Besoin d'avis suite à des radios du genou
Sujet commencé par : Akhal9 - Il y a 6 réponses à ce sujet, dernière réponse par Akhal9Par Akhal9 : le 18/12/14 à 21:19:36
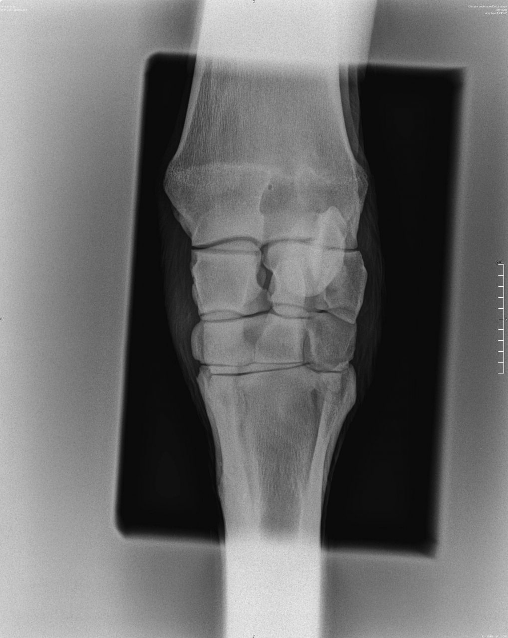
| Dire merci | Bonsoir, Pour poser un peu le problème, ma jument a depuis un bon mois un soucis au genou, surement dû à un coup. Au début c'était engorgé puis ça a vite dégonflé avec application d'argile. Petite boiterie mais rien de bien méchant. Le veto l'avait vu et conseillé d'appliquer de l'ekyflogil. Par la suite j'ai fais des emplâtres d'argile, plutôt efficace. Toujours un mini mini boiterie. On a été à la mer marcher dans l'eau etc... Sur le genou il y a une bosse dure, non mobile, non douloureuse (je peux tripoter la bosse, lui plier le membre sans soucis). Bref, voyant que la masse est toujours là je décide de faire des radios/echo redoutant le suros. Je l'envoie en clinique, le veto touche et me dit d’emblée que c'est surement un suros... il fait les clichés, un de face et un de profil. Je vais avec lui voir les résultats, bon non finalement ce n'est pas un suros. On fait ensuite une echo où on ne voit pas grand chose. Pas simple de dire ce que c'est exactement, le veto évoque un nodule fibreux indépendant du tendon extenseur. Alors le protocole qu'il m'indique de suivre est, ekyflogyl pendant encore une semaine 2x par jour. Si le nodule évolue et/ou est toujours gênant il faudra pratiquer une ablation. Je sais qu'il y a des vetos sur le forum, au vu des radios j'aimerais avoir des avis, sur cette chose j'attend pas de miracles, juste si quelqu'un peut m'en dire plus... vaut mieux opérer direct ? merci d'avance. celle de profil avec la masse entourée en rouge ![]() et celle de face, ou on ne voit pas grand chose ![]() |
Messages 1 à 6, Page : 1
Par soanne : le 19/12/14 à 17:45:17
DéconnectéDire merci | C'est super léger sur la radio. Je remonte ton post pour qu'il soit vu. |
Par Nel.geneve : le 19/12/14 à 18:17:48
| Dire merci | Bah si ça gêne faut enlever, sinon ça peut rester. C'est un peu con à dire mais si faut enlever c'est pas un souci vu que c'est indépendant du tendon. Si ça dérange pas dans la locomotion, c'est juste esthetique.Après je suis plutôt de l'avis de ton véto, 4 semaines c'est encore un peu short pour décider si ça va la gêner dans le futur ou pas. Ça peut encore être de l'inflammation suite au traumatisme (tu dis que c'est sûrement un coup) qui va se calmer par la suite si on lui en donne le temps. Et c'est vrai qu'opérer trop tôt ne va pas accélerer la guérison si la guérison doit se faire par la disparition de l'inflamation. Opérer ne va pas réduire l'inflamation, au contraire. Je me fais comprendre? J'ai l'impression de pas être claire là ![]() |
Par Akhal9 : le 19/12/14 à 19:33:52
| Dire merci | je comprend pas de soucis. Merci pour ton avis, on va etre patient |
Par quercy : le 20/12/14 à 11:50:20
| Dire merci | Est-ce-que ce ne serrai pas un hématome interne qui aurai du mal à se résorber ou qui a coaguler ? Quand mon loulou a eue sa rotule déplacée suite à un coups son hématome est rester largement plus d'un mois... Il à boiter pendant 2 bons mois et à partir de là, sa boiterie diminuait progressivement... Pour l'aider, je lui avais mis de l'huile essentielle d'immortelle mélangée à de l'huile de cuisine, çà avait bien fait... Mais attention, les huiles essentielles, c'est comme un médicament, çà ne s'utilise pas à la légère... Ou, est-ce-que çà ne pourrais pas être une cicatrisation interne qui accroche les tissus sans lésions ? ( je ne sais pas comment çà s'appelle...) Si çà ne touche pas de tendons ou l'os, vue que c'est récent, j'attendrai encore un peut, après, c'est sûre que si ton véto te dis il faut opérer de suite car si tu attends il y aura des séquelles... Après, je ne suis pas véto, c'est juste mon avis... |
Par lapatateuh : le 20/12/14 à 11:59:50
| Dire merci | +10000 Nel.geneve. ne travaille pas le cheval tant qu'il présente une irrégularité mais des qu'elle s'arrête ne reprend pas dessuite. Laisse encore un moment pour que le cheval récupère. Par contre; si tu as la mer à côté; que le sable n'est pas trop profond pour y aller ; use et abuse de lui mettre les membres dans la mer; face aux vagues. |
Par Akhal9 : le 21/12/14 à 00:13:07
| Dire merci | Je vous remercie pour ces réponses. On va prendre nôtre temps, de toute manière le moral ni est plus et pas que par rapport à ça, alors je prendrais le temps qu'il faut et ne brûlerait pas les étapes. Je vais essayer de l'emmener à la mer le plus possible. Je vais en rester là pour ce post, j'ai vu ce qu'il se passe sur un autre au sujet de radios, je n'ai pas envie que ça parte en polémique. Merci à ceux qui ont répondus |
Page : 1
Pour préserver la qualité de ce forum, vous devez être membre pour participer à cette discussion..
Il y a actuellement (69 357) membres dans la communauté.
Devenez membre | Connectez vous


Déconnecté



mais si faut enlever c'est pas un souci vu que c'est indépendant du tendon. Si ça dérange pas dans la locomotion, c'est juste esthetique.










