Au revoir mon beau Paso <3
Sujet commencé par : sab46 - Il y a 86 réponses à ce sujet, dernière réponse par acajoudoudou1 personne suit ce sujet
Par sab46 : le 02/04/18 à 18:27:00
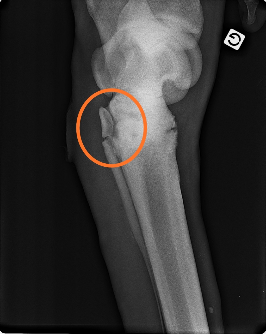
| Dire merci | mon cheval a une fracture de l'os rudimentaire médial À priori pas d'opération en vue, à confirmer dans les prochains jours Sinon traitement laser prévu J'attends la suite des directives de la véto A eu radios et écho samedi Transféré dans mon jardin, en van avec pont pour être au plat et en vue Faut que je prenne de la poudre calcique, et il a argile tous les jours Anti inflammatoire et antibiotiques 7 et 5j Il a 20ans ![]() ![]() ![]() Ce message a été modifié par un modérateur. |
Par sab46 : le 04/04/18 à 19:12:11
| Dire merci | Pas d'opération en vue ouf, mais traitement laser prévu 😐![]() |
Par goss_de_panloup : le 04/04/18 à 21:12:29
| Dire merci | Courage ![]() |
Par quercy : le 05/04/18 à 06:36:08
| Dire merci | Par contre, je vois une balançoire en arrière plant, je connais quelqu'un qui à perdue son ânesse à cause de çà ils ne savent pas comment elle à fait, elle s'est entortillé dedans les cordes des sièges et s'est étranglée... ( si tu peux, décrochent-les par précaution ) |
Par pascaline33 : le 05/04/18 à 10:31:01
| Dire merci | La poudre calcique est un bon produit pour la calcification des os, fractures, etc...Et l'argile aussi. Par contre, vu qu'il prend des AI et AB, pense à protéger sa flore digestive. ![]() |
Par El Bimbo : le 05/04/18 à 21:14:47
| Dire merci | la consoude est un consolidant des os naturel ! |
Par sab46 : le 08/04/18 à 13:55:25
| Dire merci | merci 😉 Ma fille me remet la balançoire tous les jours, alors que je coince sur les côtés Il a ostéo traumyl pour les os, Là elle m'a filé du gastrogard pour éviter ulcère Il me fait une piro depuis samedi ça arrange pas son état de fracture....carbesia fait, température tjs haute pour moment, on surveille que ça soit pas infection... sinon c est grave, zondes à fond pour lui.... |
Par pascaline33 : le 08/04/18 à 14:30:55
| Dire merci | Gastrogard pour prévenir les ulcères ce bien , la piro, ce pas de chance, courage à vous deux, j'espère que ça va aller pour lui. |
Par quercy : le 08/04/18 à 14:57:42
Par sab46 : le 08/04/18 à 18:05:45
| Dire merci | membre reenflé depuis hier aprem Demain la véto revient pour 2e séance laser elle contrôlera, douche argile en attendant ![]() ![]() ![]() |
Par goss_de_panloup : le 08/04/18 à 18:19:00
Par Colomba : le 08/04/18 à 21:08:03
DéconnectéDire merci | Houla, j'espere que ça va aller, de bonnes ondes |
Par sab46 : le 09/04/18 à 22:18:32
| Dire merci | Cheval en clinique Ce matin amorphe complet 39'7 Postérieur tjs enflé Pas top Véto savait plus Dc clinique, observation Peu transit... Attente ponction dans jarret où ya fracture pour voir si septicémie ou pas... Zondes... suis complètement vide 2000€ pour 48h, sans les 1000€ déjà donné examens précédents, sans savoir si peuvent le sauver.... |
Par Aquarium : le 09/04/18 à 22:56:04
| Dire merci | Ohlala courage |
Par sab46 : le 10/04/18 à 12:38:45
| Dire merci | auj il mangeait, perfusion enlevée, DC à suivre, je rappelle ce soir Il se bat mon loulou |
Par Nine81 : le 10/04/18 à 13:55:34
Par pascaline33 : le 10/04/18 à 14:05:11
| Dire merci | Courage à vous deux! |
Par sab46 : le 10/04/18 à 16:58:21
| Dire merci | J espère que ce soir bonne nouvelle encore |
Par sab46 : le 10/04/18 à 16:59:39
| Dire merci | J espère que ce soir bonne nouvelle encore |
Par sab46 : le 10/04/18 à 19:16:33
| Dire merci | Analyse en cours car liquide de péritonite dans intestin... attente jusqu'à jeudi résultats mais apparemment si c est ça c'est 15% survie....😭 |
Par goss_de_panloup : le 10/04/18 à 20:27:50
| Dire merci | Courage ![]() |
Par sab46 : le 10/04/18 à 21:30:52
Par sab46 : le 12/04/18 à 18:43:02
| Dire merci | Il est parti dans mes bras 😭😭😭 Adieu mon amour. ![]() ![]() |
Par pascaline33 : le 12/04/18 à 20:15:59
| Dire merci | Quelle triste nouvelle mais cette photo est magnifique! courage à vous. ![]() |
Par sab46 : le 13/04/18 à 09:31:08
Par Nine81 : le 13/04/18 à 09:37:58
| Dire merci | Courage ! |
Par Juliie : le 13/04/18 à 13:17:39
| Dire merci | Courage ![]() |
Par Jolinar : le 13/04/18 à 13:19:27
| Dire merci | oh ![]() plein de pensées... |
Par Erzebeth : le 13/04/18 à 14:17:56
Par kefiretlome : le 13/04/18 à 15:43:19
| Dire merci | Je suis profondément désolée pour toi, c'est si dur de les perdre. Courage, il est parti rejoindre les copains partis trop tôt comme lui. |
Par sheytana : le 13/04/18 à 15:45:48
| Dire merci | Quelle tristesse ![]() |
Par arwen73100 : le 13/04/18 à 15:46:49
| Dire merci | Désolée .......... Plein de courage .... |
Par Nirvelli : le 13/04/18 à 15:53:22
| Dire merci | Courage, il était superbe ... |
Par naala147 : le 13/04/18 à 16:10:18
| Dire merci | triste nouvelle ![]() il etait tres tres beau ton paso |
Par MILY64 : le 13/04/18 à 16:11:05
| Dire merci | pensées pour toi, courage ! |
Par Matchbox : le 13/04/18 à 16:26:25
| Dire merci | Pauvre loulou...beaucoup de courage |
Par Le Pex : le 13/04/18 à 16:26:45
| Dire merci | Courage ![]() |
Par dagob26 : le 13/04/18 à 16:35:07
| Dire merci | Bon courage à vous ![]() Au revoir Paso |
Par Thalis : le 13/04/18 à 17:00:36
| Dire merci | Arghhhhh ![]() Beaucoup de courage ! |
Par swann : le 13/04/18 à 17:11:17
Déconnecté | Plein de courage, et m****![]() |
Par acajoudoudou : le 13/04/18 à 17:34:14
| Dire merci | Au revoir Paso repose en paix. |
Page : 1 | 2 | 3
Pour préserver la qualité de ce forum, vous devez être membre pour participer à cette discussion..
Il y a actuellement (69 207) membres dans la communauté.
Devenez membre | Connectez vous


Déconnecté






ils ne savent pas comment elle à fait, elle s'est entortillé dedans les cordes des sièges et s'est étranglée... ( si tu peux, décrochent-les par précaution )










En ligne




















