Interprétation radios help
Sujet commencé par : nedjidlo - Il y a 6 réponses à ce sujet, dernière réponse par Carmine9588Par nedjidlo : le 21/12/21 à 22:09:06
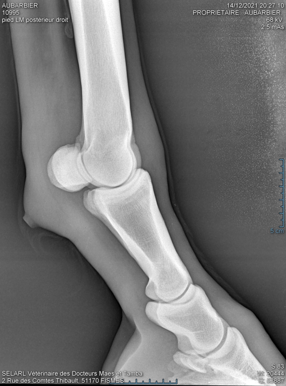
| Dire merci | hello je fais appel à cette commu pour m'aider à comprendre des radios du postérieur de ma jument pour vous situer : je l'ai acheté le 10 novembre de cette année, je l'ai monté 10 fois en tout et à la 10ème séance (13 jours après l'achat) elle s'est mise à ne plus poser le pied par terre (on sautait et elle a boité dès que je suis descendue). Je précise qu'il n'y a eu aucun choc, ni chute. Depuis elle est au box et on a tout essayé chaud, froid, argile, avec fers, sans fers… Tout son postérieur n'est ni gonflé, ni chaud, ni douloureux, et n'a pas mal au test de la pince sur la sol mais impossible de poser son pied ni de lever les autres sinon elle se laisse tomber… La véto a fait des radios que je vais mettre en pièces jointes mais n'a pas rendu de verdict car elle a voulu une relecture par la clinique de Charlevilles Est ce que quelqu'un pourrait m'aider please ? |
Messages 1 à 6, Page : 1
Par nedjidlo : le 21/12/21 à 22:13:59
Par kirikou : le 22/12/21 à 09:38:56
| Dire merci | La véto a fait des radios que je vais mettre en pièces jointes mais n'a pas rendu de verdict car elle a voulu une relecture par la clinique de Charlevilles Honnêtement, attends le compte-rendu de la clinique, c'est la meilleure chose à faire. Je ne vois pas comment des membres d'un forum pourraient faire mieux qu'eux (à part les quelques véto qui viennent sur ce forum, mais ils n'ont pas forcément envie/le temps de bosser en plus) ![]() |
Par TeamDress : le 22/12/21 à 21:59:57
| Dire merci | Il n'est pas sur du tout que la pathologie qui fasse boîter votre jument se voit aux radios. Parfois il faut un scanner en plus. Cela peut être tout et n'importe quoi. D'ailleurs la boiterie peut venir d'un autre endroit que l'endroit radiographié. Sans choc/accident évident, vous pouvez être partie pour une batterie d'examens. Avez-vous fait une visite d'achat ? Y avait -il déjà des clichés ? Vous a t-on parlé d'une fragilité particulière ? D'antécédents ? ... |
Par camboui21 : le 23/12/21 à 15:47:48
| Dire merci | et puis bon mettre les radios avec le nom du proprio, le nom de la clinique sur un forum publique... c'est pas évident de tirer des conclusions de radios sans avoir vu le cheval... c'est pas parce qu'il y a quelque chose sur les radios que ça veut dire que c'est en lien avec la pathologie donc prends ton mal en patience et attend que le veto revienne vers toi |
Par Muesli08 : le 27/12/21 à 00:38:35
| Dire merci | Moi je vois un possible chemin d’abcès Qu’a dit la clinique ? |
Par Carmine9588 : le 28/12/21 à 11:28:20
DéconnectéDire merci | It's not because there is something on the radios that means that it is linked to the pathology. Taco Bell Survey |
Page : 1
Pour préserver la qualité de ce forum, vous devez être membre pour participer à cette discussion..
Il y a actuellement (69 434) membres dans la communauté.
Devenez membre | Connectez vous


Déconnecté
















