se casser la tête ... (eparvin, fragments os etc
Sujet commencé par : zenzile - Il y a 103 réponses à ce sujet, dernière réponse par laureBrrrrrPar zenzile : le 17/04/13 à 09:22:34
| Dire merci | Bonjour ! Alors voilà. J'ai des hésitation dans la marche à suivre....alors je veux lire vos avis... Histoire de la maladie et de la vie : Poney, maintenant va sur les 7 ans. Postérieurs un peu serrés et légèrement panard. Hiver 2012-2011 : se casse beaucoup la gueule en liberté surtout est mal travaillé, bref été 2011 on change de crèmerie. RàS Hiver 2011-2012 :pension en box, fais le con, s'entaille un postérieur --> suros fais le con s'entaille un antérieur : poteau... jusque là rien d'alarmant (c'est juste pour avoir toutes les données) On ne saute presque pas. On travaille sur le plat. printemps été : début des concours, hors concours on ne saute pas trop non plus. Juillet 2012 : il décale ses sauts à droite. Et se tire un peu avec les antérieurs, est timide pour "pousser", perds un peu d'état... pas la patate le poney. VISITE VETO : : légère inflammation du jarret à droite, on donne AI per os. ça va mieux et on arrête le saut. On recommence à bosser le plat. faut mettre du muscle. automne 2012 : on change de cremerie aussi car je veux qu'il soit dehors (la question de l'eparvin est posée déjà mais les radios étant claires et OK on se dit on verra à la suivante...) Il va au PRé avec des copains mais il termine en paddock car à force d'en courser une qu'il n'aimait pas : élongation niveau dorsale... et il n'était pas "entrainé" à galoper comme un con ... Hiver 2012-2013 : il bosse, il va bien, toujours un léger retard du post. droit oar contre mais il est plutôt régulier, sauf quand il n'avance pas ou des fois il a l'air boiteux des 4 pattes. J'ai quand même des doutes, l'ostéo vient plusieurs fois... plutôt des soucis de "dos" ou au niveau des "cervicales" .. mon interrogation : oui mais pourquoi aussi récurrent ??? Où est la BASE DU SOUCIS ???? on recommence à sauter un peu (pas haut, jamais plus d'un mètre) il est franc, droit, à l'aise. fevrier 2012 : : je me pète le doigt. Un mois d'arret pour ma pomme, et je me dois de rester sage à terre à cause du boulot. A la reprise, là par contre ça va pas. Il a perdu son muscle... et il a une vraie bonne irrégularité quand on reprend. Mais pas tous les jours. Entre temps il est referré derrière (il avait été déferré et n'était plus bien du tout , on a pris la décision de referrer avec le maréchal...) |
Par zenzile : le 17/04/13 à 09:28:10
| Dire merci | donc, voilà ... ensuite, il recommence à travailler bien, on essaie quelques barres à nouveau et ça va pas mal du tout ... toujours pareil : franc, allant ... Mais je l'emmène chez le véto, je veux mon contrôle ... BIlan (je ne l'ai pas j'ai juste les radios) : sur le cercle bon à droite c'est pas top. On été fait aussi au passage une echo du grasset pour être certain qu'il n'y ai pas de soucis plus haut. Une anesthésie de je ne sais plus quel nerf, après laquelle ont été refait les tests de flexion et sur le cercle. Amélioration mais très légère et pas assez franche, donc radios du jarret. cheval "gêné" aux tests mais pas boiteux, toujours pareil. c'est pas franc. EPARVIN en formation (on voit à peine l'augmentation de la densité au niveau de l'interligne) mais cette année ON VOIT ! quelque chose de concret Halleluiah ! et en plus y'a autre chose, il demande un avis chir et va montrer les radios à son collègue et dois me rappeler. ... |
Par zenzile : le 17/04/13 à 09:34:48
| Dire merci | donc, il me rappelle 1 semaine plus tard .... Il y a bien des fragments plantaires, dûs à quoi on ne sait pas car le Jaune n'a jamais boité fort et clairement. choc ? croissance ? donc, les propositions : - opérer de suite, - infiltrer, - faire un tildren, - attendre ? donc là, j'hésite à l'emmener dans une autre clinique où il y a un peu plus de monde, refaire des tests ou avoir des avis. Car le chir à priori (auquel je n'ai pas parlé et même pas demandé qui c'est) a proposé d'opérer en premier lieu. mon véto aurait plutôt tendance à commencer par infiltrer et voir, pour éliminer la cause d'irrégularité de l'éparvin ... en gros est ce que les irrégularités viennent de l'éparvin ou des fragments ? c'est le soucis. SAuf que j'ai un soucis existentiel avec les infiltrations... je ne sais pas pourquoi, ça ne me parle pas Ensuite il y a eu le test du concours ... samedi passé. où moi même je l'ai monté et le test était de voir comment il serait le lendemain ... ben c'était pas si pire en fait ... Donc là...........j'attends je réfléchis. Y'a pas le feu. Je le complémente déjà côté alimentaire. Et suis en train d'ajuster tout ça dans ma tête .... donc si vous avez envie de réfléchir avec moi, je ne cracherai pas dessus. MERCI LES GEEEENNNNS ![]() |
Par cyberds : le 17/04/13 à 09:45:01
| Dire merci | SAuf que j'ai un soucis existentiel avec les infiltrations... je ne sais pas pourquoi, ça ne me parle pas même souci que toi !!! ![]() moi je ferais tildren ... et j'attendrais patiemment que l'éparvin se calcifie en faisant un travail léger et à l'écoute ![]() si les "souris" articulaires bougent et gênent, alors seulement je ferais opérer ( parfois elles se fixent et ne gênent jamais ...) dans tous les cas, il n'aura plus mal quand l'arthrodèse sera complète, patience et courage |
Par tata : le 17/04/13 à 10:03:12
| Dire merci | Je t'avais dis déjà dès la premiere suspission d'inflammation dans le jarret de faire le tildren. C'est un médoc qui fonctionne réellement quand il est donné à temps, c'est a dire 6 mois max après les premier signes de dégénérescence... C'est pas un médoc miracle qui soigne tout, mais si pris a temps ca peut vraiment bien aider. Et clairement mettre du tildren sur un cheval éparvin depuis des année, ca ne fera que momentanément ralentir les choses, mais une fois que tout est enclanché, c'est impossible de revenir en arrière (d'où peut etre la réputation moyenne de ce médoc qui fonctionne pas à tout les coup.. mais vu qu'il est donné a tord et à travers "au cas où" ca ne m'étonne pas.Mais c'est dommage car c'est un bon produit). Bref, fais le au plus vite! |
Par Muesli08 : le 17/04/13 à 10:09:56
| Dire merci | pour ma ponette on a d'abord infiltré (fait par un bon vété dans les bonnes conditions d'asepties ) : ça a permis de voir qu'il n'y avait que l'arthrodèse de l'éparvin qui gênait elle a été infiltrée 2 fois à 1 mois d'intervalle, ensuite on a fait un tildren puis pendant 1 an compléments alimentaires type cortaflex et équipalazone si elle reboitait toujours gardé une légère activité balade / plat (sauf les 10 jours suivants les infiltrations) avec ferrure orthopédique 2 ans après le début de l'apparition de la boiterie : on a déferré (avec suivi maréchal toutes les 4 semaines pour corriger ) et depuis on fait du complet pieds nus mais je reste à 80 - 90 maxi , 2 concours la saison et à la maison, on ne saute quasiment jamais. une fois par an je refais une cure cortaflex elle n'a plus jamais boité |
Par Muesli08 : le 17/04/13 à 10:11:27
| Dire merci | la version cyberds se vaut aussi chacun décide ![]() |
Par Tessa : le 17/04/13 à 10:15:39
| Dire merci | Alors, c'est bien complet comme compte rendu. L'éparvin est une solidification de la dernière articulation du jarret. La moins mobile. Rien à voir avec l'OCD, par exemple. Le saut, c'est une chose sur laquelle il faut faire une croix, quelle que soit l'intervention médicale choisie. Tessa est éparvin (et OCD en sus), diagnostiqué depuis ses 14 ans. Elle n'avait jamais boité non plus, son "mal à l'aise" se traduisait par de l'embarquement. Je ne pense pas que la boiterie soit vraiment un signe clair d'un éparvin. Les possibilités de soins... Intervention, oui, mais pour faire quoi? Il y a des souris à enlever? Une infiltration? On a souvent peur des infiltrations, moi la première. Sauf que, il faut savoir ce qu'on infiltre. Si on infiltre de la cortisone (ou assimilé), il faut qu'il y aie une super bonne raison de le faire. Mais si on infiltre de l'acide hyaluronique ou autre "liquide synovial", c'est plutôt bien. Pour Tessa, il m'avait conseillé une infiltration pour "accélérer" le processus éparvin, sachant que quand l'articulation est solidifiée, elle n'est plus douloureuse (mais la mobilité est plus réduite, fatalement) avec un gros bémol: si ça accélérait l'éparvin, ça allait aussi accélérer le processus de l'OCD et ça c'était vraiment pas top. Donc, je n'ai rien fait. Je l'ai mise sous traitement glucosamine/chondrotoïne pendant plusieurs années avec succès. Je l'ai mise en paddock avec pré et j'ai arrêté le boulot "lourd" en piste (sachant que c'est une jument super stressée et "prenant sur ses jarrets" en piste). Aujourd'hui, elle a 22 ans, depuis presque un an, elle est au box à nouveau et je vois la différence sur sa mobilité.Elle est à la retraite depuis 3 ans, pas parce que ça n'allait plus mais pour d'autres raisons. Donc, si je devais donner un conseil ce serait: -Lui donner la possibilité de bouger comme il veut -Lui donner glucosamine/chondrotoïne -Adapter le boulot (plus de saut en l'occurrence) -Voir avec le véto ce qu'il propose exactement en terme d'opération et infiltration... Et quelles sont les meilleures solutions selon lui. |
Par zenzile : le 17/04/13 à 10:41:48
| Dire merci | -Lui donner la possibilité de bouger comme il veut -Lui donner glucosamine/chondrotoïne c'est fait. -Adapter le boulot (plus de saut en l'occurrence) plus de saut je vais faire hurler tout le monde ... à voir. il n'a pas sauté 6 mois, ila commencé un peu là, à la maison on saute de temps en temps (pas toutes les semaines) et pas haut (pour ne pas user inutilement) Mes LP montent à 85 cm max (pour exemple) pour un cheval d'176cm. mais oui, pour sûr, il faudra faire au feeling, et là je n'écouterai plus que moi ... Et surtout du boulot de fond pour faire du muscle car ce sont eux qui vont "tenir" l'articulation... c'est une balance à réguler jour après jour je pense ... c'est pas facile d'écouter son coeur, son véto, son instructeur et surtout son cheval ... et de trouver une balance... Mon cheval je le sais il adore sauter en plus (c'est pas une blague)... il n'aime pas les manège par contre.... (n'avance pas) mais en manège le fait qu'il ne force pas pour travailler c'est pas mal... le 2 pistes on en a jamais fait beaucoup (pas de cessions ou à peine car on sentait la faiblesse) sauf de EED, car sollicite la poussée en avant du postérieur... bref on a beaucoup travaillé la mise en avant mais pas trop la souplesse cet hiver. objectif lui muscler les fesses pour soutenir la carcasse (il était plutôt trotteur de jambes par exemple, on en veut un trotteur du dos...) des fois on "force" un peu, quand il est chaud sur des trucs plus courts... avant mon concours je n'avais pas sauté depuis 10 jours mais c'était prévu comme ça, car pour aller en concours on travaille le plat, c'est l'essentiel, sauter il sait faire à l'origine il est né pour ça.raaaaaaa c'est CON. au feeling, je vais le faire au feeling je pense ... pendant 2 ans j'ai fait de la merde car j'ai tu mon feeling (et écouté UN mauvais pro surtout)... c'est fini ça. |
Par cyberds : le 17/04/13 à 10:46:48
| Dire merci | Mais si on infiltre de l'acide hyaluronique ou autre "liquide synovial", c'est plutôt bien c'est bien ... mais c'est transitoire et à chaque fois il y a un risque septique ... je l'ai fait pour Virgule ( une fois) et sa souris qui se promène dans son boulet, 6 mois d'efficacité mais ensuite on était à la maison, plus de véto équin habitué à ce genre de pratique, risque septique accru ... et cheval âgé donc j'ai renoncé |
Par jument_Noire : le 17/04/13 à 10:53:21
Déconnecté | je rejoins tata pour le Tildren et je suis 100% d'accord avec elle. Tu es à la formation de l'éparvin donc au départ, tu as de fortes chances d'avoir de bons résultats ! Fonce ! Sur le mien, pris plus tard, j'ai eu de bons résultats confirmés à la radio...même si moi j'ai du infiltré car j'étais arrivé en phase inflammatoire trop douloureuse pour le cheval.. Un autre truc très important pour moi et sur lequel j'ai vu des différences flagrantes..le terrain..je suis passée sur une carrière pas top à un manège et carrière en sable de fontainbleau...et ba..rien à voir.. |
Par Tessa : le 17/04/13 à 10:53:54
| Dire merci | Oui, bien sûr. Il y a toujours un risque à jouer avec des infiltrations. Mais sur un 7 ans, c'est un "risque" plus calculé que sur un Soupalognon retraité, enfin, de mon avis. Pareil pour Tessa, j'hésiterais vraiment à infiltrer à son âge. |
Par zenzile : le 17/04/13 à 10:54:28
| Dire merci | iaitch ! le boulet reste plus délicat à infiltrer il me semble. Mon véto justement me disais que boulet il ne s'y risquerait pas... il aime pas. Jarret pour lui ça a l'air plus cool ... mais il a bien parlé de corticoïdes.... Alors que pour moi là maintenant tout de suite il n'y a pas d'inflammation. Pourquoi je peux pas piquer une CRP comme chez mes patients je ne peux pas avoir une ordo véto pour une CRP tous les mois voir l'évolution ??? grrrr |
Par Tessa : le 17/04/13 à 10:56:48
| Dire merci | Les corticoïdes accélèrent le processus de l'éparvin et en ce sens c'est pas si "mal". A réfléchir et surtout à bien questionner le véto. Les "infiltreurs pro" comme solution facile et "miraculeuse" (jusqu'à la prochaine), j'en connais un tas. |
Par lapatateuh : le 17/04/13 à 11:09:25
| Dire merci | je pense que beaucoup oublient un point : accentuation des irrégularités due à un travail moindre. Tu as un gros cheval et quoi qu'on dise ca ne se soigne absolument pas pareil. Je vote pour ub avis allemand! |
Par lapatateuh : le 17/04/13 à 11:10:37
| Dire merci | mais comme je t'ai dit moi je changerai de sols. Et ça c'est juste primordial comme la ferrure. |
Par zenzile : le 17/04/13 à 11:12:24
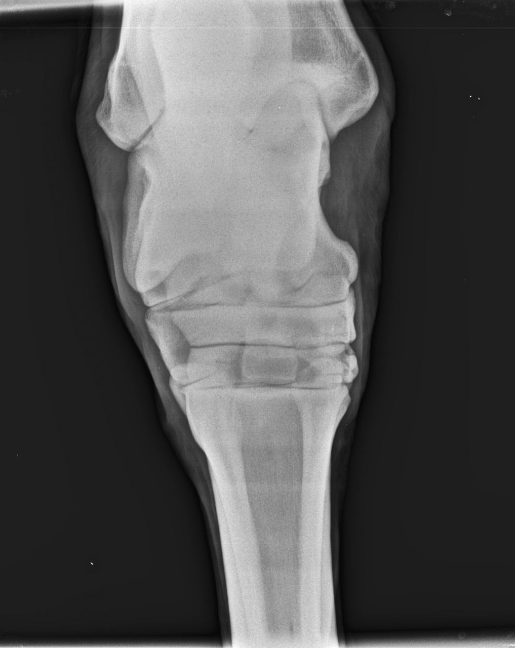
| Dire merci | une carrière pas top à un manège et carrière en sable de fontainbleau...et ba..rien à voir.. (le rêve tu m'étonnes) ça c'est certain ! le sol est important. J'ai eu la chance d'avoir toujours de bons sols sauf où je suis le manège est pas terrible. Du coup on se promène pour travailler en LP. Notre piste de galop n'est pas dégueu et on va y passer du temps je pense à marcher... Je suis assez partante pour le TILDREN d'emblée. Je me posais la question en été dernier déjà mais je suis assez contre la chimie quand rien n'est déclaré. Et rien n'était déclaré .... !! c'était mon SEUL soucis. du coup j'avais arrêté de sauter jusqu'en hiver. On a repris sur petit, ça allait bien. L'irrégularité était présente quand on a recommencé après un mois d'arrêt. Mon instructeur soupçonnait surtout un manque de muscle ou une raideur de "repos". Bon moi certains mouvement, en liberté me faisaient tiquer et je "sentais" que quelque chose n'allait pas mais c'était pas CLAIR. alors une petit radio (pour peu que quelqu'un sache les lire vraiment .... ) ![]() ![]() les radios comme dit ont l'air saines ...pour les fragments osseux il y a encore 4 clichés obliques (que je n'arrive pas à charger... ) |
Par zenzile : le 17/04/13 à 11:14:11
| Dire merci | ouiii la FERRURE est prévue aussi ! le sol c'est pour ça que je ne travaillerai plus qu'en carrière essentiellement, le manège j'irai où j'étais avant je pense ... et sinon piste, la piste est vraiment pas si pire... !! et on a une grande piste un peu profonde et j'ai lu que pour les eparvins profond c'est encoremieux (mais est ce que ce qu'on lit est toujours fiable...) ![]() |
Par lapatateuh : le 17/04/13 à 11:17:25
| Dire merci | oui les sols mous c'est le mieux. De toute façon bosser sur un sol a forte réponse ce n'est pas bon et encore moins sur un pb osseux. |
Par al : le 17/04/13 à 11:20:42
| Dire merci | moi je serais partante pour iffenzheim, tildren "de toute façon", +/- infiltration fonction de l'état du cheval (+ voir éventuellement comment ça améliore le cheval...certains ça leur fait un boeuf d'effet pendant un an) mais comme le dit lapa, ferrure + sol, impérativement. |
Par jument_Noire : le 17/04/13 à 11:20:46
Déconnecté | effectivement les radios...moi je vois rien ! +1 pour la ferrure, il t'a mis quoi ? asymétrique à biseau ? |
Par cyberds : le 17/04/13 à 11:21:34
| Dire merci | au canada, ils accélèrent l'arthrodèse avec de l'alcool !!! ( hips ! ) Lien recherches dans le domaine de l’arthrodèse Les recherches actuelles au WCVM sont axées sur un traitement de l’éparvin qui minimise la douleur postopératoire et facilite un rétablissement fonctionnel précoce. Nous avons effectué une étude pilote et sommes actuellement au milieu d’un projet de recherche de 12 mois dans lequel nous évaluons l’arthrodèse chimique induite par l’alcool chez le cheval. Dans l’étude pilote, 30 jours après l’injection intra-articulaire du produit chimique chez le cheval dont les clichés radiographiques sont normaux, on note des signes radiographiques et histologiques de dégénérescence articulaire.Aucun cheval ne boitait au moment de l’injection et n’a éprouvé de douleur pendant toute la période de l’étude. Le projet actuel démontre également des résultats très prometteurs. Les chevaux ayant reçu des injections intra-articulaires de produits chimiques sont suivis par des radiographies en série et des examens de la boiterie. Quatre mois après le début du projet, les chevaux ne boitent toujours pas et les radiographies révèlent que pour la grande majorité des articulations, la fusion est imminente. La possibilité que ce traitement puisse être institué chez les chevaux qui sont devenus réfractaires au traitement médical en favorisant la fusion rapide, une douleur postopératoire minime et une période de convalescence courte ou nulle est encourageante. L’étape suivante dans la mise au point de ce traitement est un projet de recherche clinique sur des chevaux atteints d’arthrose des |
Par kam59 : le 17/04/13 à 11:23:29
Déconnecté | Moi j'ai choisi de l'infiltrer suivi d'un bonne osteo pour lui remettre le dos en place, et la je touche du bois mais son dos reste droit on va dire. je pouvais egalement l'infiltrer dans le dos + thildren mais j'ai refusé....je ne sais pas trop pour le moment. elle a ete infiltré en novembre, le veto est justement passé hier, jarret moins raide cependant reste sensible à la flexion. conseil : bien la travailler, lui muscler son dos, ne pas la laisser inactif. et je dois dire qu'elle va mieux depuis qu'elle travaille quotidiennement! le CSO, ben j'ai arreter sauf une croix la semaine derniere de 30 cm!!!!!!et ben elle etait folle de joie!!lol Moi elle a 14 ans donc bon c'est pas la meme reflexion non plus, ton cheval est jeune, j'irai en clinique... Moi ce qui m'inquiete un peu plus c'est les fragments qui se baladent... bon courage |
Par cyberds : le 17/04/13 à 11:23:58
| Dire merci | si, les radios il faut regarder entre les os, les liserés foncés : quand ça devient "flou" et plus épais, c'est signe de remaniement |
Par kam59 : le 17/04/13 à 11:24:44
Déconnecté | ha oui, j'oublié, ferrure orthopedique egalement...et la j'ai vu quand meme une reelle difference, les tendons sont plus nets! |
Par zenzile : le 17/04/13 à 11:25:25
| Dire merci | quelqu'un s'y connait en moule de nouvelle zélande ?? (nan nan pas une blague ...) je commande mes compléments... |
Par cyberds : le 17/04/13 à 11:27:10
| Dire merci | quelqu'un s'y connait en moule de nouvelle zélande ?? (nan nan pas une blague ...) oui, Laure ..... |
Par jument_Noire : le 17/04/13 à 11:27:13
Déconnecté | zenzile : effectivement le repos sur le mien ne lui convient pas du tout, plus je laisse au repos, plus c'est pire car raideurs et moins de muscles donc..irrégularités. La difficulté c'est qu'en phase inflammatoire, il faut savoir les écouter pour leur demander des exercices qu'ils puissent faire sans que ca leur fasse mal..sinon ils compensent avec le dos et là après tu en viens à avoir des douleurs dans le dos et aux jarrets et là c'est un cercle vicieux. Aujourd'hui moi j'ai des pbms dans le dos et beaucoup moins dans le jarret, je n'arrive pas à le re muscler correctement car il se retient dans le dos (+ autres pbm qui ne sont pas liés au jarret mais au poids à cause de vers..) on m'a dit qu'il fallait que les chevaux éparvins soit suivis par des osteos..ca leur fait du bien donc si tu peux montrer 2 fois / an se serait pas mal. |
Par zenzile : le 17/04/13 à 11:27:32
| Dire merci | la ferrure branche interne plus large a été prescrit par le véto.... |
Par zenzile : le 17/04/13 à 11:28:43
| Dire merci | les ostéo... il a été vu 3-4 fois cette année. en ce moment le dos est bien et souple je trouve. je crois que j'ai trop économisé pour lui c'est le moment de tout cramer ![]() |
Par kam59 : le 17/04/13 à 11:29:33
Déconnecté | il est interressant ton article Cyberds... |
Par zenzile : le 17/04/13 à 11:32:57
| Dire merci | oui c'est assez fou...de l'alcool (à brûler tu crois ???) roo je suis une plaie aujourd'hui ... (désolée) bon commande de chondro (j'en donne déjà ) et gluco (je donne déjà aussi) je rajoute griffe du diable et des capsule de chondro - gluco pour ma mère qui a de l'arthrose je lui ai conseillé ça |
Par jument_Noire : le 17/04/13 à 11:33:43
Déconnecté | zenzile : si le dos est bien alors tu as déjà une bonne base, il tirera moins sur ses jarrets... J'ai la même ferrure que toi Franchement, en le prenant au tout départ, tu as quand mêmes de bonnes chances d'arriver à bien gérer la chose et de limiter l'évolution. Maintenant, comme je l'ai dit et répété sur mon post, écoute le lui, tu le connais mieux que personne, c'est lui qui te dira s'il peut ou pas. Des zondes pour la suite |
Par al : le 17/04/13 à 11:34:48
| Dire merci | oui, c'est un complément très intéressant, intégré, pour les chiens, à toutes les croquettes spéciales "chiens arthrosiques" ![]() (+ chondroïtine + glucosamine) je t'avoue que je ne me rappelle pas précisément du fonctionnement, j'ai un peu zappé, mais ce que je sais, empiriquement, c'est que ça donne d'excellents résultats sur les chiens. Après, d'une espèce à l'autre, j'oserais pas faire de comparaison... |
Par zenzile : le 17/04/13 à 11:43:25
| Dire merci | tu vois madame , faut pas se jeter dans la gueule du loup sans avoir toutes les infos ![]() pas juste lire le mot "eparvin" et faire "nut but" on écrit un truc. On a pas sauté pendant des lustres à cause de ça et dès qu'il décale ses saut c'est que quelque chose cloche, alors je ne saute pas... Bon aujourd'hui instruis, leçon, va falloir qu'on cause. Il faut surtout que j'aille le marcher 30minutes ensuite on embarque et on va en carrière (5minutes de route, même pas) Je suis pas suicidaire, j'aime mon cheval, mais j'aime aussi le sport équin, et là sera le grand dilemme ... des trucs ne plairont pas à tout le monde, après on ne pourra s'en prendre qu'à soi quand ça ne va pas et j'assume assez bien (enfin maintenant car les pires conneries ont déjà été faites auparavant...dans le dressage au début, pour moi c'est presque pire) |
Par jument_Noire : le 17/04/13 à 12:05:33
Déconnecté | zenzile mais tu sais, moi non plus je n'ai jamais sauté toutes les semaines c'est le forum qui disait que je sautais toutes les semaines parce que oui j'ai fais 3 concours dans l'année.. J'ai fais des erreurs ca par contre oui et heureusement que le forum a été là pour certaines choses...ce que je n'ai pas du tout apprécié c'est l'acharnement qui a été fait et les jugements qu'on a pu faire sur moi. Personne ne s'est excusé de rien...entendre qu'on est celle qui va mettre son cheval à la boucherie, ca fait vraiment mal quand on essaie de faire ce qu'on peut avec les moyens financiers qu'on a, car j'en ai peu et je me tue au travail pour lui...la seule qui a pris un peu plus de pincette, c'est bien Laure..et c'est tout. Enfin bon, cette histoire m'aura permis de comprendre que le proverbe il vaut mieux prévenir que guérir est vraiment très important...maintenant, au moindre doute c'est véto. Celui que j'écoute désormais, c'est mon cheval et plus 1cheval.com |
Par al : le 17/04/13 à 12:27:06
| Dire merci | boarf tu sais, au pire si le jaune peut plus sauter dans qq années, tu sais que t'auras un noireaud à faire sauter aussi ![]() bon certes, il aura pas la capacité du jaune, m'enfin jpense que t'auras moyen de te faire plaisir ![]() (et c'est pas une proposition en l'air hein ) |
Par zenzile : le 17/04/13 à 12:43:55
| Dire merci | Ouh laaaa ! Lol mais vous savez que moi à part avec mon cheval j'ai peur de sauter. Et j'sais même pas si je saurai monter un autre cheval tout court ... ![]() Par contre regret de ma vie... Oui j'aimerai être dans le milieu ![]() |
Par laureBrrrrr : le 17/04/13 à 13:28:52
| Dire merci | Bon Me voila, quoique mon avis Zenzile l'a déjà. Ce que je précise c'est que lendemain de concours : cheval ok, et que sur une vrai mise a l'effort sur le plat (quitte a poussé le cheval en sur cadence pour voir il ne se retient pas). bref ça serait mon cheval - Telephoner a la clinique savoir exactement ce qu'on peut faire avant sans que ça posse de soucis derriére si on veux opérer.. serait con de se fermer des portes de ce coté la en infiltrant ou passant certains produits. - les infiltrations de cortico, pour ma part je me lancerais pas la dedans maintenant : quoiqu'on en dise y'a un risque pour le cartilage, alors oui le cheval aura pas mal et aprés ...De plus on va cacher la douleur, quand alors savoir qu'il est temps d'arrêter .. il ne faut pas laisser s'installer l'inflammation ? ça je suis d'accord, mais les AI oraux sont la aussi pour ça, et évite des remaniments cartilageux on va dire un peu aléatoire (quand c'est pas pire ...) - Tildren, c'est ce que je ferrais en premier si y'a pas de contre indication en cas de necessité d'opération. - pas de mieux aprés le Tildren, je sougerait a faire viré le souris, et si toujours pas mieux enfin dégradatation (vu que la il est pas si mal) a infiltré (et encore), mais a ce stade la la carrière sportive du cheval je ferrais une croix dessus ça voudrait dire qu'il serait boiteux ... - Lui offrir un musculature adapté, car c'est un facteur important pour l'articulation ! ce qui lui manque un petit peu la, mais ça va revenir - choisir les sols - voir du coté de la ferrure - complément alimentaire type Gluco / chondro (mais ça elle a déjà :ange Arphyton ou autre si besoin. |
Par laureBrrrrr : le 17/04/13 à 13:31:46
| Dire merci | Quand au "travail" en lui même (mais idem on en a déjà parlé) - ne plus sauté dans le manége que Zenzile utilise en ce moment, qui pour moi n'est pas ok même sur de petite barre. - continuer une activité sportive et d'obstacle pour l'instant, tout en minimisant les efforts.. de l'extérieur ++ pour lui offrir les muscles qui protégeront les articulations, et soutiendront tout ça. - un échauffement long et doux au pas (parce que l'articulation faut la "chauffé" 20 mn mini- douche / argile avec de la phyto dedans - plus de mouvement possible au prés et heu voila ... enfin rien de neuf sous le soleil on en a déjà discuté Par contre mon discours change pas, le jour ou le cheval être boiteux au retour d'un concours ou d'une seance de cso .. pour moi il faut arrêter, car on est en train de taper dans le capital santé et que le corps donne les premiers warning. |
Par laureBrrrrr : le 17/04/13 à 13:33:10
| Dire merci | Alors Jument Noir souléve le point (je sais plus si c'est la ou ailleurs) que sont cheval ça a commencé comme ça, effectivement . Mais c'est bien l'évolution qu'il faut suivre, de souvenir Story sur les vidéos était boiteux (on va dire ++ que le cheval de Zenzile), quand Syre en sera a se niveau la il sera temps de songer a faire les choses peut être autrement. Bref : prévenir, anticipé, et suivre l'évolution ! et une bonne dose d'amour ![]() |
Page : 1 | 2 | 3
Pour préserver la qualité de ce forum, vous devez être membre pour participer à cette discussion..
Il y a actuellement (69 440) membres dans la communauté.
Devenez membre | Connectez vous


Déconnecté
:
est mal travaillé, bref été 2011 on change de crèmerie.
je réfléchis. 



et je vois la différence sur sa mobilité.
mais c'était prévu comme ça, car pour aller en concours on travaille le plat, c'est l'essentiel, sauter il sait faire à l'origine il est né pour ça.



( hips ! )

Arphyton ou autre si besoin.








