se casser la tête ... (eparvin, fragments os etc
Sujet commencé par : zenzile - Il y a 103 réponses à ce sujet, dernière réponse par zenzilePar zenzile : le 17/04/13 à 09:22:34
| Dire merci | Bonjour ! Alors voilà. J'ai des hésitation dans la marche à suivre....alors je veux lire vos avis... Histoire de la maladie et de la vie : Poney, maintenant va sur les 7 ans. Postérieurs un peu serrés et légèrement panard. Hiver 2012-2011 : se casse beaucoup la gueule en liberté surtout est mal travaillé, bref été 2011 on change de crèmerie. RàS Hiver 2011-2012 :pension en box, fais le con, s'entaille un postérieur --> suros fais le con s'entaille un antérieur : poteau... jusque là rien d'alarmant (c'est juste pour avoir toutes les données) On ne saute presque pas. On travaille sur le plat. printemps été : début des concours, hors concours on ne saute pas trop non plus. Juillet 2012 : il décale ses sauts à droite. Et se tire un peu avec les antérieurs, est timide pour "pousser", perds un peu d'état... pas la patate le poney. VISITE VETO : : légère inflammation du jarret à droite, on donne AI per os. ça va mieux et on arrête le saut. On recommence à bosser le plat. faut mettre du muscle. automne 2012 : on change de cremerie aussi car je veux qu'il soit dehors (la question de l'eparvin est posée déjà mais les radios étant claires et OK on se dit on verra à la suivante...) Il va au PRé avec des copains mais il termine en paddock car à force d'en courser une qu'il n'aimait pas : élongation niveau dorsale... et il n'était pas "entrainé" à galoper comme un con ... Hiver 2012-2013 : il bosse, il va bien, toujours un léger retard du post. droit oar contre mais il est plutôt régulier, sauf quand il n'avance pas ou des fois il a l'air boiteux des 4 pattes. J'ai quand même des doutes, l'ostéo vient plusieurs fois... plutôt des soucis de "dos" ou au niveau des "cervicales" .. mon interrogation : oui mais pourquoi aussi récurrent ??? Où est la BASE DU SOUCIS ???? on recommence à sauter un peu (pas haut, jamais plus d'un mètre) il est franc, droit, à l'aise. fevrier 2012 : : je me pète le doigt. Un mois d'arret pour ma pomme, et je me dois de rester sage à terre à cause du boulot. A la reprise, là par contre ça va pas. Il a perdu son muscle... et il a une vraie bonne irrégularité quand on reprend. Mais pas tous les jours. Entre temps il est referré derrière (il avait été déferré et n'était plus bien du tout , on a pris la décision de referrer avec le maréchal...) |
Par zenzile : le 18/04/13 à 19:08:15
| Dire merci | Ben c'est bien ce qui me fait ch***** Mais aussi de ce que j'ai compris le coups des fragments crée des boiteries très importantes par intermittence. Poney a jamais été vraiment boiteux ![]() Il a même été étonné au départ de ça il m'a demandé 3 fois s'il n'a jamais boité brusquement .. Ben non ... |
Par zenzile : le 25/04/13 à 11:32:31
| Dire merci | j'ai du NEUF ! enfin ... le CR de la VISITE du et donc, "le vrai soucis par écrit" (enfin y'en a 2 .. ) bon....... il a oublié de préciser qu'il y a eu une échographie du jarret .... le résultat de l'anesthésie du nerf n'a pas ôté totalement la boiterie ... et dans mon livre sur les boiteries..... le type de fracture de l'os du talus " quant au pronostic, il est favorable lorsque la partie fracturée n'intéresse pas les surfaces articulaires de la trochée talienne, rerrvé à défavorable dans tous les autres cas" ... (source : Les boiteries du cheval, O.R. ADAMS, ed Maloine. ) donc voilà mon CR : ![]() ![]() sachant que pour le moment je m'étais décidée pour le tildren .... et que je ne trouve pas mon cheval boiteux (ça c'est chiant en fait ... ) il va retourner en troupeau et en le voyant trotter avec les autres j'y verrai peut être plus clair. le bouquin dit que la plupart de ce type de fractures est dû à des contraintes articulaires au travail en gros ![]() Le véto me disait que ce peut être dû à un "choc", croissa,ce ou autre. il m'avait surtout demandé si je ne l'ai jamais vu vraiment boiteux et je me suis dit que non, sauf à la période où il était allé en troupeau et coursait non stop une juju qu'il n'aimait pas pour l'éloigner des autres mais je le trouvais boiteux des 4 pattes (ou du moins "pas bien" , on avait mis ça sur le compte d'une élongation dorsale (ostéo était passé). Je pense que je ne saurai pas d'où ça vient de toute façon, et qu'il va falloir que j'apprenne à faire avec... |
Par zenzile : le 25/04/13 à 11:33:17
| Dire merci | en plus putain c'est pas le GAUUUUCHEBc'est le DROIIIIIT je viens de capter, ça va pas du tout ... ![]() |
Par laureBrrrrr : le 25/04/13 à 13:04:27
| Dire merci | oui la cause va falloir apprendre a faire sans l'avoir ! Bon voila tu as ton CR, c'est une bonne chose ! |
Par zenzile : le 26/04/13 à 12:37:55
| Dire merci | Après mon CR véto qui ne me plait pas, j'ai décidé d'envoyer un mail en Allemagne (ce matin) et bingo, déjà une réponse (l'efficacité : j'adore ! )Il faut que je leur envoie les radios pour une proposition de traitement ! alors hop, CD in the enveloppe avec copie du mail, et hop poste cet aprem ![]() |
Par al : le 26/04/13 à 17:07:47
| Dire merci | nan mais les allemands j'ai été ravie d'eux, même si je n'ai pas eu le CR derrière (bon faut dire qu'il est ptètre arrivé à la clinique, mais tu sais que bon ), quand je leur ai envoyé un cheval en urgence, qu'à l'autre clinique ils m'ont remballé sans aucun back up (j'avais pas méga apprécié), là ils se sont occupés du cheval au mieux du mieux ![]() bon, du coup on sait meme pas si c'est articulaire ou pas, sans distension on peut parier que ça ne l'est pas, mais sans avoir la radio ben ![]() |
Par zenzile : le 14/05/13 à 07:56:10
| Dire merci | Bon !! Je n'ai eu que de bons échos d'Allemagne â vrai dire. Pour la suite de l'histoire ( nan pas pressée la nenette ...) : la clinique avait répondu ( j'ai fini par envoyer couriel et donc radios) que ce sera sur d'aider mon cheval. Qu'il faut mieux localiser les bouts d'os voir ce qu'il y a à faire ( ou pas !) Elle ( une madame ) m'a proposé de faire d'autres radios encore du coup j'y vais... Cet aprèm !RDV pris semaine dernière ( j'aurai pu y aller le lendemain quoi )Elle n'a pas abordé l'arthrose ... Et sinon mon cheval ne veut pas grossir !!! Il est électrique à pied par contre ... ![]() Bon je vous passe une vidéo quand même de sa boiterie il y a 2mois ( après une période d'un mois de repos donc je m'étais cassé un doigt ) et une vidéo de vendredi ou il fait l'andouille |
Par zenzile : le 14/05/13 à 08:07:15
| Dire merci | début mars 2013: .. suite plus tard (ca charge) |
Par laureBrrrrr : le 14/05/13 à 09:08:37
| Dire merci | "bonne journée" à la clinique. Bon les clinique comme les vétos tu auras toujours des pas contents, ils sont de souvenir plusieurs, peut être que ça dépend également du praticien ? |
Par zenzile : le 14/05/13 à 10:31:13
| Dire merci | Il me semble que ça fonctionne pas mal de façon collégiale lâ bas ... |
Par zenzile : le 14/05/13 à 19:01:25
| Dire merci | Bon ! Je suis lessivée ! ( pas physiquement ...) Syre mange son masch... Et jeudi on y retourne : tildren + chiropracteur ! Effectivement fracture calcaneum un bout et un bout de talus ... Cheval droit comme un i tests de flexion pas révélateurs du tout ... Bref la nenette a dit que je dois le bosser normal, aucune restriction sinon être à l'écoute. Pas d'infiltration, limite pas de ferrure correctrice ( mais ça je verrai avec mon maréchal) pour voir comment il est. Elle a vue aussi une déviation du bassin ( plus haut à droite ) que je découvre donc ... Pincement de l'inyerligne ... Elle a dit un truc genre "oui bon ... Bof quoi mais petit ostéophyte !!!! ( aaaaaarghhh) mais voilà rien d'alarmant ... Pour le moment.Je dois profiter de mon cheval tant qu'il est comme il est c'est à dire sans douleur !!! Adapter en fonction. Radios tous les 6 mois. Top impression en tout cas. Je suis épatée. |
Par cyberds : le 14/05/13 à 19:08:27
| Dire merci | clinique sérieuse, ça c'est top !!! ![]() pour le reste ... assieds toi, respire : il va bien !!!!!!!! ![]() mais quand même brrrr !!! abrutis de chevaux !! ![]() |
Par cyberds : le 14/05/13 à 19:11:14
| Dire merci | mais c'est un coup reçu ??? il y a longtemps ??? rappel anatomique ... ![]() Articulation cruro-tarsienne d'équidé 1 : la malléole externe appartient au tibia 2 : les gorges de la trochlée du talus sont très profondes 3 : la surface articulaire naviculaire du talus est plane 4 : le bord dorsal du calcanéus se relève pour constituer le processus coracoïde, venant buter contre le talus, et limitant l'extension. |
Par zenzile : le 14/05/13 à 19:14:52
| Dire merci | Bon j'sais paaaaas si c'était un coup ce serait les extrémités mais là non en plein milieu quoi C'est peut être des fractures de travail ... je préfère pas y penser en fait ... Je crois que c'est la pointe entre le talus et 3 là où ton 2 fait une saillie sur le talus. J'ai les radios je vous montre si j'arrive à ouvrir ... ( putain à l'autre clinique je suis un peu furax j'avais pas capté que même les radios ont été mal étiquetées !!! Moitie jarret D et moitie jarret G alors que tout a été fait à droite ... C'est l'hallu quoi |
Par zenzile : le 14/05/13 à 19:42:30
| Dire merci | vendredi passé : le trot d'un jarret fracturé avec début d'éparvin ... bon ... |
Par cyberds : le 14/05/13 à 19:45:57
| Dire merci | oui, non mais il y en a des comme ça chez les humains aussi ... un chouïa extraterrestres !!! ceci dit, je ferais Tildren et j'attendrais un peu de voir aux radios avant de le remettre au saut et au dressage pur ![]() il est encore jeune, autant le préserver ! en plus il est costaud le bougre ![]() |
Par zenzile : le 14/05/13 à 19:58:50
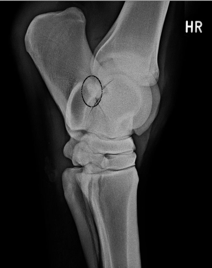
| Dire merci | Ben oui mais à priori la fracture est là depuis un moment .... donc bon ... étrange ... la "photo" de la fracture ![]() |
Par zenzile : le 14/05/13 à 19:59:12
| Dire merci | je ne la trouve pas sur les autres radios |
Par lapatateuh : le 14/05/13 à 20:01:09
| Dire merci | la qualité des appareils peut énormément jouer. |
Par zenzile : le 14/05/13 à 20:02:26
| Dire merci | oui elle m'avait montré un truc mais je voyais rien moi déjà devant son doigt ...je vois uniquement sur cette coupe, car c'est net. Le reste, on ne le voit pas sous tous les angles, d'où l'éventualité effectivement que ça ai pu passer à la trappe une précédente fois (genre l'an dernier) |
Par cyberds : le 14/05/13 à 20:05:34
| Dire merci | oui c'est l'angle entre le 4 et le 2 qui est tout zarbi ça devrait être tout net comme ça (bon faut inverser hein ) : |
Par cyberds : le 14/05/13 à 20:06:12
| Dire merci | après, effectivement ça dépend beaucoup de la qualité des clichés |
Par zenzile : le 14/05/13 à 20:55:14
| Dire merci | oui ben je me demande si ce n'est pas la compression CD et le fait de ne pas avoir de logiciel pour ... parce qu'à la clinique c'étiat bien plus net ! autre vue oblique "en dessous" ![]() |
Page : 1 | 2 | 3
Pour préserver la qualité de ce forum, vous devez être membre pour participer à cette discussion..
Il y a actuellement (69 440) membres dans la communauté.
Devenez membre | Connectez vous


Déconnecté
:
est mal travaillé, bref été 2011 on change de crèmerie. 




(l'efficacité : j'adore ! )
), quand je leur ai envoyé un cheval en urgence, qu'à l'autre clinique ils m'ont remballé sans aucun back up (j'avais pas méga apprécié), là ils se sont occupés du cheval au mieux du mieux 
) m'a proposé de faire d'autres radios encore du coup j'y vais... Cet aprèm !















