucs sur les radios et d'autres radios qu'il avait sur son PC en comparatif... J'étais avec une amie véto aussi, ça aide mais ça n'enlève en rien sa qualité d'interprétation... Spoiler
Son numéro : 05 34 66 35 30
|
Par moncheval33 : le 31/12/16 à 15:30:22
| Dire merci | Merci loustix c'est top Je l'appelerai lundi ![]() |
Par rowena : le 31/12/16 à 16:13:59
DéconnectéDire merci | @moncheval33 : tu peux contacter aussi le CIRALE qui font des expertises sur les radios (je ne connais pas leur tarif) pour ton poulain |
Par moncheval33 : le 31/12/16 à 17:38:39
| Dire merci | Merci beaucoup rowena je me note ça dans un coin. Si besoin je les contacterai. |
Par moncheval33 : le 31/12/16 à 17:54:20
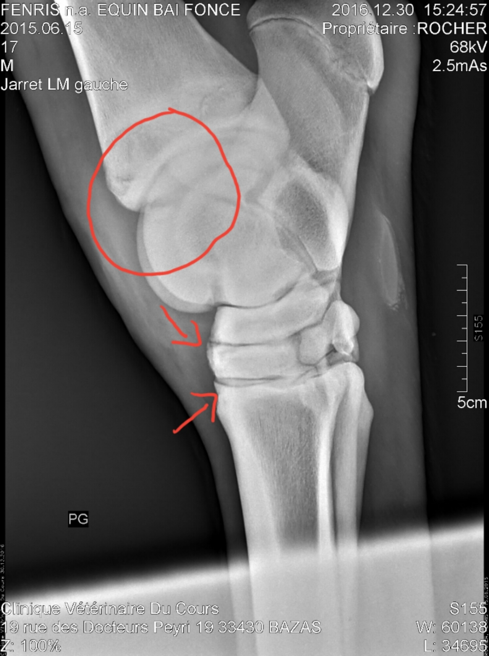
| Dire merci | J'ai reçu pas mal de clichés, je vous en mets un pour le jarret droit et un pour le jarret gauche de toute façon c'est super dur à interpréter. Jarret D (ce que j'ai entouré en rouge est il me semble ce que la veto interprète comme de l'arthrose, cet sorte de bec) ![]() Jarret G (les flèches montrent ce qui serait de l'arthrose et le cercle situsitue l'endroit où est le fragment mais je ne le trouve plus précisément ... la veto m'a montré tellement de choses c'est difficile de tout mémoriser) ![]() |
Par irisetquiara39 : le 31/12/16 à 18:44:48
| Dire merci | peut être que al pourrait t'éclairer ![]() |
Par moncheval33 : le 31/12/16 à 18:47:30
| Dire merci | Oui je lui ai envoyé tous les clichés par mp. Elle les analysera après avoir décuvé |
Par moncheval33 : le 01/01/17 à 01:30:33
| Dire merci | Bonne année les F et bonne santé surtout |
Par al : le 01/01/17 à 21:46:22
| Dire merci | marion, je t'ai dit de ne pas mettre la moindre info sur internet...... |
Par moncheval33 : le 02/01/17 à 18:51:04
| Dire merci | Zai pas d'assurance de toute façon ... ARRRRGGGGG la clinique Lenormand a essayé de m'appeler quand j'étais sous la douche et mon homme a pas répondu .... du coup c'est fermé maintenant faut que je rappelle demain matin ça m'énerve j'attends ce coup de fil depuis ce matin je vais devoir ruminer toute la soirée grrrrrrrrrrrrrSinon poulinoche lui a l'air de s'en foutre royalement de son jarret il fais le con toute la journée au pré au moins c'est pas douloureux .... je mets de l'argile en me disant qu'au pire ça peut faire que du bien .... pas convaincue mais bon ..... Bon aller demain matin 8h30 je vais avoir des news .... ![]() |
Par Nirvelli : le 03/01/17 à 09:19:21
| Dire merci | Bonne année à tous les petits F et à leurs heureux propriétaires ! moncheval33 , je croise les doigts pour une interprétation moins alarmiste par le spécialiste... que le petit continue de faire l'imbécile est tout de même l'essentiel ![]() |
Par moncheval33 : le 03/01/17 à 10:15:58
| Dire merci | Bon j'ai eu le chirurgien de la clinique de Bordeaux ce matin au tel. Les nouvelles sont bonnes !! Bon il faut enlever le fragment et voir si y'en a pas ailleurs ça on a bien compris, ensuite ce qu'on voit sur les radios c'est pas de l'arthrose . L'arthrose c'est une maladie dégénérative et là c'est pas quelque chose de cet ordre là. C'est un défaut articulaire juvénile qui peut évoluer ou pas . Si ça évolue, ça va se solidifier donc potentiellement le faire boiter et quand le processus sera terminé on en parlera plus. Le gros avantage qu'il a c'est qu'il n'a que 18 mois et que ce problème peut très bien avoir disparu arrivé à l'âge du débourrage. Le pronostic est donc plutôt favorable pour l'usage auquel je le destinais. Après il m'expliquait que pour une visite d'achat ce serait toujours un peu compliqué parce qu'ils sont obligés de donner un avis réservé et que ça peut coincer et qu'il faudra de bons arguments .... on en est pas encore là ! J'attends quand même l'avis du chirurgien de Toulouse que m'a recommandé Loustix après je vois pour programmer l'opération dans l'hiver. En espérant qu'il y aura qu'une seule articulation à opérer ...... mais mon petit bonhomme va s'en sortir Alléluia ! !!! Merci pour vos |
Par Nirvelli : le 03/01/17 à 10:18:01
| Dire merci | Ah, super nouvelle !!! Donc maintenant, tu souffles un bon coup et tu te reposes ! ![]() |
Par moncheval33 : le 03/01/17 à 10:38:41
| Dire merci | Ouaiiiii surtout que cette histoire m'a rendu complètement malade je suis barbouillée ce matin vais prendre une douche bien chaude et me larver dans le canapé. Vais pouvoir souffler.Reste juste à régler le détail du quand et avec quel vétérinaire, coordonner ça avec ma copine qui va se charger de la rééducation chez elle et voilà ! |
Page : < < | 75 | 76 | 77 | 78 | 79 | 80 | 81 | 82 | 83 | 84 | 85 | 86 | 87 | 88 | 89 | 90 | 91 > >
Pour préserver la qualité de ce forum, vous devez être membre pour participer à cette discussion..
Il y a actuellement (69 436) membres dans la communauté.
Devenez membre | Connectez vous


Déconnecté













sans le savoir.





bon courage j'espère que tu en seras un peu plus avec Lenormand tu as déjà était consulté chez lui ?? 






vais prendre une douche bien chaude et me larver dans le canapé. Vais pouvoir souffler.







