Boiterie ?
Sujet commencé par : goss_de_panloup - Il y a 105 réponses à ce sujet, dernière réponse par goss_de_panloup1 personne suit ce sujet
Par goss_de_panloup : le 16/04/19 à 22:09:41
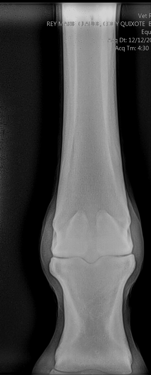
| Dire merci | Dimanche j'ai longé Cody et il est irrégulier au trot. Il a tendance à se coucher sur le cercle à main droite. J'ai du mal à voir d'où provient la boiterie. J'ai plus l'impression qu'il est raide. Je prends toujours le temps de l'échauffer au pas aux 2 mains et de faire un assez grand cercle. Je ne longe pas très longtemps. Avant que je l'achète il a eu une grosse plaie non soignée à l'antérieur droit. ![]() Lors de la visite d'achat du 12/12/2017, la véto a indiqué : Déformation des tissus mous en regard de l'épaississement cutané consécutif au chéloïde cicatrisé face dorsale du boulet, sans atteinte osseuse associée. J'ai fait réaliser des radios. ![]() ![]() La boiterie pourrait elle être une conséquence du chéloïde ? Les tendons sont normaux. Je vais sans doute faire passer l'osteo dans un premier temps. D'autres tests à faire pour déterminer l'origine de cette boiterie ? |
Par Juliie : le 30/04/19 à 21:51:10
| Dire merci | Ah mince... c’est compliqué à gérer les soucis de naviculaire... Aquarium, mon cheval supporte très bien le test de la planche et il a pourtant des naviculaires pas jolis aux radios (mais ils ne l’ont très certainement jamais fait boiter) |
Par beeboylee : le 30/04/19 à 21:51:48
| Dire merci | En tt cas ça se voit sans doute aucun sur radios ( bien faites),la planche étant sujette à caution,je crois. Mais ce qui est certain c'est que le cheval était ds un état misérable à l'époque de l'achat,manifestement sous alimenté et très loin des canons de la race. Tt le monde ici a déconseillé l achat. J'espère que ton véto a mal.lu les radios ou qu il s'est carrément planté, parce que sinon vous êtes mal. ![]() |
Par Juliie : le 30/04/19 à 21:55:16
| Dire merci | Beeboylee, mon véto m’avait dit pareil pour le test de la planche. Que même si mon cheval n’avait pas mal au naviculaire (il boitait pour une autre structure du pied), avec des clichés comme ça, un paquet de chevaux supporteraient mal la planche. Et le mien RAS.. D’où l’important de faire une VA avec au moins les radios de base.. dont les pieds.. |
Par dilou : le 30/04/19 à 21:55:36
| Dire merci | Je confirme ce que dit Bee : mon cheval naviculaire bien visiblement aux radios était négatif au test de la planche. pour Cody ! |
Par Aquarium : le 30/04/19 à 21:57:24
| Dire merci | Oki intéressant ! J'avais en tête que justement le naviculaire en radio se lisait pas forcément bien. Enfin qu'il n'y avait pas forcément corrélation entre la radio et la gêne. J'ai dû faire un raccourci idiot. Bon courage |
Par Juliie : le 30/04/19 à 22:00:12
| Dire merci | Pas de corrélation entre l’image et la douleur, oui je pense par contre ![]() |
Par beeboylee : le 30/04/19 à 22:02:53
| Dire merci | Tu n as pas non plus tort. Certains naviculaires douteux ne feront jamais boiter le cheval de même que certains tests de la planche costauds feront boiter un cheval sain. Ce qu il y a de certain c'est qu un naviculaire pas top plus un cheval qui boite alors même qu il est a peine mis vaguement au taf ,si on peut parler de boulot ici,c'est pas bon |
Par goss_de_panloup : le 30/04/19 à 22:42:03
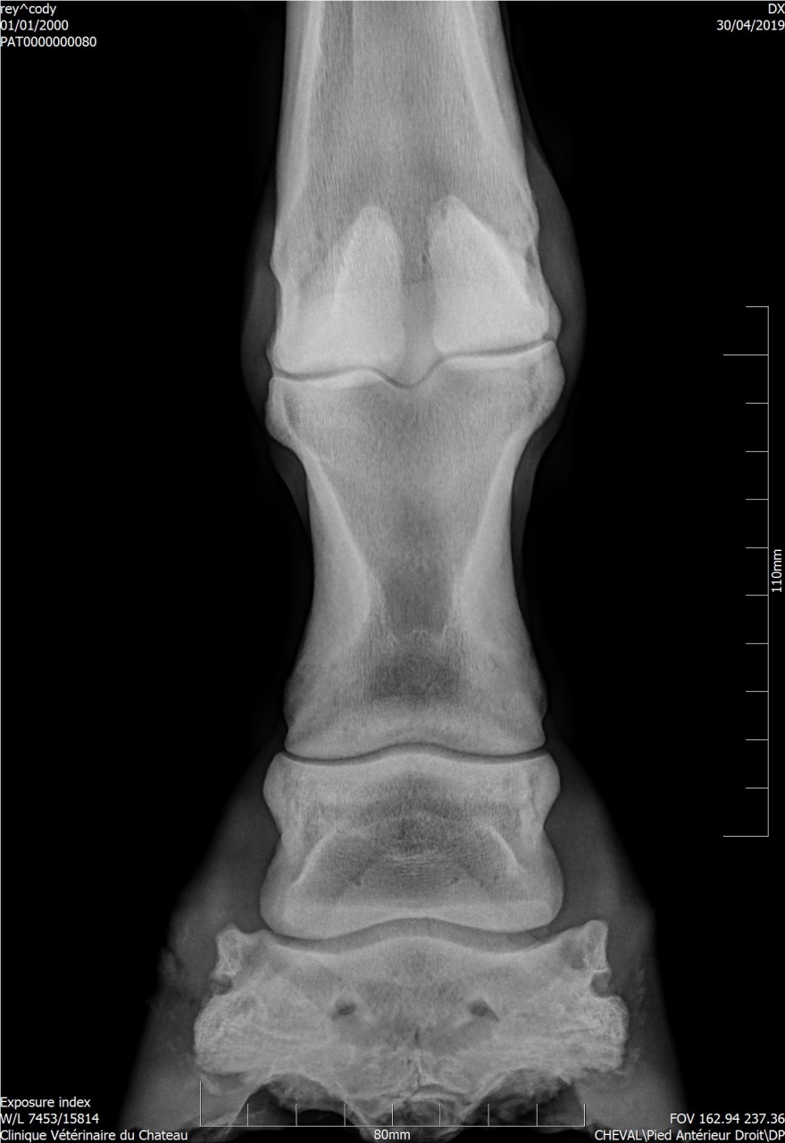
| Dire merci | À la VA Cody ne boitait pas du tout. J'ai fait une radio du boulet, là où il avait eu une plaie mal soignée. Depuis l'achat, il a bien repris de l'état. Il est juste bien en poids. J'ai commencé le "travail" cet hiver en douceur. La boiterie est relativement récente, j'ai commencé les cours de travail à pied après ma chute et ma prof me fait travailler sur des petits cercles. La carrière est "en herbe". Lorsque j'ai fait la remarque, elle m'a dit que ça ne posait pas de souci (je ne longeais quasiment pas Goss et toujours sur un grand cercle, juste pour travailler moi). Je ne longe pas longtemps et je ne fais pas trotter Cody longtemps, je travaille uniquement les transitions après un échauffement au pas. On a fait une petite séance de longues rênes. Aujourd'hui le véto a fait le test de flexion sur sol dur, des 8 de chiffre et m'a regardé longer au trot aux 2 mains dans la carrière. Ensuite on a fait les radios. La boiterie n'est pas suffisante pour faire un examen en anesthésiant une partie du pied. Après je n'ai pas de grosses ambitions équestres, un peu de travail à pied et une petite balade de temps en temps. Le principal c'est Cody, je m'adapterai. |
Par beeboylee : le 01/05/19 à 00:37:49
| Dire merci | Radio du boulet,rien a voir avec radio du pied..donc tu n'as pas regarde les naviculaires. |
Par Borane : le 01/05/19 à 17:46:57
| Dire merci | Quel est le pronostic du véto ? Ton cheval est-il ferré ? |
Par swann : le 01/05/19 à 18:03:10
Déconnecté | J'ai relu le Pete Ramey...il dédramatise le syndrome naviculaire, et assure que tous les chx parés par ses soins étaient rétablis. C'est pas un illuminé ni un vantard, le pb c'est qu'on a peu en France de parleurs de sa trempe |
Par goss_de_panloup : le 01/05/19 à 20:32:15
| Dire merci | J'ai fait une radio du boulet suite à une blessure mal soignée pour être sûre qu'il n'y ait pas de séquelles. Je n'ai pas fait d'autres radios car pas de boiterie. Cody est pieds nus. Apparemment un parage adapté peut suffire. Dans l'idéal j'aimerais éviter de ferrer, sauf si c'est vraiment nécessaire. Aujourd'hui j'ai nettoyé les fourchettes car ma pareuse n'y touche pas. |
Par Le Pex : le 01/05/19 à 20:41:22
| Dire merci | Sans avoir besoin d’un Pete Ramey, la piste du pareur est très intéressante. Mon ostéo, qui est aussi podologue, est spécialisée dans les traitements du naviculaire et dans le « sauvetage » des cas désespérés. Elle a de très bons résultats. Ça doit se trouver aussi en France. Je ferais d’abord des radios pour savoir exactement ce qui se passe là-dedans, et pour valider le naviculaire, parce que certains vétos ont tendance à déclarer naviculaires tous les chevaux qui ont des problèmes de pieds. On a le cas dans mon écurie, une jument de 8 ans, boiteuse, soit disant naviculaire, alors qu’elle est juste très mal ferrée. |
Par goss_de_panloup : le 01/05/19 à 20:51:46
| Dire merci | Les radios ont été faites hier, il y a clairement un souci sur le naviculaire antérieur droit (le véto m'a montré le cliché sur l'écran). |
Par swann : le 01/05/19 à 21:17:29
Déconnecté | Alors le naviculaire peut ne pas être naviculaire toute sa vie? |
Par Juliie : le 01/05/19 à 21:27:47
| Dire merci | Je ne vois pas comment une sclérose ou des fossettes peuvent disparaitre? ![]() Modifier la ferrure ou le parage afin que le perforant sollicite moins le naviculaire, peut être? Mais les lésions sur l'os sont irréversibles j'imagine... Message édité le 01/05/19 à 21:28 |
Par beeboylee : le 02/05/19 à 04:50:32
| Dire merci | J'ai croisé divers naviculaires ( des avérés)dont la boiterie avait été jugulée ...un temps par intervention sur le pied via parage ou fers à l'envers. Je n'ai jamais vu un cheval en guérir, parce que oui les lésions sont irréversibles et,au bout d'un moment,ça s'est remis a boiter Franchement ,sur un cheval si jeune,qui n'a jamais bossé,ça veut dire que le pb est là depuis toujours et ça me semble mal barré. |
Par swann : le 02/05/19 à 07:06:57
Déconnecté | Lire l'article ( qui n'est pas excellemment traduit) donne à penser tout de même Que les Américains semblent plus avancés que nous qui faisons peu de cas des recherches faites aux US en la matière Qu'en France la solution c'est souvent des fers à l'envers...ce qui serait exactement ce dont le cheval n'a pas besoin : l'élévation des talons, le non fonctionnement de la fourchette et des coussinets plantaires qui ne fait qu'aggraver le processus Je ne dis pas que je sais tout, mais j'aurais un cheval naviculaire et qu'on me propose des fers à l'envers, et que donc je verrais ce cheval marcher pointe en premier, je me poserais beaucoup de questions et je me dirais qu'en effet il ne marchera jamais sans douleur Ramey ne dit pas que le cheval guérit, il dit qu'on peut le soulager de telle sorte que lui se croit guéri Message édité le 02/05/19 à 07:14 |
Par beeboylee : le 02/05/19 à 08:54:05
| Dire merci | Je sais très bien ce que dit Ramey. Ce que je dis simplement c'est que quelles que soient les solutions envisagees,je n'ai jamais vu un cheval naviculaire avéré par radios correctement lues et déjà au stade de la boiterie ....arrêter de boiter si vrai boulot derrière. J'ai vu en revanche des chevaux avec naviculaires pas terribles ne jamais boiter mais des lors que ça a démarré, donc que la douleur est là, je suis très sceptique sur une utilisation même au niveau loisir sur le long terme. Et ce d'autant plus que le syndrome se déclare sur un très jeune cheval qui n'a rien foutu de sa vie et n'a pu être abîmé que par la façon dont il a été élevé poulain ...ou par la génétique...ou par le pas de chance |
Par swann : le 02/05/19 à 09:01:37
Déconnecté | ILa réhabilité des chevaux boiteux |
Par beeboylee : le 02/05/19 à 09:09:03
| Dire merci | Encore faut il.savoir s'ils étaient réellement naviculaires ( bcp de lectures fausses en imagerie) et surtout ce qu ils ont fait derrière.... Parce qu un naviculaire ne boite pas non plus constamment. Franchement,vu la merde noire qu est ce syndrome, qui te colle en gros un cheval à la retraite ,si Ramey avait trouvé the solution, he crois qu elle serait bcp plus exploitée. Pas pour rien que les VA meme de base incluent normalement toujours les radios des antérieurs. |
Par goss_de_panloup : le 02/05/19 à 09:40:53
| Dire merci | Dès que j'ai les radios je ferai le point avec le véto. Il a effectivement parlé d'un tendon qui viendrait frotter sur l'os et sur la nécessité d'adapter le parage. La boiterie est très légère, et ne permet pas de faire le test en anesthésiant une partie du pied. |
Par swann : le 02/05/19 à 10:03:36
Déconnecté | on est des brêles en France sur la connaissance du pied, vraiment![]() |
Par dilou : le 02/05/19 à 10:50:41
| Dire merci | Dans le cas que je connais bien, l'os naviculaire est en sale état. Mais la douleur et donc la boiterie, vient du tendon qui s'enflamme en frottant sur cet os "rugueux" (je ne connais pas le terme exact). Donc avec un parage adapté, un pré plat (très important), peu de travail et surtout éviter le galop (je parle toujours du cas de Kachou) ainsi que tout travail en cercle, on peut donner du confort au cheval. Mais il n'est pas guéri, hélas, et il suffit de peu de choses pour qu'on le voie à nouveau boiter. |
Par chevalboiteux : le 02/05/19 à 21:11:54
| Dire merci | Même chose pour la mienne, tondeuse depuis ses 4 ans (je tire pas mon pseudo de rien) Os naviculaire tres dégradé, causant inflammation du tendon. Quelques années a soulager/masquer avec des fers à talons fabriqués par le maréchal avant que je ne décide de la passer pieds nus. Bien mieux depuis, elle gère sa douleur (c'est vraiment pas une chochotte mais ses expressions faciales sont parlantes quand elle douille). Je ne fais pas de partage magique mais le maréchal (moi à defaut) veille à gérer la surpousse en pince Voilà on va dire qu'elle a une vie correcte .... mais elle ne bosse plus du tout (bon là elle a 22 ans) |
Par goss_de_panloup : le 02/05/19 à 21:33:54
| Dire merci | Je mettrai les radios dès que je les aurai. Je ne sais pas dans quel état est l'os naviculaire. Le principal c'est d'apporter du confort à Cody. Pour le moment il est sous anti inflammatoires pendant une semaine. Je vais sans doute tester un complément alimentaire le Nav X Gold de chez Hilton Herbs. Le véto a conseillé de l'Osteosin. |
Par flamingo42 : le 02/05/19 à 22:00:15
| Dire merci | Je plussoie pour l’ostéosin! Ca coute un billet mais je n’ai pas hésité lorsque mon loulou s’est sectionné l’extenseur avec l’os du postérieur a nu sur 20cm. Et très honnêtement, l’ostéosin a clairement aidé a la guérison et a la protection des tendons/os |
Par Juliie : le 02/05/19 à 22:43:06
| Dire merci | Les vetos ont tous des parts de marché chez Lencare ou quoi? Le mien aussi ne me revend que des produits de cette marque |
Par goss_de_panloup : le 03/05/19 à 09:37:00
| Dire merci | Je trouve le prix exorbitant ![]() Il doit me rester un complément pour l'arthrose de Goss avec glucosamine/chondroitine. D'autres compléments à me conseiller ? |
Par Juliie : le 03/05/19 à 10:53:05
| Dire merci | Chrysanphyton d’equistro |
Par goss_de_panloup : le 03/05/19 à 10:57:34
| Dire merci | Merci ![]() |
Par goss_de_panloup : le 03/05/19 à 11:00:53
| Dire merci | Une amie a des guêtres magnétiques pour sa ponette. Ça pourrait aider ? Guêtres ou cloches ? |
Par goss_de_panloup : le 04/05/19 à 21:41:14
| Dire merci | Je n'ai plus le complément de Goss ... Je peux continuer les exercices de respect à pied ? Je travaille : les flexions latérales, céder au niveau de la nuque, déplacer les hanches et les épaules. Je sais qu'il faut éviter les cercles. |
Par Juliie : le 04/05/19 à 22:00:29
| Dire merci | C’est au véto qu’il faut poser cette question. On n’a pas vu le cheval ni les radios... Le mien quand il a boité, c’était placard ferme pendant plusieurs jours. Puis sorties uniquement en main. Puis pré sous tranquillisant... mais chaque cas est différent... |
Par goss_de_panloup : le 14/05/19 à 17:57:43
| Dire merci | Voici le compte-rendu du véto : Examen général: L’examen locomoteur au pas et au trot en ligne droite ne met pas en évidence de boiterie. Le cheval pose l’antérieur droit en deux temps : pose d’abord en muraille externe puis en interne. Une boiterie 2/5 de l’antérieur gauche apparait sur le cercle au trot à droite Examens complémentaires : Radiographie : Pieds de face : 3-4 fossettes synoviales sur le bord distal du naviculaire antérieur droit, de profondeur faibles et peu ouvertes. 2-3 fossettes synoviales dont l’une plus ouverte sur le bord distal du naviculaire antérieur gauche Léger pincement articulaire p1-p2 et p2-p3 coté externe visible sur le membre à l’appui. Boulet de face : Petit remaniement osseux au niveau de l’insertion proximale du ligt coll int Boulet et pieds ant droit de profil : ras La boiterie étant trop légère pour préciser la localisation par anesthésie étagée, plusieurs hypothèses sont envisagées. Par ordre d’importance : • Pincement et fatigue articulaire lié au parage ou à une compensation d’une légère entorse boulet • Entorse du boulet • Début syndrome podotrochléaire Message édité le 14/05/19 à 18:37 |
Par goss_de_panloup : le 14/05/19 à 17:59:59
Par swann : le 14/05/19 à 19:00:29
Déconnecté | C'est pas mal rassurant ? |
Par Colomba : le 14/05/19 à 19:11:45
DéconnectéDire merci | ben t'as plus qu'a prier pour que ce soit une entorse.... |
Par goss_de_panloup : le 14/05/19 à 19:21:57
| Dire merci | Le véto vient de me laisser un message à l'instant : peut-être une ancienne entorse du boulet. Je le rappellerai demain matin. |
Page : 1 | 2 | 3
Pour préserver la qualité de ce forum, vous devez être membre pour participer à cette discussion..
Il y a actuellement (69 435) membres dans la communauté.
Devenez membre | Connectez vous


Déconnecté



(mais ils ne l’ont très certainement jamais fait boiter)


En ligne
pour Cody !


















