TREC & fracture du processus palmaire ???
Sujet commencé par : quercy - Il y a 12 réponses à ce sujet, dernière réponse par quercy1 personne suit ce sujet
Par quercy : le 24/01/13 à 06:28:42
| Dire merci | Mon loulou a eue une fracture du processus palmaire ( os du talon ) qui, d'après mon véto et MF ne se ressoudera pas... Ce n'est pas douloureux et ne fait pas boiter. les conséquences et séquelles à long terme de cette fracture ne sont pas connue car on ne s'en apperçoit pas si on ne fait pas une radio du pied... donc, certains chevaux ont çà, sont montés et vivent normalement, sans que leur proprios le sachent... Mais j'aimerai trouver des articles et/ou témoignages sur tous çà... Quelqu'un saurai ou je pourrais trouver ces infos ? Merci d'avance |
Messages 1 à 12, Page : 1
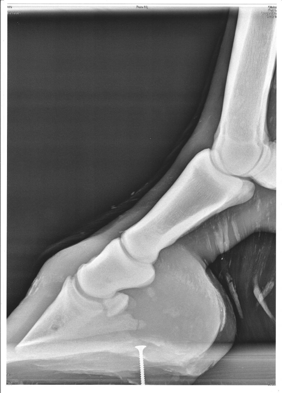
Par quercy : le 24/01/13 à 06:35:14
| Dire merci | les radios: La fracture est juste au dessus du vis ( qui n'est pas dans le sabot ) |
Par renzochocolat : le 24/01/13 à 09:56:19
Déconnecté | salut, j'ai trouvé cette thèse sur internet, mais je t'avoue que je ne l'ai pas lu , pour savoir si ça répond à ta question ! http://documents.irevues.inist.fr/bitstream/handle/2042/48010/AVF_2009_4-5_327.pdf?sequence=1 bon courage pour trouver une solution pour ton cheval |
Par quercy : le 24/01/13 à 11:31:46
| Dire merci | Merci ! je vais aller voir... |
Par westhani : le 26/01/13 à 00:21:34
| Dire merci | la thèse mise en line, ce n'est pas la même chose, ca parle de la fracture du doigt pas du processus palmaire, qui, lui, avant de se fracturer s'est ossifié, quand normalement il n'est que cartilage. |
Par quercy : le 26/01/13 à 06:30:43
| Dire merci | l'ossification, peut venir d'ou ? d'un ancien tromatisme, blessure ? çà peut venir comme çà ? |
Par quercy : le 26/01/13 à 06:37:39
| Dire merci | Il est pieds-nus... j'aimerai qu'il le reste ( dans le mesure du possible...) En solution, les hypposandales ( quand je le monte, pas en permanence ), pourraient convenir ? Ou c'est mieux de le ferrer en permanence ? Je vais demander à mon MF, mais il y a tellement d'avis différents selon les choses... qu'on ne sais plus quoi pencer après... |
Par westhani : le 26/01/13 à 13:29:27
| Dire merci | pied nus c'est le mieux si il peut le rester. Sais-tu ce qui s'est passé pour qu'il se fracture, genre que faisait-il comme boulot à ce moment-là ? L'ossification de processus palmaire a un terrain génétique (chevaux de trait par exemple qui sont déjà atteind très jeune), sinon peut avoir comme origines des chocs répétés (travail sur sol trop dur par exemple) et est favorisée quand le cheval est costaud. |
Par quercy : le 26/01/13 à 18:12:14
| Dire merci | Alors... C'est un grand fjiord de 9 ans, çà fait moins d'un an que je l'ai mais d'après ce que je sais, il n'a jamais été en sur poids important. L'ancienne proprio l'a achetté quand il avait 4 ou 5 ans mais avant elle, il n'a pas fait grand chose car il avait pris le dessus sur son autre ancien proprio et il faisait donc tondeuse... Elle, elle a repris le débourrage à zéro et lui a appris à reculer, sauter et il cède légèrement. D'après ce que j'ai pus voir, discuter... elle le travaillait correctement sur une prairie... Mais n'avait plus le temps pour lui car elle avait commencer son monitora avec son autre cheval... à l'essais, pas de boiterie ( ni à froid, ni à chaud ), arrivé à la maison, au bout d'un mois, boiterie antérieur G, il n'a pas fait grand chose entre temps, 3 ballades tranquilles dont une où il m'a embarqué tous droit et s'est arrêté net devant un arbre ( je pence que la fracture vient de là ou d'avant ? ) La boiterie ne vient pas de la fracture car le véto à tester avec la pince, le maréchaf ferrant avec le marteau et pas dutout de douleur... La fracture à été découverte par hazard pour vérifier la tare et là encor, la boiterie ne vient pas de là... Donc hostéo... Résultat : garrot bien bloqué et l'hostéo m'a dit qu'il avait une dent de loup à gauche aussi... Je me demande si les soucis ( tare + garrot bloqué ) n'ont pas commencés avec cette dents de loup qui est du même côté et que je vais faire enlevée... En discutant, quelqu'un a son hostéo qui lui a dit que sans doute c'était à cause de la fracture que son cheval se bloquait le garrot... Pourquoi il vaut mieux le laisser pied-nus ? Le bout d'os ne risque pas de se déplacer ? J'ai oublier... Elle lui avait mis un mors trop petit ( il avait un 115 alor qu'il a besoin d'un 135 ) je m'en suis appercue plus tard car elle m'avait donné son filet et j'ai pas pencé à vérifier... le pauvre, il devait avoir mal... Message édité le 26/01/13 à 18:00 Message édité le 26/01/13 à 18:20 |
Par westhani : le 26/01/13 à 21:03:53
| Dire merci | de quelle tare parles-tu ? |
Par quercy : le 27/01/13 à 07:19:38
| Dire merci | Il a une tare dure sur l'antérieur G côté extérieur mais le véto à vérifier et çà ne gène pas les tendons... Elle était déjà là quand je l'avais essayer avant de le prendre et à l'essais, ni boiterie à froid, ni à chaud... |
Par quercy : le 29/01/13 à 06:25:20
| Dire merci | Pour celles et ceux qui suivent, ya des réponses aussi là... j'avais fais deux postes... Lien |
Par quercy : le 02/08/13 à 09:13:16
| Dire merci | je remonte le sujet |
Page : 1
Pour préserver la qualité de ce forum, vous devez être membre pour participer à cette discussion..
Il y a actuellement (69 469) membres dans la communauté.
Devenez membre | Connectez vous


Déconnecté

, pour savoir si ça répond à ta question ! 








