Fracture du processus palmaire
Sujet commencé par : quercy - Il y a 10 réponses à ce sujet, dernière réponse par quercy1 personne suit ce sujet
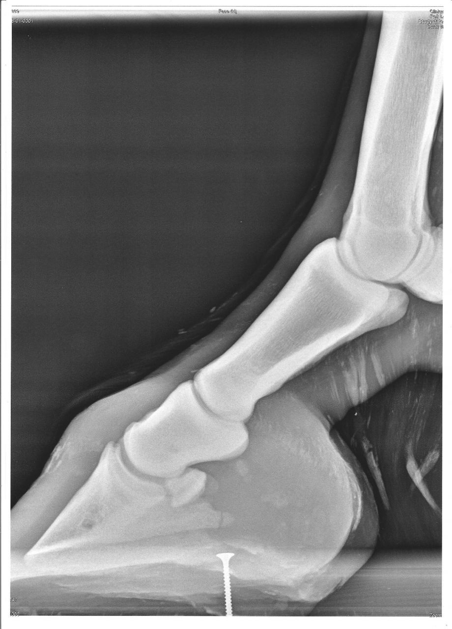
Par quercy : le 29/06/12 à 09:14:32
| Dire merci | Tout est dis dans le titre... Fracture du processus palmaire sur un Fijord de 9 ans, non ferré... Mais sa boiterie ne viendai pas de là, il ne réagit pas au test avec la pince... ( boiterie, sans doute, antérieure à la fracture d'après mon véto ) En attendant que mon véto me donne les consignes à suivre, je vais le mettre en box et s'il ne supporte pas, je le mettrai en petit parc... Je pence aussi faire venir le maréchal ferrant ( ferrure ? ) Je pence que c'est le mieux à faire en attendant... Je ne vais pas faire une bêtise ? Merci d'avance pour vos avis Voici les radios : ( c'est juste au dessu du vice ) ![]() ![]() |
Messages 1 à 10, Page : 1
Par tyoc : le 29/06/12 à 09:16:08
| Dire merci | C'est quoi cette vis ![]() |
Par quercy : le 29/06/12 à 09:20:34
| Dire merci | Elle n'est pas dans le sabot... C'est une visse qui est sur le support du sabot pour faire la radio... c'est bizare comme çà, mais çà ne dépasse pas... |
Par tyoc : le 29/06/12 à 09:36:30
| Dire merci | c'est bizare Je confirme, c'est bizarre. |
Par picaflor : le 30/06/12 à 06:53:41
| Dire merci | non tyoc c'est normal on pose le pied sur des cales en bois pour faire certaines radios ![]() |
Par picaflor : le 30/06/12 à 07:02:56
| Dire merci | donc la boiterie n'a rien n'à voir avec cette fracture, et elle a été découverte "par hasard"? ça c'est space; et tu sais depuis quand elle serait là cette surprise? en cas de traitement de cette fracture, fais suivre les infos stp; perso, la dernière que j'ai eu en mains, on a mis un fer-boîte; mais c'était il y a plusieurs années |
Par quercy : le 30/06/12 à 08:07:58
| Dire merci | picaflor pas de date précise, mais c'est récent ( os pas dutout soudé ) Un fer-boîte, c'est quoi ? Le cheval a eue des séquelles ? Mon véto ne m'a pas préconiser de faire quoi que ce soit... Il m'a juste donné du symphytum 7 ch ( pour favoriser la consolidation des fractures ) pendant 3 semaines. Je pence faire venir le maréchal ferrant pour le faire ferré ( pour protéger ) mais est-ce-que c'est vraiement utile ??? je vais le mettre dans un parc tondu et réduit... En box je pence que ce serrait pas trop bon, il vat trop grossir et je ne veux pas rajouter du poid... |
Par al : le 30/06/12 à 09:49:29
| Dire merci | t'as pas des obliques??? ![]() pour diagnostiquer une fracture de P3, il faut parfois faire beaucoup de radios, parce que si on n'est pas pile poil dans l'angle, on peut la louper. en l'occurrence, 2 obliques en skyline sont un grand minimum pour diagnostiquer une fracture de processus palmaire... meme si on la voit pas mal sur la radio de profil (et ça ne réagit pas forcément à la pince ) |
Par quercy : le 30/06/12 à 11:15:29
| Dire merci | al non, j'ai que çà... une fracture de P3, P3 c'est le processus palmaire ? C'est comment 2 obliques en skyline ? |
Par picaflor : le 30/06/12 à 11:35:42
| Dire merci | P3 c'est la 3ème phalange, soit l'os qui est dans le pied ![]() pour le reste, je laisserai AL répondre ![]() le fer boîte, est un fer qui limite au max les mouvements du pied (boite cornée), ceci afin de moins solliciter les parties abimées lors de leur cicatrisation |
Par quercy : le 30/06/12 à 14:12:23
| Dire merci | C'est un fer qui fait tous le tour du sabot ( même là ou il y a la fourchette ) C'est çà ? |
Page : 1
Pour préserver la qualité de ce forum, vous devez être membre pour participer à cette discussion..
Il y a actuellement (69 358) membres dans la communauté.
Devenez membre | Connectez vous


Déconnecté














