Tendinite ???
Sujet commencé par : Justine25660 - Il y a 139 réponses à ce sujet, dernière réponse par Justine25660Par Justine25660 : le 18/06/12 à 13:28:31
| Dire merci | Bonjour Voila depuis quelques semaines mon cheval boitillait; et il mettait toujours au repos l'antérieur gauche (il ne s'appuyait pas dessus) j 'ai fait appel à un osthéo qui lui à trouver un tendon coincé. Donc une semaine de repos au box avec argile. La semaine suivant il ne boitait presque plus, mais ne s'appuyait tjr pas sur son antérieur gauche. Et quand je dis qu'il ne boitait presque plus ce n'est qu'au pas et sur très courte distance pour ne pas forcer le tendon... Le veto est venu et pense à une tendinite, mais il n'est ni chaud ni gonflé... On lui met de l'ékiflogile mais j'ai l'impression que ça ne fait guère d'effet. quand je l'enmene brouter il ne s'appuie tjr pas au repos sur son antérieur gauche ![]() Pensez vous aussi que ça peut être une tendinite ou bien autre chose ? |
Par Justine25660 : le 12/07/12 à 08:55:08
| Dire merci | Bon ça fait un petit moment que le rdv est pris. Je vais ce lundi à la clinique à Neyron voir un spécialiste de la locomotion. Il me tarde... Mais une question me trotte. Faut il que je déferre le cheval ou ont ils le nécessaire pour le faire (je suppose que oui mais sait on jamais) ? |
Par farouck : le 12/07/12 à 09:16:43
| Dire merci | c'est mieux qu'il soit déférré, pour les radios c'est indispensable..On ne t'a rien précisé quand tu as pris rdv?. |
Par loviatar : le 12/07/12 à 09:39:42
| Dire merci | sinon le veto le ferra s'il y a besoin. Pour les radios du membre pas besoin de deferrer, ni pour l'echo. Par contre s'il cherche dans le pied oui. De toute façon, la 1ere chose qu'il va te prescrire est surement un changement de ferrure. |
Par laureBrrrrr : le 12/07/12 à 09:53:23
| Dire merci | ton cheval n'ai plus droit niveau locomoteur ? bon c'est bien se rendez vous en clinique ! |
Par Justine25660 : le 12/07/12 à 11:04:55
| Dire merci | Non il a toujours une boiterie légère. Bon je pense le laisser ferrer, je pense qu'ils savent déferrer un cheval si besoin est. |
Par Justine25660 : le 12/07/12 à 11:10:27
| Dire merci | Et surtout je serai sur de ce qu'il a et de ce qu'il faut faire... |
Par chocolat23 : le 12/07/12 à 11:15:40
DéconnectéDire merci | le mien ne boitait pas franchement mais n'était pas comme d'habitude bien m'en a pris d'aller en clinique, car on me disait que c'était ostéopathique....et bien il s'était fêlé le canon! |
Par Justine25660 : le 12/07/12 à 11:20:09
| Dire merci | Voila,ça fait un moment que je tourne en rond, il y a un seul véto qui a été franc et m'a conseillé de l'emmener en clinique. Ca sert à rien d'attendre... Alors tamis pour mon portefeuille qui je pense va prendre un sacré coup mais je saurai et j'éviterai les conneries. |
Par Justine25660 : le 12/07/12 à 17:57:45
| Dire merci | ben la je reviens de le faire marcher en longe un petit coup, je l'ai fait trotter dans la carrière avec le moniteur pour voir l'évolution ainsi que sur du dur. Apparement dans la carrière ça va mais sur le dur il ne boite pas vraiment mais il est irrégulier. |
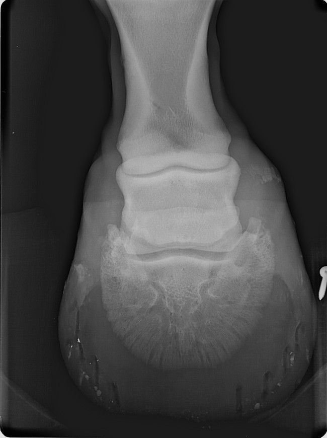
Par Justine25660 : le 13/07/12 à 15:49:51
| Dire merci | ![]() voici les radios du pied droit Si quelqu'un si connait et y verrait une anomalie. Le véto m'a dit que tout était ok. |
Par loviatar : le 13/07/12 à 16:50:14
| Dire merci | tu n'a pas fait d'echo?? et les test ça a donné quoi?? |
Par Justine25660 : le 14/07/12 à 09:33:24
| Dire merci | non mais les échos et test plus poussé c'est lundi la c'était au début de boiterie quand c'était le membre droit. |
Par loviatar : le 14/07/12 à 10:54:21
| Dire merci | ah ok pardon |
Par Justine25660 : le 16/07/12 à 19:37:46
| Dire merci | Je reviens de la clinique alors pas de tendinite du tendon comme on le pensais. Mais mon cheval à un défaut, une fragilité sur les antérieur au dessus de l'os naviculaire. (os spongieux) Et A CAUSE du PARAGE NATUREL (abaissement des talons) ça a provoqué un frottement avec le tendon, qui a provoqué une tendinite dans le pied... Donc 6 mois de box avec pendant 1 mois sortie de 10 min au pas, et ferrure spéciale. |
Par laureBrrrrr : le 17/07/12 à 09:57:45
| Dire merci | Je suis étonnée, vous aviez fait des radios ? pas vu a la lecture. et on est loin de la boiterie d'épaule "on", pour finir le premier véto avait annoncé le mot tendinite ça en était pas si loin (presque), même si le soucis de base ne vient pas de la. Il ont fait quoi comme teste tu as bien fait d'aller en clinique ![]() |
Par tata : le 17/07/12 à 10:01:34
| Dire merci | Ah ben je vois que mon maréchal n'est pas un idiot..! On bassine tellement sur les forums les bienfaits du parage naturel, comme quoi un chevak doit avoir les talons super bas.. Il m'avait dit que si il faisait ca (à mon cheval ayant les talons tjr assez hauts) j'allais lui bousiller les tendons.. Bon rétablissement à ta jument! |
Par laureBrrrrr : le 17/07/12 à 10:04:20
| Dire merci | certains MF, sauf cas particulier, préfére ne pas trop travailler sur le talon, naturellement tout les chevaux n'ayant pas la même forme de pied aprés laisser un cheval ou laisser un cheval évoluer vers des talons haut si c'est pas sa conformation de base c'est pas bon non plus. |
Par Justine25660 : le 17/07/12 à 17:59:13
| Dire merci | de toute façon parage naturel ou non j'aurais eu ce soucis, peut être un an plus tard voir plus... Ca a juste accélérer le problème. Il a en plus une ostéite. Sinon le véto a fait exactement ce que mon véto a fait... Sauf qu'il a un oeil d'expert et pas de généraliste. Pour la "tendinite", (le tendon frottait un os qui pour finir l' abrasait ) qui est du au talon bas. Don on a fait 4 radios du pieds. On lui donne un anti inflammatoire pendant une semaine. Il a des fers à l'envers aux antérieurs. Et 6 mois de box avec sorti de 10 min par jour pendant un mois puis on rallonge de 5 min chaque semaine... Je retourne à la clinique fin septembre début octobre. |
Par Justine25660 : le 23/07/12 à 11:10:34
| Dire merci | ![]() ![]() c'est le pied gauche ![]() le pied droit |
Page : 1 | 2 | 3 | 4
Pour préserver la qualité de ce forum, vous devez être membre pour participer à cette discussion..
Il y a actuellement (69 206) membres dans la communauté.
Devenez membre | Connectez vous


Déconnecté



















