Par Cha08 : le 05/02/15 à 20:10:41
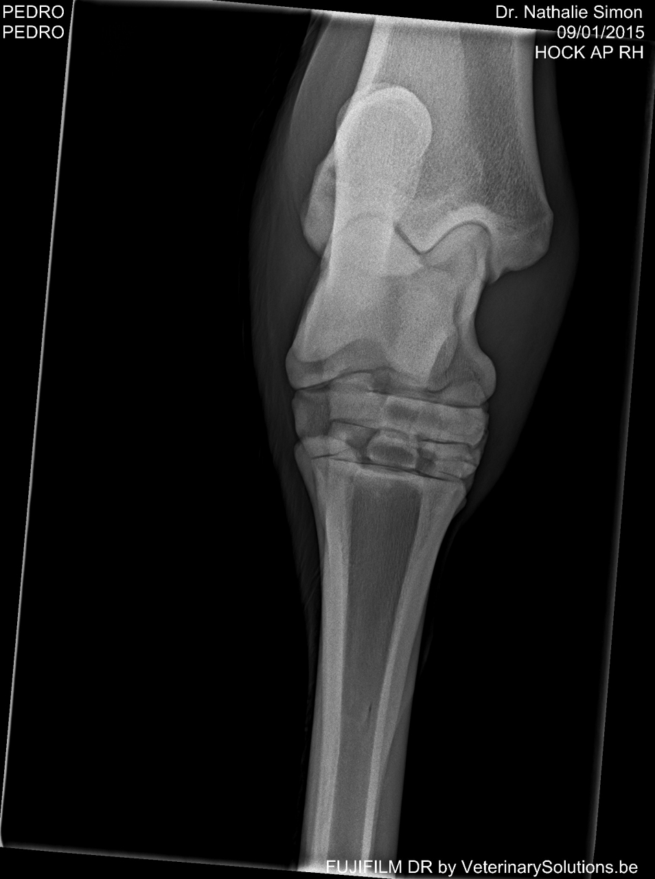
DéconnectéDire merci | Bonsoir à tous, il y a un mois d'ici mon cheval à fait un grosse chute et suite à cette chute on y a détecter un fissure au jarret.. Je souhaiterai savoir si quelqu'un a déjà vécu cela Merci d'avance et bonne soirée à vous tous !(la photo que je vous met de la radio est la seule ou on peu "voir" la fissure) ![]() |
Par equifeel : le 06/02/15 à 07:58:47
| Dire merci | Bonjour, oui, j'ai eu un cas similaire, fracture du jarret sur ma jument. Bien plus grave que ton cas Elle était pleine et avait 18 ans. Le veto m'a dit que le plus sage serait de l?euthanasié car ca engendrerait beaucoup de frais pour un résultat vraiment plus qu'incertain. J'ai choisi de la soigner. Elle était à 5 mois de grossesse, il m'a dit qu'elle devrait avorter naturellement à cause de la souffrance, de la douleur endurée et du stress. Elle a fait 8 mois de box strict. Elle n'a pas avorté et je n'ai pas souhaité le faire artificiellement. Il a fallut trouver le bon équilibre entre l'avoir maigre pour pas faire de poids sur sa jambe mais pas trop pour que le poulain ai tout ce qu'il faut. Pareil, il a fallut trouver le bon dosage en médocs pour qu'elle ne souffre pas trop mais qu'elle ressente encore assez de douleur pour qu'elle ne s?appuie pas sur son membre . Aujourd'hui, ma jument à 22 ans, elle marche, trotte et galope sans soucis, elle a une vie heureuse au pré. Son jarret s'est décalcifier et s'est recalcifié, il est forcément moins souple et moins articulé, mai ca ne la gêne pas et elle ne souffre pas. Le poulain, lui, a 4 ans et se porte comme un charme. Il a été élevé au biberon sous la mère car elle n'a pas fait de l'ait. voilà pour mon expérience |
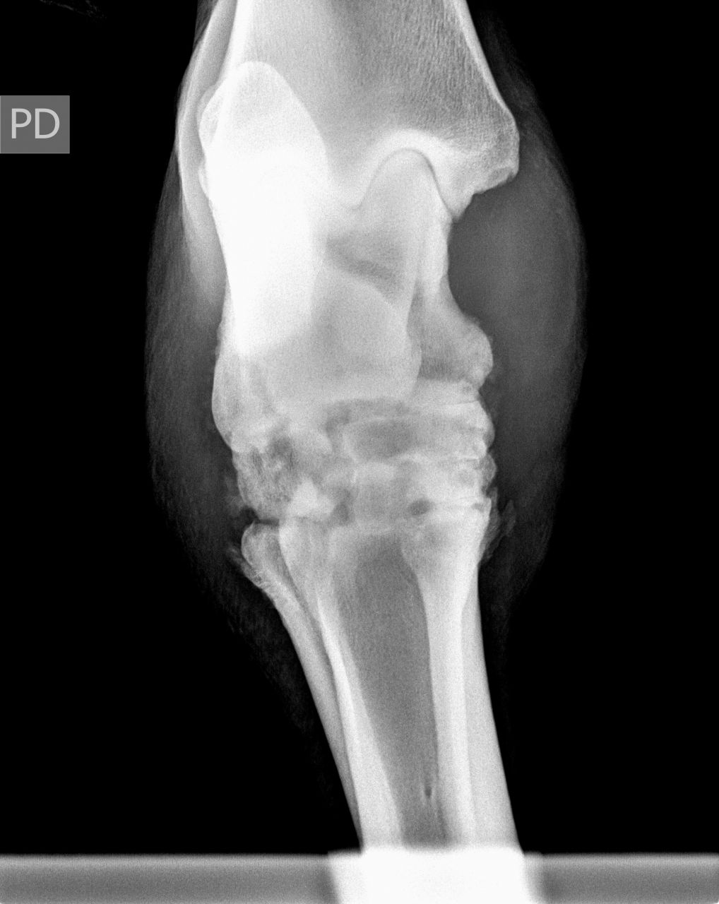
Par equifeel : le 06/02/15 à 08:49:03
| Dire merci | Voici une radio prise en octobre 2010, [url=https://www.1cheval.com/membre/services/photos/images/191702.jpg" class='zoombox zgallery3279789' ] ![]() et une en décembre : [url=https://www.1cheval.com/membre/services/photos/images/191703.jpg" class='zoombox zgallery3279789' ] ![]() comme tu vois, c'était pas joli joli ! |
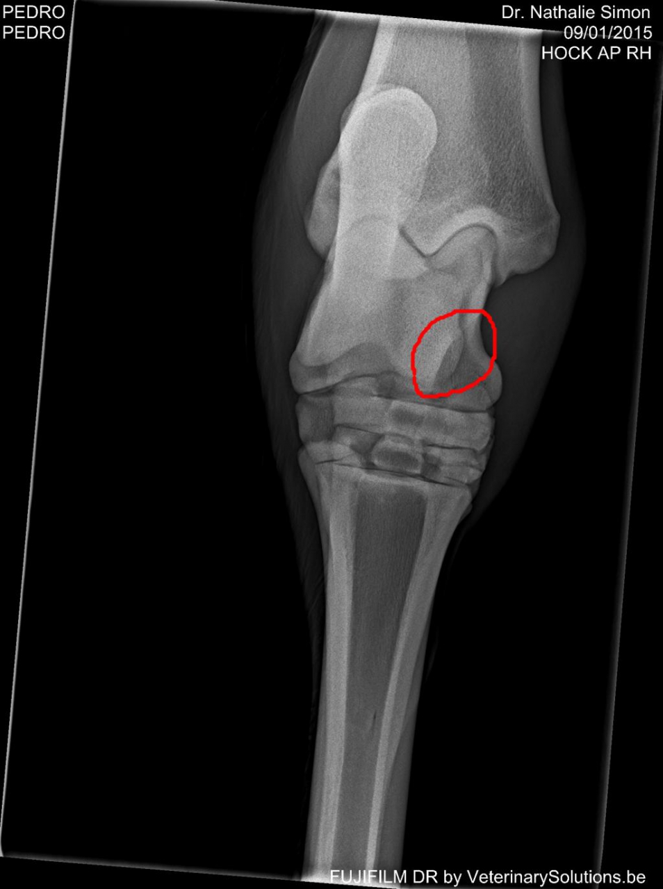
Par Cha08 : le 06/02/15 à 09:12:31
DéconnectéDire merci | Bonjour ha c'est vraiment gentil pour la jument, en tout cas vous êtes quelqu'un de fort psychologiquement car moi j'ai déjà du mal alors qu'il n'a qu'une petite fissure :/ en tout cas merci pour le partage de votre expérience mais pouvez-vous me dire on se trouve la fracture de votre jument ? moi elle se trouve là (entourée en rouge ) |
Par Cha08 : le 06/02/15 à 09:12:46
DéconnectéDire merci | ![]() |
Par equifeel : le 06/02/15 à 09:43:50
| Dire merci | je ne sais pas comment on fait pour entourer. Mais si on regarde tout les pourtours de ses articulations du jarret ne sont pas nets, il y a de l'arthrose et des détachements osseux. En faite, ca s'est décalcifié de partout et ca s'est recalcifié comme ca a pu et ca a fait une arthrodèse du jarrêt (sur le second cliché, on ne distingue plus vraiment les os, ca fait des blocs) |
Par Cha08 : le 06/02/15 à 09:47:42
DéconnectéDire merci | Son jarret était cassé en plusieurs morceau en fait ? :/ |
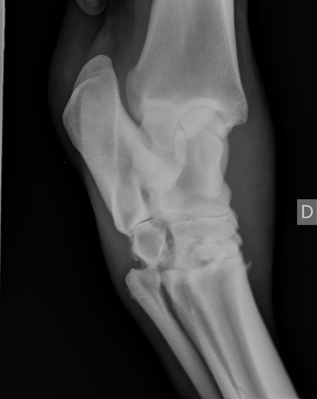
Par equifeel : le 06/02/15 à 09:54:59
| Dire merci | Voici 2 autres clichés encore plus parlant : en octobre : [url=https://www.1cheval.com/membre/services/photos/images/191705.jpg" class='zoombox zgallery3279806' ] ![]() en décembre : [url=https://www.1cheval.com/membre/services/photos/images/191706.jpg" class='zoombox zgallery3279806' ] ![]() oh, tu sais, aujourd'hui, j'en parle s'en soucis et en étant contente du résultat, mais au moment où, je suis passé par des questionnements et des remises en cause pas possible, est ce que je fais bien, est ce que j'ai raison, ne devrais-je pas écouter les autres et ne pas m'acharner, etc...? sauf que les autres, ils ne sont pas à ta place, alors, j'ai écouté mon instinct. financièrement, j'y ai laissé des plumes, heureusement, les dépenses étaient étalées car dur avec un smic. Et pis, ben une fois qu'on a commencé, on va jusqu'au bout, pas possible à mi-parcourt d'arrêter, vaut mieux alors ne pas commencer. Je comprends par quoi tu passes. La fêlure de ton cheval n'est pas si grave que ca. Evidemment, c'est un mot impressionnant, surtout qu'on associe facilement chez le cheval fracture= fichu. Qu'est il envisagé comme soins pour ton cheval? Qui est-il? A quoi est-il destiné? |
Par equifeel : le 06/02/15 à 10:03:18
| Dire merci | Chez ma jument, ce n'est pas une fracture au sens on on l'entend, c'est à dire une cassure de l'os. C'est plus une facture au sens large du terme, où on prend en compte la globalité de l'articulation. On voit qu'il y a pleins de petits éclats, qu'il n'y a plus d'espace entre les os et qu'ils se soudent entre eux. Désolée, je ne suis pas véto, j'explique avec mes mots, je ne suis pas précise. |
Par Cha08 : le 06/02/15 à 10:20:47
DéconnectéDire merci | Les soins c'est douché à l'eau tout les jours, le faire marcher le plus souvent possible ce qui n'est pas toujours facile c'est un étalon de 7 ans qui n'a pas l'habitude d'être au repos sans rien il est de nature très calme mais il aime travailler et sortir donc que je vais le marcher il est content de sortir et chauffe très vite.. De plus la vétérinaire m'a donné un complément alimentaire pour ses os qui m'a coûté la peau des fesses donc j?espère qu'il va bien fonctionner x) ! Ce qui m'inquiète c'est qu'après un mois il soit toujours aussi gonflé je me dis que c'est peut-être du au manque d'activité ... Et le semaine passé la maréchal n'a pas su faire son postérieur blessé car il avait l'air d'avoir encore mal ce qui est peut-être du au froid.. Ce que je lui fait tout les deux jours c'est lui mettre de l'argile verte pendant une heure et tout les jours après sa douche je lui met un gel à base d'arnica pour son hématome la vétérinaire ne m'a pas dit de faire ça met je me dis que ça ne doit surement pas lui faire du tord .. |
Par Cha08 : le 06/02/15 à 10:27:01
DéconnectéDire merci | C'est un jeune cheval qui fait du dressage et qui adore l'obstacle, quand j'ai demandé a la vétérinaire sur ça aurait un impact dans le travail futur elle m'a dit que non car ce n'est pas sur un articulation de plus elle m'a dit que c'était à 80% positif, mais bon malgré tout je m?inquiète car son jarret ne dégonfle pas.. je l'ai d'ailleurs prévenue et elle m'a dit qu'elle trouvait bizarre qu'il ait la capacité de faire l'andouille quand je le sors et l'incapacité de donner son pied au maréchal .. je le soupçonne quand même de faire un peu de comédie .. :/ |
Par casimir : le 06/02/15 à 10:35:54
| Dire merci | un animal ne fait pas la comédie mais je pense que c'est une question de motivation quand tu le sors 'envie de bouger est plus forte que la douleur pour le maréchal la douleur est plus forte que l'envie de donner le pieds tu pourrais peut être mettre un peut d'AI pour que le maréchal puisse travailler a voir avec le véto mais après fait pas le sortir de suite |
Par Loustix : le 06/02/15 à 10:52:44
| Dire merci | "un animal ne fait pas la comédie" ---> Si c'est possible ! |
Par Loustix : le 06/02/15 à 10:54:31
| Dire merci | Après perso pour le mien je lui ai donné ça pour sa quadruple fracture et son opération de son OCD, pendant sa convalescence... ![]() Ça aide beaucoup j'ai trouvé... ![]() |
Par Cha08 : le 06/02/15 à 11:58:11
DéconnectéDire merci | Twydil c'est ce que je lui donne aussi comme complément, la vété revient vendredi prochain et on verra à ce moment là ce qu'on fera il ne fait peut-etre pas la comédie mais je sais qu'il est douillet donc voilà ![]() |
Par El Bimbo : le 06/02/15 à 12:31:49
| Dire merci | la consoude est excellente pour consolider les os ![]() Message édité le 06/02/15 à 12:31 |
Par nanette41 : le 06/02/15 à 12:23:03
| Dire merci | la consoude est un excellente pour consolider les os +1 el bimbo En cataplasme, et si tu es dans une région où on en trouve facilement dans les talus, ça ne coûte rien qu'un peu de temps et d'huile de coude pour récupérer les racines. |
Par Cha08 : le 06/02/15 à 12:46:19
DéconnectéDire merci | Merci pour vos conseille j'essayerai pendant les vacances ![]() |
Par Cha08 : le 11/02/15 à 16:54:09
DéconnectéDire merci | Voici deux photo du jarret de Pedro, qu'en pensez-vous du gonflement ? Vous trouvez son jarret fort gonflé tout en sachant qu'il est fissuré.. ? ![]() ![]() |
Par Loustix : le 12/02/15 à 12:42:51
| Dire merci | Je ne connaissais pas la consoude tient ! |
Par nanette41 : le 12/02/15 à 12:48:25
| Dire merci | Un ami a utilisé des cataplasmes de consoude sur lui (fracture du tibia ou du péroné, j'ai oublié). Pour l'appliquer, il avait refusé le plâtre. Deux semaines plus tard, radio de contrôle. Le médecin ne comprenait pas l'évolution aussi rapide. Le copain n'a pas osé dire son truc de grand-mère .Et ça fonctionne aussi très bien sur les entorses (du moment que la déchirure n'est pas complète, évidemment). |
Par equifeel : le 12/02/15 à 13:07:27
| Dire merci | Oui, la consoude fonctionne bien, elle doit d'ailleurs son nom à ses propriétés ! dans le produit à base de plantes que je donnais à ma jument,il y en avait dedans ! cha08 non, je ne le trouve pas si enflé que ca. Mais même s'il l'était, ca ne serait pas si grave, l?inflammation n'est pas toujours un mauvais signe, à la base, ca protège l'articulation. Et elle n'est pas proportionnelle à la graviter de la fracture. |
Par Loustix : le 12/02/15 à 14:03:34
| Dire merci | Ca se trouve où ce produit ? |
Par Cha08 : le 12/02/15 à 17:12:31
DéconnectéDire merci | Merci pour vos réponses la vétérinaire vient demain faire les radios de contrôle je vous tiendrai au courant ! Et j'irai chercher en pharmacie de la consoude, encore merci pour vos conseille ! |
Par Cha08 : le 12/02/15 à 17:16:28
DéconnectéDire merci | Ce qui m'embête un peu c'est qu'il y a deux semaines le maréchal ferrant n'a pas su faire ses postérieurs car il avait toujours mal ... :/ |
Par quercy : le 13/02/15 à 07:57:24
| Dire merci | Pour donner son postérieur, ce n'est pas le même mouvement que la marche... C'est peut être pour çà qu'il ne veut pas lui donner... Après, est-ce que toi, tu lui fait les pieds régulièrement ? Il est peut être encore raide selon les mouvements, à cause du gonflement ? Il a peut être peur d'avoir mal ( difficile à faire partir les mauvais souvenirs... )?Ou encore des douleurs en s'appuyant dessus? |
Par quercy : le 13/02/15 à 07:58:14
| Dire merci | Allez, plein de zondes pour les radios de contrôle ! |
Par cyberds : le 13/02/15 à 09:38:21
| Dire merci | ce sont les allantoïnes de la consoude qui ont cet effet réparateur ![]() attention toutefois, la phytothérapie ce n'est jamais anodin, à dose prolongée il y a un danger puisqu'il y a un effet hépato-toxique ![]() |
Par Cha08 : le 13/02/15 à 10:00:25
DéconnectéDire merci | Je lui fais ses pieds tout les jours, mais je pense qu'il a encore un hématome devant c'est peut-etre pour ça que la maréchal ferrant n'a pas pu faire son postérieur.. Puis vu qu'il est toujours gonflé le fait de prendre son pied et de la mettre dans une certaine position provoque peut-etre un écrasement là ou est positionnée la fissure merci pour vos réponses et vos encouragement ! bonne journée à vous tous ! |
Par equifeel : le 13/02/15 à 12:23:00
| Dire merci | pareil, des zondes pour aujourd'hui ! |
Par Cha08 : le 13/02/15 à 12:29:57
DéconnectéDire merci | Merci |
Par cyberds : le 13/02/15 à 13:35:51
| Dire merci | FISSURE / FRACTURE : c'est la même chose ! on parle de fracture même si on ne voit qu'un trait de fêlure ou fissure, dans tous les cas il y a douleur, ce n'est pas parce qu'il n'y a pas de déplacement qu'il n'y a pas fracture ! Tant que ce n'est pas consolidé, il faut éviter de bouger, il est bien normal qu'il ait mal !! Chez l'homme il faut 12 semaines pour consolider une facture du fémur, alors tu penses bien qu'au bout d'un mois il est normal que le cheval manifeste une gêne !! |
Par Cha08 : le 13/02/15 à 17:18:25
DéconnectéDire merci | Voilà le verdict des radios de contrôle : plus aucun signe de la fissure !Ma vétérinaire est aussi ostéopathe donc je lui ai demandé de la manipuler, en prenant sont postérieur blessé Pedro a monter qu'il avait encore un gène donc mardi on lui fait une infiltration, entre temps il peut quand même aller dans une petite partie de prairie , pour ce qui est du gonflement ce n'est pas très grave, en tout cas ça ne l'inquiète pas . Donc voilà c'est plutôt une bonne nouvelle qu'on ne voit plus la fissure sur les radios pour ce qui est du reste j'espère que dans un mois tout ça sera derrière nous ![]() |
Par Cha08 : le 13/02/15 à 17:20:25
DéconnectéDire merci | Elle me dit aussi que pour la gène c'est plus psychologique que vraiment mal, il faut qu'il se réhabitue à marcher et qu'il reprenne confiance ![]() |
Par Cha08 : le 13/02/15 à 17:29:15
DéconnectéDire merci | cyberds merci pour ton message mais pas besoin de t?énerver , je me pose des questions et c'est normal je pense . |
Par cyberds : le 13/02/15 à 17:47:22
| Dire merci | ah non promis je ne suis pas énervée je rappelais pour tout le monde ce qu'était une fissure en fait et pas que pour toi avec un mari qui voit des fractures toute la journée, je ne fais que répéter ce qu'il me dit à chaque fois que je lui demande combien de temps il faut pour guérir |
Par cyberds : le 13/02/15 à 17:56:02
| Dire merci | Pedro a monter qu'il avait encore un gène donc mardi on lui fait une infiltration Parfois, la douleur empêche qu'ils fassent des bêtises et se refassent mal, c'est encore tôt pour faire une infiltration, non ?? ça fait combien de temps qu'il a eu cette fissure ? 1 mois ? |
Par Cha08 : le 13/02/15 à 18:20:38
DéconnectéDire merci | Il y a un mois |
Par equifeel : le 13/02/15 à 20:31:15
| Dire merci | bon, c'est super si les radios sont bonnes ! par contre, moi non plus je ne ferais pas une infiltration maintenant, je trouve ça tôt, et c'est peut être pas plus mal qu'il conserve un poil de douleur. |
Par Cha08 : le 13/02/15 à 22:32:00
DéconnectéDire merci | Ma vétérinaire non plus ne voulais pas la faire, mais quand elle a vu sa réaction quand elle a voulu le manipuler elle m'a dit que ça serait bon pour lui d'en faire une :/ donc je suis ses conseils car c'est elle le médecin et pas moi |
Par equifeel : le 14/02/15 à 08:07:28
| Dire merci | Oui, c'est elle le véto et c'est ton cheval, c'est vous qui le connaissez le mieux. |
Page : 1 | 2
Pour préserver la qualité de ce forum, vous devez être membre pour participer à cette discussion..
Il y a actuellement (69 357) membres dans la communauté.
Devenez membre | Connectez vous

Déconnecté
Merci d'avance et bonne soirée à vous tous !













.
)?









