Espèces de.....
Sujet commencé par : al - Il y a 43 réponses à ce sujet, dernière réponse par kimimilaPar al : le 11/08/15 à 17:19:19
| Dire merci | Juste parce que j'en ai marre, mais marre..... De tirer des radios comme ça.... Nan mais bordel, quoi, pov bêtes.... ![]() Explication de texte: chat errant, nourri par des gens, mais super sympa, qui s'est très probablement fait plomber à bout portant par un ***** de sa **** Humérus complètement explosé, le pauvre chat s'était barré depuis vendredi, revenu aujourd'hui..... heureusement il a des nourrisseurs adorables qui ont accepté le devis d'amputation (qu'on a réduit au minimum qu'on pouvait, pour lui éviter la piqure fatale). Mais on en a facilement 1 par mois en ce moment, c'est l'hécatombe ![]() si ça vous arrive, portez absolument plainte, que les flics se déplacent pour questionner le voisinnage, dans le coin de mes parents, ça avait marché, les tirs ont cessé! Message édité le 11/08/15 à 17:19 |
Par elphe : le 11/08/15 à 17:21:26
| Dire merci | pov minou |
Par didie43 : le 11/08/15 à 17:24:49
| Dire merci | p*** ![]() |
Par Cliona : le 11/08/15 à 17:28:15
| Dire merci | Quelle couleur le chat ? |
Par kefiretlome : le 11/08/15 à 17:30:54
| Dire merci | Au hasard...noir ?![]() |
Par Cliona : le 11/08/15 à 17:36:30
| Dire merci | C'est pour ça que je pose la question...C'est une hécatombe à Marseille ![]() |
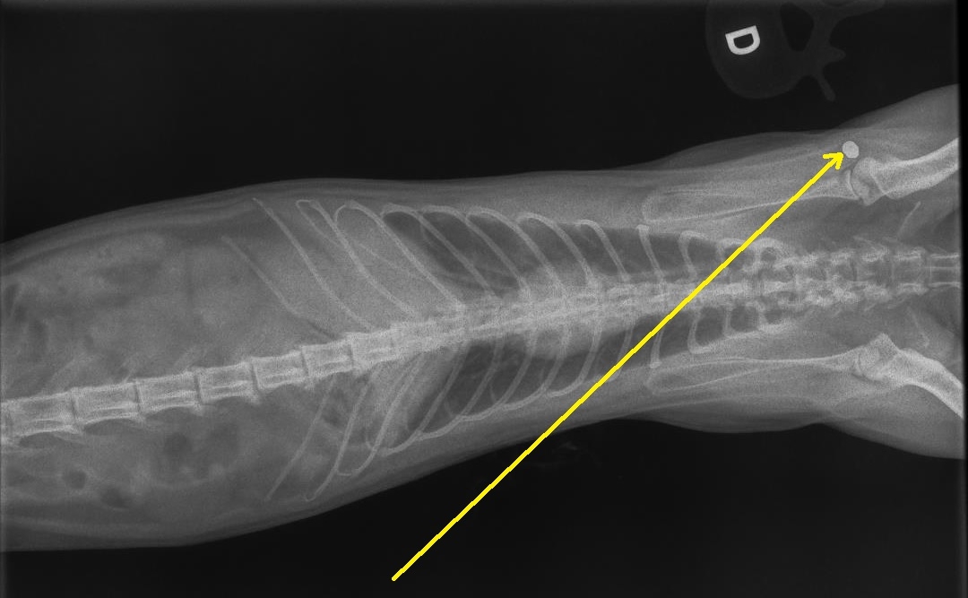
Par al : le 11/08/15 à 17:49:54
| Dire merci | non non, il était tigré, tout bêtement. Et puis gentil, mais gentil! et celle-là, elle était tricolore, reçue en urgence un soir, détresse respiratoire intense...j'ai juste trouvé un petit trou au niveau du thorax...radio...et bim.... ![]() en jaune, j'ai matérialisé le trajet de la balle.... nul besoin de vous dire que la minette n'a pas survécu longtemps après mon diagnostic ![]() |
Par Mystic2 : le 11/08/15 à 17:50:21
| Dire merci | La mienne est criblée de plombs, elle est tigrée mais les gens ne supportent plus rien de toutes façons. |
Par Cliona : le 11/08/15 à 17:51:28
| Dire merci | mais les gens sont fous !!! |
Par biquette : le 11/08/15 à 17:57:27
Par Mystic2 : le 11/08/15 à 17:59:36
| Dire merci | Non les gens sont CONS |
Par Oc : le 11/08/15 à 18:11:03
| Dire merci | les gens ne supportent pas les chats des autres chez eux, ca fait les crottes dans leur pelouse, ca emmerde leur propre chat (chat qui au demeurant va aussi chez les autres, faut pas croire que ca reste sagement entre les 4 grillages du jardin ) je vis à la campagne, TOUS nos chats ont subis le même sort (la cage à nuisible et pas adapté à un chat donc bien souvent les reins cassés à la sortie, chat venant finir ses jours à la maison, en se trainant lamentablement) bref les gens sont cons, ne supportent plus rien, n'acceptent plus rien et au lieu d'aller gentiment voir les voisins, sortent le fusil et plombent tout ce qui bouge, ce serait un gamin ce serait exactement pareil !!!! Message édité le 11/08/15 à 18:11 |
Par kefiretlome : le 11/08/15 à 18:09:28
| Dire merci | Mon tigré aussi a des plombs... Et 2 noirs ne sont jamais rentrés... ![]() |
Par taraa : le 11/08/15 à 18:13:38
| Dire merci | Celui d'une amie s'est fait plomber dans le jardin de la résidence... les flics ont refusé de prendre sa plainte et pourtant elle s'est démenée avec des témoignages des voisins. Plus de 1000€ de soins pour le chat qui a retrouvé parfaite santé aujourd'hui, dieu merci. |
Par Oc : le 11/08/15 à 18:20:40
| Dire merci | ma sœur a récupéré son matou blessé (pareil au plomb) elle a porté plainte, les flics se sont déplacé et ont interrogé toute la propriété.. sans suite mais on pense qu'ils ont réussi à faire peur à l'auteur des faits car depuis plus de souci (les seuls blessures que matou ramène sont celles de ses actions pour garder son territoire urbain) |
Par MILY64 : le 11/08/15 à 18:53:14
| Dire merci | Pauvre chat, j'espère qu'il va aller vite mieux. Chez mo,i c'est un de mes "gentils voisins" qui a tiré à bout portant dans la cuisse de mon chien... en première instance, le véto avait réussi à sauver et le chien et la patte mais quelques jours plus tard la gangrène s'y est mise et on a dû le faire amputer. On a porté plainte, c'est passé au tribunal ... le gentil voisin en question qui avait un gros pet au casque avait déjà une interdiction de détention d'arme chez lui... sauf qu'il en avait une... Le juge l'a condamné à rembourser les frais vétos et à une amende, sans compter bien sûr le fait qu'il ne devait plus avoir d'arme chez lui... Bref, oui des cons et des timbrés y'en a malheureusement partout... |
Par arwen73100 : le 11/08/15 à 19:09:22
| Dire merci | pfffffff ........... pauvres minous ........... Les gens sont c*** ...... |
Par maud : le 11/08/15 à 19:09:38
| Dire merci | Pffff. J ai refourgue un chaton de 2 mois plombé dans les yeux ( complètement aveugle) a ma grand mère l année dernière... Il a eu chaud celui la... |
Par stephy92 : le 11/08/15 à 21:18:23
| Dire merci | quelle horreur y'a vraiment des c***** ![]() |
Par Desroses : le 11/08/15 à 21:21:29
| Dire merci | [pff ![]() |
Par kagnotte : le 11/08/15 à 21:49:28
| Dire merci | Ca devient une habitude de faire du mal au animaux j'ai l'impression de voir de plus en plus de cas ![]() |
Par Oc : le 11/08/15 à 22:00:33
| Dire merci | les cas sont médiatisés ca donne donc des idées à des débiles profonds et des intolérants en tout genre |
Par bdlceg : le 12/08/15 à 13:51:37
| Dire merci | Mais quelle bande de lâches... pffff ![]() |
Par paquerette20 : le 12/08/15 à 15:32:52
| Dire merci | à vomir le comportement de certains ... |
Par al : le 12/08/15 à 16:41:27
| Dire merci | c'est pour ça que j'insiste, portez plainte SYSTEMATIQUEMENT pour des faits du genre, rien que le fait que les gendarmes se déplacent, ça calme un bon paquet d'imbéciles... pas tous, certes, mais si ça peut sauver ne serait-ce qu'une petite vie.... |
Par Tessa : le 12/08/15 à 18:45:56
| Dire merci | On avait tiré à la carabine à plomb sur mon chat... Rien de grave, du petit plomb de foire. Enfin, il avait quand même un plomb planté dedans mais ça c'était arrêté à la peau. C'est le véto qui l'avait trouvé lors d'une visite pour tout autre chose. C'est stupide mais "bénin", il aurait fallu un malheureux hasard pour que mon chat soit blessé gravement par ce type de plomb. Rien à voir avec la volonté claire de tuer dans les radios montrées. |
Par choupifresh : le 12/08/15 à 19:06:41
| Dire merci | ![]() Je leur tirerais bien un coup de plombs dans le postérieur à ces gens là......... On a eut un mec dans notre rue qui s'amusait à choper les chats pour les torturer et les relâcher à moitié mort.. Une voisine avait retrouvé le sien 2 semaines plus tard, avec des marques de corde sur le corps, des poils arrachés, des coups de scalpel, et une oreille coupée. Par je ne sais quel miracle, il a survécu...Le type a été chopé et interné après jugement. Nous en ville, on a les fous mais pas de carabines...... ( a force, on va finir par avoir les deux vu l'intolérance grandissante chez les gens.... ![]() ) Et quand c'est pas les fous, c'est les voisins con***ds qui jettent des pierres sur nos bestioles ou qui cherchent à les empoisonner via des boulettes de viande jetées dans le jardin avec de la mort aux rats. Message édité le 12/08/15 à 19:06 |
Par pascale : le 12/08/15 à 21:14:41
| Dire merci | Ds l'Essonne, les chats disparaissent... Et on les revoit plus ![]() Mon Dust a subit ce sort, comme 2 autres chats de ma rue et un ds la rue du dessous.... ![]() Du coup, le "petit nouveau", il est séquestré chez la belle mère durant notre semaine à la montagne, c'est plus sur. Là où avant, on laissait notre chat qui était surveillé et nourrit par nos voisins (on a tous des chats et aucun de nous ne ferait un truc comme ça!). |
Par taraa : le 12/08/15 à 22:36:46
| Dire merci | J'avoue qu'entre les vols, les chats empoisonnés, les coups de feu et les voitures, j'ai trop peur, mes chattes ne sortent pas. |
Par QuellyDD : le 12/08/15 à 22:55:27
| Dire merci | Des trucs comme ça, ça m'écoeure, y'a rien à dire de plus... Des bêtes qui demandent rien à personnes et qui se ramènent avec ça, c'est juste dégeulasse, la personne a pas intérêt à se trouver en face de moi ![]() |
Par milouz87 : le 13/08/15 à 16:50:09
| Dire merci | Quelle pauvre époque.... ![]() Les êtres les plus vulnérables sont le défouloir à frustrations des dégénérés.... ![]() |
Par vanou85 : le 14/08/15 à 08:40:10
| Dire merci | Pauvres bêtes... Folies ou conneries, ces gens là méritent juste qu'on leur tire un plomb dans les fesses pour se rendre compte de ce que ça fait. |
Par Keanjha : le 14/08/15 à 12:16:49
| Dire merci | pascale : je ne savais pas pour Dust |
Par kimimila : le 14/08/15 à 14:18:16
| Dire merci | Et que dire des portées à répétition qui font que des chats sauvages, qui ne semblent pas tous en très bonne santé, en arrivent à pulluler dans les quartiers et les hameaux ? C'est facile de laisser faire les chattes et d'aller "perdre" les chatons ailleurs ![]() Stérilisez ! |
Par mon quidam : le 14/08/15 à 15:42:11
| Dire merci | Parce que tu crois que les chats stérilisés ne se font pas autant tirer dans le cul que les autres? Que les débiles demandent le certificat médical avant de commettre leurs maltraitance? |
Par mon quidam : le 14/08/15 à 15:45:00
| Dire merci | portez plainte SYSTEMATIQUEMENT pour des faits du genre, rien que le fait que les gendarmes se déplacent, ça calme un bon paquet d'imbéciles... pas tous, certes, mais si ça peut sauver ne serait-ce qu'une petite vie.... le problème, c'est qu'à ce petit jeu là, les seulement blessés risquent de se faire achever, pour ne pas laisser de traces... ![]() |
Par kimimila : le 14/08/15 à 16:29:41
| Dire merci | Parce que tu crois que les chats stérilisés ne se font pas autant tirer dans le cul que les autres? Que les débiles demandent le certificat médical avant de commettre leurs maltraitance? NON, mais ça évitera la prolifération anarchique et les nuisances qui vont avec.... et peut être qu'ainsi les esprits s'apaiseront ! Ceci dit, je ne souffre pas du trop plein de chats. Dans le hameau, tout le monde a fait stériliser ses minettes... Message édité le 14/08/15 à 16:30 |
Par Uriette : le 14/08/15 à 17:52:51
DéconnectéDire merci | @kimimila , quel est le rapport ? On ne gère pas le problème des chats errants à coup de carabine ! Ce sont des méthodes de sauvages. Les gens normaux peuvent faire appel à ce qu'on appelle la fourrière municipale, c'est son métier de gérer les animaux errants. (Et c'est obligatoire pour toutes les communes). Clairement pour moi aussi c'est plainte quoi qu'il arrive, sinon ça donnerait à l'auteur des coups de fusil un sentiment d'impunité et de banalité du geste. |
Par juyjuy : le 14/08/15 à 22:21:09
| Dire merci | Quelles sont les chances pour que les auteurs soient retrouvés ? J'ai vu une fois une série d'empoisonnements, avec un produit interdit de plus. 5 ou 6 chats morts et le chien d'un fermier, sur SES terres. Les gendarmes ont refusé d'enquêter. Puis, ils ont su que deux hérissons avaient aussi péri. Comme ce sont des espèces sauvages protégées, ce sont eux qui ont motivé un semblant d'enquête. Qui n'a pas abouti. |
Par taraa : le 14/08/15 à 22:27:58
| Dire merci | Je comprend d'autant que les gens puissent en avoir marre des nuisances causées par les chats des voisins ou les nombreux chats errants. Et là, effectivement, quand tu tombes sur un taré, il règle le problème à coup de carabine. Dans le cas de mon amie, le responsable fait partie du club de chasse dont fait partie Mr le maire et autres sbires importants. Autant dire que rien n'aurai été fait ! |
Par kimimila : le 15/08/15 à 08:14:10
| Dire merci | uriette Ce que je voulais dire ( et que je ne cautionne pas !) c'est qu'à force de se trouver avec des chats sauvages, malades et très envahissants, certains passent à l'acte très rapidement... Même si de plus en plus d'assoc interviennent en venant piéger (afin de stérilisation, soins...) afin de faire adopter ou bien relâcher à l'endroit même quelques chats qui ne prolifèreront plus, beaucoup règlent le problème eux même et alors, on en revient au post initial.... |
Page : 1 | 2
Pour préserver la qualité de ce forum, vous devez être membre pour participer à cette discussion..
Il y a actuellement (69 481) membres dans la communauté.
Devenez membre | Connectez vous


Déconnecté







































