Arthrose à 2ans
Sujet commencé par : conny - Il y a 26 réponses à ce sujet, dernière réponse par connyPar conny : le 18/12/13 à 21:47:15
| Dire merci | bonjour j'ai besoin de vos lumières pour une amie. elle a acheté un poulain pour tenir compagnie ;a son autre cheval. le poulain s'est mis à boiter. elle a appelé le véto qui lui a dit que ce n'était rien, qu'il fallait le mettre au repos en box. mais même en box, le poulain continue à boiter. ils sont partis à la frontiere hollandaise voir un super veto qui leur a dit c'est de l'arthrose de l'epaule et qu'il fallait l'euthanasier! ![]() ou l'operer apparemment il se serait cogner l'epaule elle ne sait plus quoi faire! elle ne pensait pas à ça. Est-ce possible que le poulain ait de l'arthrose si jeune? Est-ce operable? le veto a gardé les radios en plus... faudrait-il refaire des radios avec un autre veto? quelle clinique dans le 02 et alentours? si oui, combien coute environ les soins? que peut-elle faire avec? ballade? ou rien du tout? |
Messages 1 à 26, Page : 1
Par conny : le 18/12/13 à 21:48:53
| Dire merci | une precision, le poulain boite plus lorsqu'il est en pature plutôt qu'au box |
Par Canaille : le 18/12/13 à 21:51:18
| Dire merci | j'ai connu un poulain comme ça, un grand SF acheté sur une foire, il avait 2ans quand il a commencé a boiter, et apres radio : arthrose de l'epaule stade deja avancé. rien a faire selon le veto, cheval immontable car risque de trebucher, et visiblement la situation n'allait pas s'ameliorer, avec un cheval boiteux même au champ et une eutha a court terme... je ne sais pas ce qu'il est devenu... |
Par Erzebeth : le 18/12/13 à 21:52:07
| Dire merci | Je crois que Thalis a eu un cas comme ça... |
Par Tessa : le 18/12/13 à 21:54:00
| Dire merci | Déjà, il faut réclamer les radios: elles ont été payées, ton amie est "propriétaire" du dossier médical. Et les soumettre à un autre véto. |
Par al : le 18/12/13 à 21:54:18
| Dire merci | t'es loin de lille? j'y connais une véto d'enfer, si besoin ![]() (et faut réclamer les radios, vous avez payé pour, donc vous y avez droit!) |
Par conny : le 18/12/13 à 21:56:27
| Dire merci | merci d'avoir repondu si vite bon je suis avec elle sur FB, je vais lui conseiller de reclamer les radios al: peux-tu m'envoyer les coocrdonnées de ton super veto, je les donner ;a mon amie precision encore: le probleme se situerait au niveau de l'hemerus et du radius. apparemment au lieu que l'articulation soit arrondie, elle fait un bec |
Par conny : le 18/12/13 à 22:07:28
| Dire merci | al: je vais avoir le nom du veto, peut-être que tu le connais ou ton ami le connait et que suivant le nom tu confirmeras si c'est un bon ou pas ![]() ps: mon amie cherche le nom mais des que je l'ai je te mptise Message édité le 18/12/13 à 22:11 |
Par El Bimbo : le 18/12/13 à 22:08:18
| Dire merci | heu non pas d'acc pour les radios. En France le client est propriétaire des radios faite alors que par ex en allemagne ce n'est pas le cas : tu payes pour avoir un exemplaire ou ils te les envoient mais il faut les renvoyer ensuite ( à tes frais of course !!) |
Par conny : le 18/12/13 à 22:09:35
| Dire merci | elle reclame les radios demain donc on verra bien |
Par nuf : le 18/12/13 à 22:49:54
| Dire merci | 02 où ? sinon quand j'étais ds le 02 je prenais une veto du 80 à ham al je veux bien ou cas ou le nom du super veto pres de lille |
Par beeboylee : le 18/12/13 à 23:00:43
| Dire merci | Celui de Thalis a eu , je crois, une fracture d l epaule tt poulain. il n'est pas montable et je ne suis pas sure que l évolution soit top ( il est tout jeune, ds les 4, 5 ans) |
Par veronik : le 19/12/13 à 06:35:39
| Dire merci | En Allemagne, tu recois les radios de ton cheval. Certains vétos les donnent sur CD. Gratuit, du moins rien à payer en +. |
Par dejavu : le 19/12/13 à 08:56:22
DéconnectéDire merci | Aux Pays-Bas aussi, on te donne les radios sur CD, il suffit de demander. |
Par rando61 : le 19/12/13 à 09:22:51
| Dire merci | pas tout à fait pareil, mais il y a 7ans un de nos poulains s'est mit à boité à 5mois (donc pas sevré), véto nous à envoyé au cirale : bilan ostéochondrose des 2 épaules avancés (bien sur ils ont mitraillés le poulain de cliché : cas d'école). bah! on l'a gardé jusqu'a 3ans (fait castré) et placé comme nounou dans un élevage! il vit sa petite vie et hormis le fait qu'il boite, il se porte comme un charme (et à grandi casi normalement). je ne savais pas qu'on proposé l'eutha sur des jeunes pour de l'arthrose ![]() |
Par MissMoody : le 19/12/13 à 10:48:25
| Dire merci | je ne savais pas qu'on proposé l'eutha sur des jeunes pour de l'arthrose ![]() Comme Rando, un peu étonnée de l'avis du véto, j'ai deux chevaux arthrosiques qui vivent très bien leur vie au pré avec un minimum de soin. Si le poulain est économisé, bien complémenté, je trouve l'euthanasie un peu prématurée (à moins de douleur constante avérée etc.). D'autres avis vétos seraient les bienvenus je pense. |
Par Canaille : le 19/12/13 à 10:58:22
| Dire merci | rando... le poulain que je cite plus haut, il a été diagnostiqué au Cirale et c'est Denoix lui même qui a clairement dit qu'il finirait euthanasié à court terme... donc il doit y avoir différents degrés d'atteinte je suppose |
Par nats : le 19/12/13 à 15:17:55
| Dire merci | Est-ce possible que le poulain ait de l'arthrose si jeune? Est-ce operable? le veto a gardé les radios en plus... C'est possible: Beauty a de l'arthrose depuis ses 5 ans et Chinook, sa demi soeur en a depuis sa naissance, le véto m'avait proposé l'euthanasie directement parce qu'en plus elle était hyperlax Pour la première ça évolue par crises, donc lentement, à 15 ans elle est montable presque tout le temps. Actuellement, il y a 2 articulations de touchées (au début qu'une) La 2 ème n'est pas débourrée et à 7 ans, elle ne trotte et ne galope pratiquement plus librement, elle a de l'arthrose partout Si l'arthrose est due à un accident c'est peut être opérable, j'ai des doutes mais peut être. En revanche si c'est génétique ça évoluera et pas dans le bon sens, d'abord une articulation et une autre, et encore une autre, donc plus ça commence tôt... Voir sur une radio de l'arthrose est une chose, en déterminer la cause, une autre |
Par conny : le 19/12/13 à 21:21:46
| Dire merci | coucou me revoilà... merci pour vos avis! moi, ça me permet d'en apprendre plus et à ma copine de mieux se situer... j'attends toujours le nom du veto et d'ici demain, je lui demanderai si elle a pu avoir ses radios et si elle a pu appelé la clinique de lille... je trouve ça rageant d'avoir un poulain arthrosique mais au pire, elle le donnera (à ce moment là je ferais une annonce dans adoption )combien couteraient les soins pour soulager la douleur du à la maladie? Message édité le 19/12/13 à 21:25 |
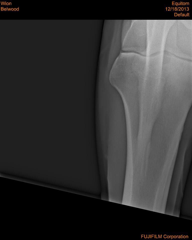
Par conny : le 31/12/13 à 14:11:27
| Dire merci | bon me revoilà avec les radios dites-moi ce que vous en pensez... |
Par quercy : le 31/12/13 à 14:44:18
| Dire merci | Je n'y connais pas grand chose, mais il n'y a pas une fracture là où se loge "la boule" de l'articulation ( vers le milieux ) ? Je trouve que c'est bizare à cet endroit... Message édité le 31/12/13 à 14:48 |
Par nats : le 31/12/13 à 17:18:10
| Dire merci | Pour le commun des mortels (dont je fais partie) difficile de lire une radio Mais qu'a dit le véto? il a forcement commentés les radios... |
Par conny : le 31/12/13 à 17:26:58
| Dire merci | Quercy: je vois ce que tu veux dire mais je suis comme toi, j'y connais rien... nats: comme déjà ecrit, le 1er veto a dit que le cheval n'avait "rien" et le 2eme qu'il fallait l'euthanasier... ici je sais que Al est veto et je pense qu'il doit y en avoir d'autres...donc je prefere voir avec les personnes de confiance, car mon amie ne veut pas euthanasier son cheval et si possible, le donner en tant que tondeuse à gazon... |
Par Colomba : le 01/01/14 à 11:33:51
DéconnectéDire merci | AL doit pouvoir te donner les coordonnées d'un bon véto a qui envoyer les radios, et qui te donnera un vrai avis. Elle l'a déjà fait pour un cheval avec fracture. |
Par conny : le 01/01/14 à 12:48:57
| Dire merci | colomba: oui oui Al m'a déjà donné nom et telephone ![]() |
Par nats : le 01/01/14 à 17:33:43
| Dire merci | comme déjà ecrit, le 1er veto a dit que le cheval n'avait "rien" et le 2eme qu'il fallait l'euthanasier... Sur les mêmes radio, ces 2 diagnostiques si différents? Et le deuxième véto a forcement commenté les radios avant de proposer l'euthanasie Chez ma jument de 5 ans, le premier véto m'avait aussi dit qu'il n'y avait rien de visible sur les radio malgré le fait qu'elle était positive au test de flexion et lors des radios prises en clinique, il était à (peine) visible qu'il y avait UN bec de perroquet. ça ressemblait un peu à la petite pointe floue à gauche qu'on voit sur ta 2 ème radio, mais bon entre un truc flou anormal et au autre normal... |
Par conny : le 02/01/14 à 14:53:19
| Dire merci | le 1er n'a pas fait de radios c'est le 2eme, en voyant les radios il voulait l'euthanasier sur place car arthrosique ou sinon fallait l'operer souvent |
Page : 1
Pour préserver la qualité de ce forum, vous devez être membre pour participer à cette discussion..
Il y a actuellement (69 438) membres dans la communauté.
Devenez membre | Connectez vous


Déconnecté











donc il doit y avoir différents degrés d'atteinte je suppose













