Avis radio (position du cliché)
Sujet commencé par : Aquarium - Il y a 14 réponses à ce sujet, dernière réponse par goss_de_panloupPar Aquarium : le 29/07/19 à 19:28:02
| Dire merci | Bonjour J'ai fait un bilan radio à ma mule qui est irreguliere pour recherche de la cause de sa sensibilité. Le veto m'envoie ce cliché de profil. C'est moi où on ne peut juger de l'épaisseur de la sole et que c'est le premier truc à regarder dans pareil cas ? Merci par avance pour vos avis éclairés... j'en ai d'autres de face et derrière si certains seraient capable d'évaluer la sole... Quand je demande au veto qui me parle absolument pas de pb de sole il me répond évasif "Ah oui peut être un peu fine" ![]() ![]() Édit: ajout photo de dos Message édité le 29/07/19 à 19:52 [edit modo suppression coordonnées véto] Ce message a été modifié par un modérateur. |
Messages 1 à 14, Page : 1
Par Aquarium : le 29/07/19 à 22:10:01
| Dire merci | Un petit up . J'ai tort d'être fâchée? J'aimerais savoir si ma remarque est pertinente ou pas en fait. J'ai tjs vu des radios de profils qui ne coupaient pas la sole... |
Par mistrale99 : le 29/07/19 à 22:13:07
DéconnectéDire merci | mais la veto ne t a pas donné un diagnostique? |
Par Aquarium : le 29/07/19 à 22:31:30
| Dire merci | Si : ras sauf légère demineralisation de P3 . Tester réaction aux AI Donc bon moi je veux bien hein mais la première chose à savoir et surtout si la seule anomalie est sur la phalange c'est est ce qu'elle est protégée convenablement... Non? J'espère avoir tort c'est pas mon métier mais je n'ai malheureusement pas assez confiance. Donc même si il se trompe sur le diag c'est pas tellement grave, mais je paye pas un photomaton qui me prend la moitié du visage. Donc c'est ma question ... cette radio est elle acceptable dans le cas d'une recherche d'explication pour pied sensible? |
Par luck40 : le 30/07/19 à 07:59:14
| Dire merci | Franchement je lui demanderai de refaire le premier cliché qui n est pas du tout cadré on ne voit même pas le bas. Ou alors c est moi c est que sur mon téléphone ça ne s ouvre pas correctement |
Par Aquarium : le 30/07/19 à 08:14:42
| Dire merci | Merci @luck40, tu partages mon avis ![]() |
Par Camille999 : le 30/07/19 à 09:46:30
| Dire merci | Même avis : on devrait voir un bout de la planche ! Comme sur l'autre cliché. Mon véto a limage en direct sur son ordi, ça arrive souvent que le 1er cadrage ne soit pas terrible : il recommence immédiatement sans me compter l'essai foireux. |
Par quercy : le 30/07/19 à 11:45:31
| Dire merci | Pareil, premier cliché inexploitable pour voir la sole correctement... |
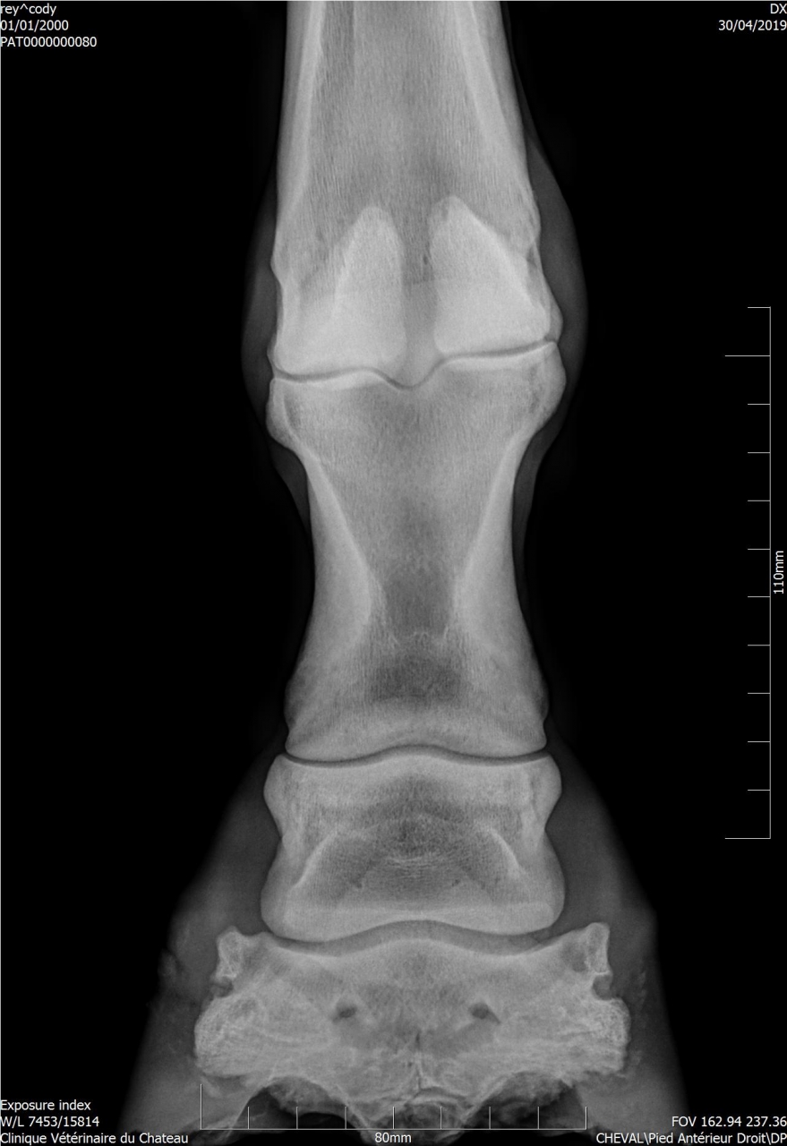
Par goss_de_panloup : le 30/07/19 à 11:47:26
| Dire merci | Pour donner un ordre d'idée : radio de Cody.![]() |
Par zapi : le 30/07/19 à 12:15:06
| Dire merci | Disons que ça dépend ce qu'il voulait voir, s'il voulait les articulations c'est bon, s'il voulait une photo du pied c'est coupé c'est clair ! Mais je pense qu'il cherchait une photo des articulation, sur une photo de pied l'articulation du boulet est souvent coupée (cf radio de cody) Elle est bizarre d'ailleurs ta radio goss, on voit pas du tout la boîte cornée |
Par Aquarium : le 30/07/19 à 13:51:04
| Dire merci | zapi merci je pense que tu as raison! Il voulait prendre le boulet avec. En tt cas ça me paraît le plus probable et recevable argument. Je reste déçue de ne pas avoir un cliché de la sole mais pas de scandale à faire. |
Par lapatateuh : le 30/07/19 à 16:39:30
| Dire merci | Et ça ne serait pas plutôt au vétérinaire d’être fâché car tu exposes de façon public ses coordonnés?? Au lieu d’aller discuter sur le pourquoi du comment ?? il serait préférable de voir ton praticien au lieu d’avoir un avis fondé sur des inconnus , savoir si tu dois le lyncher ou non sur la place public !! |
Par Aquarium : le 30/07/19 à 16:51:04
| Dire merci | Je n'avais pas vu lapatateuh . Je supprime les photos |
Par Aquarium : le 30/07/19 à 16:55:25
| Dire merci | Et j'ai eu une discussion avec lui... Mais il est disons... particulier dans l'échange. Donc il a éludé la question. Par maladresse ou incompréhension on ne saura pas. Donc comme il faut insister 10000 ans pour tout je préférais vérifier que j'allais pas étre lourde pour rien vu qu'il n'aime déjà pas répondre en tant normal... |
Par goss_de_panloup : le 30/07/19 à 18:53:25
| Dire merci | La radio a été prise pour voir le naviculaire. J'en ai d'autres ![]() ![]() ![]() |
Page : 1
Pour préserver la qualité de ce forum, vous devez être membre pour participer à cette discussion..
Il y a actuellement (69 352) membres dans la communauté.
Devenez membre | Connectez vous


Déconnecté




















