Lulu, le post...
Sujet commencé par : tata - Il y a 10966 réponses à ce sujet, dernière réponse par tata6 personnes suivent ce sujet.
Par tata : le 13/04/14 à 22:55:56
| Dire merci | Bon je change le titre du post qui n'était pas vraiment à jour! ^^ Ulys va prendre 7 ans à la fin du mois! Hongre PRMe que j'ai acheté quand il avait un peu plus d'un an. J'ai pas de nouvelles photos, en ce moment on se remet au boulot, il est plutot vilain avec son poil en train de muer.. Donc je laisse les photos de 2012. ![]() wwPetit montage photos de ses 4 premières années de vie! Lien Message édité le 07/04/13 à 22:38 Message édité le 10/04/13 à 08:59 Message édité le 13/04/14 à 22:55 |
Messages 4441 à 4480, Page : < < | 104 | 105 | 106 | 107 | 108 | 109 | 110 | 111 | 112 | 113 | 114 | 115 | 116 | 117 | 118 | 119 | 120 > >
Par tata : le 22/03/12 à 08:47:35
| Dire merci | tessa -> Vous etes à toulouse là? Ou il est rentré? boby -> mais c'est clair! Enfin je pense que ce qui pose probleme se sont des pointes comme ca pres d'une articulation.. Un morceau qui se balade ailleurs c'est moins grave je pense. Enfin je dis ca, mais j'y connais rien... |
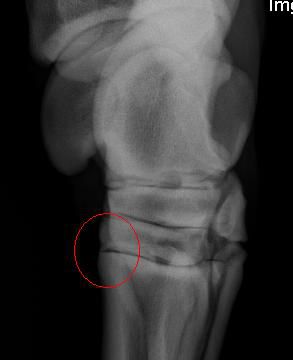
Par tata : le 22/03/12 à 08:54:01
| Dire merci | Les radios! Jarret droit ![]() jarret gauche ![]() droit ![]() gauche ![]() droit ![]() gauche ![]() |
Par elphe : le 22/03/12 à 10:06:56
| Dire merci | Faudrait que je te mette les radios de l'éparvin d'Hélios Tu prendrais peur ![]() Cool ta séance |
Par tata : le 22/03/12 à 12:05:12
| Dire merci | elphe -> ah ouais a ce point? ^^ Bon pour les pros de radios, vous etes les bienvenus ![]() |
Par sheytana : le 22/03/12 à 12:08:56
| Dire merci | Moi j'y connais pas en radios et j'ai beau chercher je vois pas la différence malgré la flèche |
Par boby : le 22/03/12 à 12:13:38
| Dire merci | le problème du bout qui se balade c’est qu'il peut se déplacer et aller frotter contre un ligament .... donc je trouve pas ça mieux mais là je pige pas si c'est vers l’extérieur ça devrait pas gêner si ? enfin j'y connais rien |
Par tata : le 22/03/12 à 12:24:13
| Dire merci | sheyt -> lol je t'engage comme mon nouveau véto Blague a part moi je trouve ca quand meme assez visible boby -> Ben apparement ca le gene pas quand il marche normalement, mais ca peut le gener si il plie beaucoup je suppose? Venir le "pincer" un peu.. Et puis cette zone est une zone d'amortissement donc ces os je pense, frottent les uns sur les autres, ca bouge un peu. Donc si ca peut pas "bouger" vers l'avant, et qu'en plus ca tape sur un bout d'os.. Ca peut faire de l'inflammation? L'idée de le traiter au Tildren est je pense éviter que cette petite excroissance osseuse qui n'a rien à faire là, continue de grandir et donc reste tel quel... |
Par sheytana : le 22/03/12 à 12:34:15
| Dire merci | Ben je vois que les deux choses ne sont pas pareilles, mais je ne comprends pas en quoi l'une est pire que l'autre en fait |
Par elphe : le 22/03/12 à 14:08:35
| Dire merci | ![]() Sur cette radio je vais t'expliquer en quoi consiste l'éparvin Tu vois les 2 os en forme de galette posés l'un sur l'autre? Et tu vois le bout qu'il y a à droite en perpendiculaire? ce sont les tarses et en fait le principe de l'éparvin est de souder ces os entre eux donc les jointures que tu vois là sur ta radio disparaissent! De l'os se crée par dessus et englobe le tout ![]() |
Par tata : le 22/03/12 à 14:19:53
| Dire merci | sheyt -> oki, ca je comprends pas spécialement non plus . Mais bon si le véto le dit.. ^^ elphe -> yep c'est effectivement bien ce que j'ai compris en regardant sur le net... merci ![]() |
Par Tessa : le 22/03/12 à 19:36:56
| Dire merci | Et quand tout est soudé, le cheval n'a plus mal... Et il a bien souvent le geste du harper bien connu. On peut donc monter un cheval qui a un éparvin "solidifié" sans que ce soit douloureux pour lui. |
Par tata : le 22/03/12 à 20:16:07
| Dire merci | VOui j'ai lu ca sur le net. Mais bon, on en est pas encore là ![]() Il n'aura ptetre jamais d'éparvin ![]() |
Par tata : le 22/03/12 à 20:24:34
| Dire merci | Sinon cette aprem, il est sortis au pré une petite heure malgré les boulettes d'engrais toujours pas complètement disparue... Puis entrainement au couché, il a vraiment pigé! Contente ![]() Puis bon pensage, et une balade d'une petite heure, avec du dénivellé. Il était un peu sur l'oeil au départ, mais rien en comparaison d'hier ^^ A partir d'aujourd'hui je ne prends plus ma chienne, elle boite depuis 3 semaines d'une patte arrière, à chaque fois quand elle revient de balade à cheval... Elle a du se tirer un muscle, bref "repos" forcé... C'est nul par ce beau temps d'ailleurs... Bref, pas de différence pour Ulys quand le chien n'est pas là, tant mieux, j'ai déjà lu que certains chevaux refusaient de partir seul sans le chien devant Bref petite aventure au retours, dans un des nombreux chemins hyper étroit entouré de barbelés à gauche, cloture à droite. Ma badine s'est prise dans le barbelé, paf, elle tombe par terre derrière moi.... ![]() En gros j'étais dans un chemin d'1m de large, je descends et demande à Ulys de reculer 1m car la badine était derrière, je passe derrière Ulys, récupère ma badine, et je remonte, coté barbelé pour protéger Ulys "au cas où". Ulys a été exemplaire! Bref, bon exo de TREC tout ca ^^ Bonne douche des jambes, foin et voilà! ![]() |
Par zenzile : le 22/03/12 à 20:38:33
| Dire merci | Rien de mieux que la petite balade qui va bien au soleil pour se retaper un moral Surtout quand ils sont sages on les aiiiiiiiimeuuuuuh tellement |
Par tata : le 22/03/12 à 20:50:33
| Dire merci | zenzile -> clair ^^ En tout cas je me rends compte que finalement rien ne change pour Ulys et moi! Ca change rien vu que j'étais déjà très attentive avant donc bon... En ce moment chaque fois que je le vois un postérieur au repos c'est le droit... (alors oui vous allez me dire peut etre qu'il compense et fatigue plus le droit, mais bon vu qu'il boite pas du tout et n'a pas l'air gené, je pense pas..).La seule différence c'est que pendant la douche j'insiste plus sur la "zone" et quand je lui met de l'argile sur ses molettes derrière, je lui en met aussi sur le jarret |
Par tata : le 22/03/12 à 20:54:28
| Dire merci | Sinon la météo par chez nous... ![]() Ca craint!! On veut de la pluie nous pour une fois pour ce p**** d'engrais!!!! grrrr ![]() |
Par tata : le 23/03/12 à 10:40:20
| Dire merci | C'est vraiment mauvais l'engrais en petite boule si le cheval en avale? (sachant que j'ai été voir hier, c'est des minis boules et dès qu'on les touche elle tombent en poussière). |
Par laureBrrrrr : le 23/03/12 à 10:44:34
| Dire merci | j'eviterais vraiment que mon cheval avale un petit boule, voir même que la peau sous "juste" en contact ![]() |
Par tata : le 23/03/12 à 10:54:38
| Dire merci | ![]() Ca fait déjà 1 semaine qu'ils sont au box, alors qu'il fait magnifique pfff ![]() Ca craint ces printemps hyper sec! Ca devient à la mode par chez nous.. (pareil l'année passée... )De toute façon là elle a dit que petite boules ou pas, elle sortirait les chevaux lundi. Mais quelques heures seulement. |
Par elphe : le 23/03/12 à 14:56:43
| Dire merci | C'est vraiment ch*ant cette histoire de box ![]() et sinon pour ta balade J'espère que c'est rien de grave pour ton chien On peut donc monter un cheval qui a un éparvin "solidifié" sans que ce soit douloureux pour lui j'avais oublié cette petite précision |
Par Falco : le 23/03/12 à 15:58:13
| Dire merci | Les boules pour les prairies. J'avoue que j'aurais du mal à supporter aussi ! Vivement lundi alors ![]() Pour le reste, je n'y connais rien, je suis pas véto alors je lis et j'apprends ![]() |
Par Nenya : le 23/03/12 à 16:50:38
| Dire merci | Bon poru tes radios je trouve que c'est quand même bien visible les ostéophytes qu'il a. Donc pour la gestion, veiller à la bonne complémentation en minéraux t vitamines, qui ait bien tout ce qu'il faut. Par contre je comprends pas bien l'intérêt du Tildren dans ce cas-là. Il n'a pas d'ostéolyse importante dans ses articulations, et le Tildren ne fait que permettre la production d'os. |
Par tata : le 24/03/12 à 11:43:10
| Dire merci | elphe -> ![]() falco -> ouais les boules.. Mais bon pas non plus envie qu'il aille s'empoisonner avec trop d'engrais.. ![]() nenya -> merci pour ton avis! Ca peut etre du à quoi ce genre de trucs? Pourquoi ya de l'os qui a poussé là? Et en quoi ca peut le gener? Apparemment le tildren equilibre les ostéoblaste et clastes. Donc ca peut etre pas mal pour justement arrêter eventuellement la croissance de l'os à cet endroit qui n'a pas lieu d'être.. Enfin je suis ptetre à coté de la plaque, je sais pas :-/ |
Par tata : le 24/03/12 à 12:35:46
| Dire merci | D'après ce que je lis sur le net, les ostéophytes sont causés par l'arthrose et pas l'inverse... Donc le traitement au Tildren pourrait limiter la prolifération de cette excroissance. Et donc il y a bien de l'arthrose à cet endroit de l'articulation, arthrose qui a causé cette excroissance osseuse (comme pour une fracture, le corps réagit face à l'arthrose en comblant avec de l'os). Fin bref, le Tildren ne me parrait pas complètement idiot dans ce cas là je trouve, d'après ce que j'ai lu et d'apres ce que mon véto m'a dit. |
Par tata : le 24/03/12 à 12:51:00
| Dire merci | Bon sinon j'ai trouvé une radios d'un jarret "qui ne présente aucune anomalie", on voit pas bcp de différence qd meme... (outre le fait que la position de la jambe ne soit pas pareil, Ulys ayant le postérieur moins "sous lui" ![]() [img]http://www.photoservice.com/volumeLR/phs_volume20120316/62161040_15510243/m_232305190_0.jpg" alt="" /> Message édité le 24/03/12 à 12:53 |
Par tata : le 24/03/12 à 16:44:10
| Dire merci | Bon soit! Balade d'1h30 quasi que au pas pour Ulys et moi! Il a été chouette, meme si on voit qu'il a pas l'habitude de voir du soleil, il avait peur des ombres, dont la sienne de temps en temps ![]() Bon ca c'était au début de la balade, heureusement après il s'est calé ^^. Au retours, chaud patate! I lfait super beau, 20°C, mais un peu trop chaud pour les chevaux qui ont encore tous leur poil d'hiver... Pour ca que je suis pas allé au bois aujourd'hui, je voulais la faire cool.. Après la balade douche des jambes et puis au pré! Il y est toujours, j'irai le rentrer après avoir fait des courses. |
Par tata : le 24/03/12 à 16:57:14
| Dire merci | Allez, pour mettre des images un peu plus joyeuses que les radios, Ulys hier! (il n'a pas le cul si haut, mais il y a un léger trou dans le sol a ses antérieurs )![]() Pendant une séance broute broute, moi pendant ce temps je prenais le soleil, lui il essayait de gerer sa corde sur laquelle il marchait sans arret dessus ![]() A la fin il avait bien pigé comment s'est sortir ^^ ![]() |
Par tata : le 24/03/12 à 17:19:40
| Dire merci | Vidéo du couché hier, fait toute seule donc ca donne pas grand chose, mais c'est marrant quand meme Surtout à la fin quand cet imbéclie, pour la 2eme fois m'a sortis un espèce de croise papatte en étant couché, les 2 antérieurs déplié devant lui. Du grand Ulys |
Par stephy92 : le 24/03/12 à 19:09:22
| Dire merci | tiens lui aussi il a peur de son ombre pas mal les pattes croisées pour se relever... mais pas très efficace ![]() |
Par tata : le 24/03/12 à 19:38:17
| Dire merci | stephy -> lol c'est clair que c'est pas efficace, en plus ca me fait peur! Peur qu'il se fasse mal ^^ Ah ca va c'est pas le seul à ce que je vois ![]() Des petits Bucéfaux (un Bucéfal, des Bucéfaux) |
Par tata : le 25/03/12 à 10:14:41
| Dire merci | Allez dernier jour de box normalement! Spoiler
Bon sinon j'ai trouvé la pension de mes rêves, pas trop loin, prix abordable, prairie à l'année, toute nouvelle piste couverte et magnifique piste extérieure en super sable adaptés aux chevaux...
![]() C'est complet pour l'instant, je vais aller visiter (c'est un élevage de lusi en plus, j'avais été voir pour y mettre Ulys quand il venait d'arriver pour le mettre avec ses jeunes à lui, mais il n'avait à ce moment pas assez de place, pas encore fini de cloturer ses prairies.. Bref ne voulait pas). Mais depuis (ca fait 4ans) il a tout changé, et maintenant il a des pensions (choses qu'il ne faisait pas à l'époque). ![]() J'aimerais bien y être pour l'hiver prochain... Je vais me mettre sur la liste d'attente, surtout qu'apparement ils vont peut etre construitre de nouveaux box le long du nouvel hangar de la piste couverte.. Seul point négatif, le proprio est vraiment space, genre bio 2000%, on ne vermifuge et ne vaccine pas les chevaux, c'est mauvais. Mais à coté de ca, c'est bouffe bio pour les chevaux, pas de produits dans les prairies, tout est bio quoi... |
Par tata : le 25/03/12 à 10:22:36
| Dire merci | Ah et je vous ai meme pas racontés que vendredi j'ai fais des longues renes avec Ulys! Première fois en mors (j'en avais fait avec lui au tout début de son débourrage 3 ou 4 fois sur le side pull). Il a d'abord été completement débile, genre voulait pas avancer, puis faisait un bon en faisant "miiiih" puis s'arretais denouveau ^^ (mais bon faut dire que 2 personnes avaient mis leur chevaux au pré pour 10min, les chevaux couraient dans tous les sens et moi j'étais dans la petite piste extérieure). Puis il s'est calé. C'était un peu folklo pour faire des changements de mains au début, la piste est très petite. On a bossé 20min je dirais, il était joli au trot J'ai pas tenté le galop |
Par tata : le 25/03/12 à 13:00:00
| Dire merci | Cette aprem je vais aller au bois! C'est fou dès que le beau temps est là, ma motivation pour monter en piste est proche de 0.... ![]() La piste sans prof ca m'ennuie vraiment... |
Par Fantômette : le 25/03/12 à 14:52:04
| Dire merci | cool pr la pension!! j'espère qu'ils auront une petite place pr Ulys ![]() haha les longues rênes terrible |
Par HensonShagya : le 25/03/12 à 18:10:58
| Dire merci | Coucou Tata, je ne poste pas souvent pcq ce post va bcp trop vite pour moi Mais je viens lire de temps en temps. Et ce serait vraiment super pour toi si tu pouvais avoir une place dans cette pension. Je deviendrais aussi folle que toi si mes chevaux ne sortaient pas en prairie tous les jours!Et pareil pour moi, la piste sans prof j'ai vraiment du mal à me motiver (et encore plus mon cheval), alors qd il fait beau c'est encore pire, la promenade il n'y a que ça de vrai ![]() |
Par tata : le 25/03/12 à 21:05:05
| Dire merci | fanto -> pas de place pour l'instant non mais je suis pas pressée du tout, et pis j'ai pas encore visité depuis les transformations. Je viens d'avoir le vrai prix, c'est qd meme 45euros d eplus que maintenant.. Mais bon, c'est tellement mieux! Ca les vaut apparemment largement! A voir.. Si ca me permet d'être plus sereine avec ULys ca les vaut! (et éviter que je doive me taper 2 fois l'allé retours sur une journée pour aller le rentrer/sortir etc...) Bref, faut que je réfléchisse bien... Parce que si je pars de mon écurie actuelle, c'est pas demain la veille que je récupère une place! hansonshyaga -> ca me fait plaisir que tu laisses qd meme un petit mot! C'est vrai que mon post avance assez vite, enfin ca dépend des prériodes, en ce moment a part moi, ya pas grand monde huhu Sinon Ulys a pu sortir au pré de midi à 17h. Yavait un apéro improvisé à l'écurie, donc j'ai pu observer la prairie d'Ulys, ils étaient 6 chevaux sortis (c'est les proprios respectifs qui les ont mis), et le dominant du groupe était raide con, ca a bien galopé pendant 5minutes, j'ai bien regretté de pas avoir mon appareil! Ulys était magnifique! Queue sur le dos, grand trot et galop fond de balle... Au moins je sais que si il a des soucis d'articulations, c'est pas à cause de ce que je lui demande monté grand galop sur sol bien sec en descente, j'avais mal pour lui ^^Après ca, suuuper chouette balade au bois, Ulys a été génial |
Par vanou85 : le 26/03/12 à 08:52:01
| Dire merci | Je croise les doigts pour cette nouvelle pension, ça serait vraiment le top! Mais la gérante, même si elle est anti vaccins et anti vermifuge, vous pouvez le faire quand même pour vos chevaux, en tant que proprio? |
Par tata : le 26/03/12 à 09:03:25
| Dire merci | vanou -> c'est un gérant. Heu je pense qu'a une époque non (vermifuger fait sortir pleins de vers dans les prairies si pas geré correctement), mais maintenant je demanderai, j'irai voir cette semaine! Mais d'après les rumeurs ca a changé. Mais bon, faut pas trop s'emballer, c'est qd meme pas rien 45 euros en plus par mois, meme si au final, sur le long terme j'économiserai peut etre (bieeen meilleur qualité des sols des pistes, prairies toute l'année, bouffe de qualité bio). De plus c'est un peu plus loin de chez moi, enfin c'est le meme temps mais il faut passer par une route vraiment pourrie (pavés à l'ancienne ), si je dois y passer tout les jours ca risque d'abimer par mal ma voiture...Et si je fais le tours ca me fait presque 10min en plus. A voir, et vu comme le gérant est space, ptetre qu'il voudra pas de moi ^^ Enfin apparemment ils ont une groom top de chez top, box nickels etc... Mais si cette groom part et que c'est le gérant qui reprends, d'après ce que j'ai entendu ca risque d'être un peu folklo ^^ Sinon prairie pour Ulys aujourd'hui! Ce soir, repros! Demain peut etre pas prairie, dernier jours à prioris. OUF! |
Par vanou85 : le 26/03/12 à 09:08:09
| Dire merci | Heu je pense qu'a une époque non (vermifuger fait sortir pleins de vers dans les prairies si pas geré correctement) C'est ce que je penserais aussi, mais par exemple, vue la sensibilité de mon cheval, impossible de ne pas le vermifuger! Bon après, c'est une autre vision des choses quoi! Pas la mienne, mais je respecte.De toute façon oui, tu as raison, tu verras bien en allant visiter. Tu te feras une meilleure idée de comment ça se passe là bas! |
Par tata : le 26/03/12 à 09:12:23
| Dire merci | vanou -> je te rassure, c'est pas la mienne non plus! ^^ Mais je me souviens quand j'étais allé voir pour y mettre Ulys y a 4 ans, il me parlait d'équilibre des sols, que les parasites ne venaient que lorsqu'il y avait un déséquilibre, tant dans les sol que chez le cheval, et que donc il fallait pas par exemple engraisser les sols, des trucs comme ca.... Bref c'était assez mystique, mais bon je préfère 100x ca que le paleu qui me dit que c'est mauvais pour mon cheval de sortir au pré l'hiver.... ![]() |
Page : < < | 104 | 105 | 106 | 107 | 108 | 109 | 110 | 111 | 112 | 113 | 114 | 115 | 116 | 117 | 118 | 119 | 120 > >
Pour préserver la qualité de ce forum, vous devez être membre pour participer à cette discussion..
Il y a actuellement (69 366) membres dans la communauté.
Devenez membre | Connectez vous


Déconnecté










En ligne
? enfin j'y connais rien









pour ta balade


















