Journal d'une ponette gravement fourbue
Sujet commencé par : quizzy - Il y a 398 réponses à ce sujet, dernière réponse par marinaagen6 personnes suivent ce sujet.
Par quizzy : le 02/11/11 à 12:59:28
| Dire merci | bonjour je vous présente Quizzy, ponette ONC de 7 ans. ![]() nous l'avons achetée il y a deux ans, débourrée, travaillée. malheureusement, Quizzy est fourbue depuis 5 semaines. 1ers veto et MF, une catastrophe. l'état de quizzy s'est dégradé. j'ai fait appel à un autre veto (pas celui du club) spécialisé et un autre MF. on a fait des radios. bascule très importante de la 3ème phalange aux antérieures (beaucoup plus "légère" sur les postérieurs) ![]() aujourd'hui, quizzy est au box, au foin. c'est dur pour elle qui vivait au pré (je précise qu'il ne s'agit pas d'une fourbure due à l'obésité... elle ne l'était pas... mais plutot d'une fourbure d'effort/exces d'eau froide). pour nous, c'est dur aussi. car on veut y croire et tout faire pour elle mais on n'entend que des "mais elle est foutue, pourquoi tu t'emmerdes", "à ce degré de basculement, plus rien à faire", "tu pourras plus la monter", "t'es dingue d'engager des frais" etc... alors, comme j'ai besoin d'un peu de soutien moral, je fais ce post, pour parler des, je l'espère, progres de quizzy, que nous aimons et pour laquelle nous voulons nous battre. si, parmi vous, certains ont eu des cas de basculemements importants avec issue "positive", les témoignages seront les bienvenus... voila, merci de m'avoir lue.... |
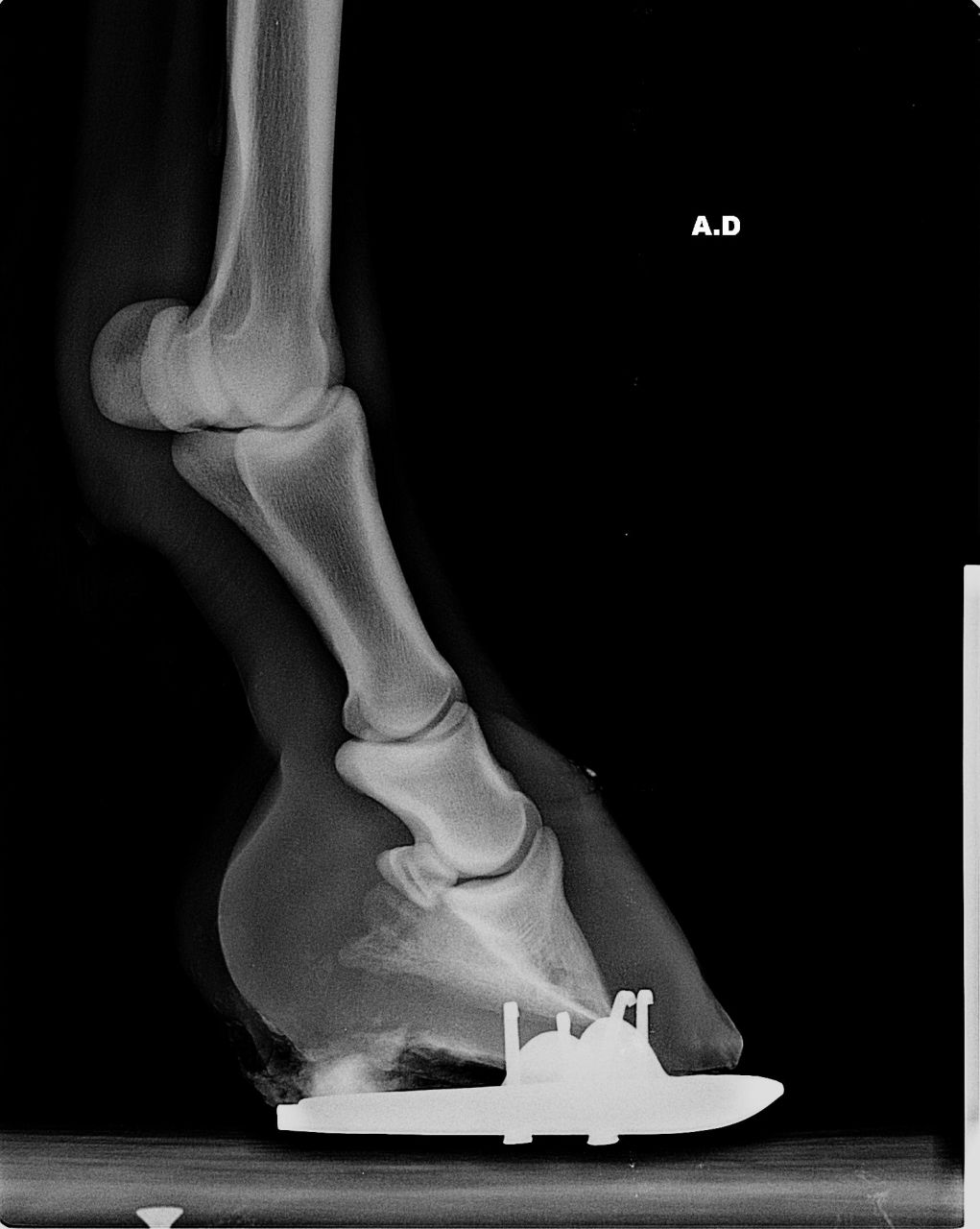
Par quizzy : le 02/11/11 à 13:03:23
| Dire merci | voilà une radio d'un antérieur....pour vous donner une idée de la bascule (me suis trompée sur le premier post, j'ai mis un postérieur)![]() |
Par JoanaetRubis : le 02/11/11 à 13:03:24
| Dire merci | C'est bien triste... COurage !! Mon poney a fait une petite fourbure il n'y a pas longtemps.. Mais pas aussi grave.. J'espere vraiment que tout va s'aranger pour vous !! EN tout cas, c'est génial de ne pas abandonné son cheval a cause d'une maladie. N'écoutes pas les autres ! Ce ne sont que des mauvaises langues !! En tout les cas je suis de tout coeur avec vous !!! |
Par kirikou : le 02/11/11 à 13:06:09
| Dire merci | impressionnant la bascule ![]() Je vous souhaite bcp de courage à toi et à ta ponette |
Par isapre01 : le 02/11/11 à 13:08:19
| Dire merci | de grosses et bon courage à toi et à Quizzy |
Par quizzy : le 02/11/11 à 13:10:39
| Dire merci | je sais que la bascule est vraiment grave. pas loin de 20 degrés. .... mais c'est notre ponette et on l'aime. alors que faire ? la condamner de suite ? ou essayer et se battre pour qu'au moins elle puisse retrouver une vie correcte, au pré... c'est vrai que quand je la vois, là, qui après 5 semaines, a vraiment du mal à marcher et se déplacer.... ça fait putain de mal et on se pose des questions... mais là, hier, un nouveau MF est venu. il est très connu dans la région pour tout ce qui est difficile et orthopédique. et j'ai l'impression qu'elle se déplace un peu mieux.... et en plus, faut veiller à son moral. et moi, je suis pas sur place, c'est difficile. je cherche et cherche la meilleure solution.... c'est pour ça que ça me fait du bien d'en parler avec vous car c'est un très très long combat, je le sais bien |
Par guigui6 : le 02/11/11 à 13:22:31
| Dire merci | comme je te comprend ma ponette est aussi fourbue, combien de bascule je ne sais pas, achetée dans cet état. ![]() 1an et demi de boiterie (différentes ferrures qui l'ont fait boiter), depuis 1an passage pieds nus aucune boiterie, je la remonte depuis 5mois en carrière dans le sable, dehors en balade avec des chaussures. Garde espoir, car moi on m'a dit "votre ponette sera hadicapé a vie et boiteuse même pas bon pour une faire tondeuse car pas droit à l'herbe" ben aujourd'hui elle va beaucoup mieux, ses souci de pieds dans quelques mois seront effacés. je doit refaire des radios en novembre car l'axe du pied a litéralement changé depuis son passage pied nus, j'espère y voir une amélioration surtout au niveau de l'épaisseur de la sole. Pour te dire quand je l'ai récupéré on voyait la phalange pointer, maintenant sa sole s'est nettement épaissie, je ne te cache pas qu'il y a eu des gros moments de doute. |
Par Mrg : le 02/11/11 à 13:22:52
| Dire merci | Ma ponette était fourbu elle aussi. Elle avait 30 ans, elle ne marchait quasi plus et la 3ème phalange avait basculé aussi. On m'avait conseillé de la laisser partir mais elle ne voulait pas, elle avait vraiment envie de vivre. Bon elle n'a pas guerit, au bout d'un moment elle souffrait trop pour qu'on la pare, du coup ses sabots ont poussés, même si esthetiquement c'était horrible, elle a trouvé son équilibre elle c'est remise à marcher sans souffrir, enfin j'imagine qu'elle avait mal mais elle a quand même choisit de s'accrocher. Elle a véçut 5/6 ans ainsi, finalement c'est son cerveau qui a laché, les véto qui m'avaient conseillé de la piqué et qui sont venu la voir quand elle était en fin de vie ont étaient extrement supris de voir comment elle ce débrouillé et de voir quel joie de vivre elle avait, si son cerveau n'aurait pas laché elle aurait encore pu vivre un sacré nonbres d'années ainsi. Le moral c'est véritablement le plus important dans ce genre de situation. Après ce qui c'est passé avec ma ponette c'était juste pour t'apporter un témoignage possitif j'espère très sincerement que tu trouvera une solution autre que la mienne, courage |
Par quizzy : le 02/11/11 à 13:47:27
| Dire merci | Mrg, désolée pour ta ponette, meme si je trouve rassurant qu'elle ait pu vivre heureuse plusieurs années. c'est quand même ce qui compte non ? guigui6, la bascule de la tienne me semble proche de celle quizzy. donc, pour moi, c'est postif.... peut on échanger sur ce que tu as tenté comme ferrure avant de la laisser nue ? parce que j'avoue que pour l'instant, j'ai du mal à opter pour cette solution (veto et MF pourtant pas "pro fers" sont pas pour)... et que la ferrure d'hier semble quand même bien la soulager... en fait, j'ai honte de le dire, mais on s'occupe encore plus de quizzy depuis qu'elle est fourbue, parce que là, personne va le faire pour nous... et du coup, le seul truc positif, c'est que j'ai l'impression qu'elle garde quand même le moral et apprécie nos visites et nous fait confiance.. enfin, là, c'est sans doute moi qui essaie de me rassurer comme je peux... |
Par indiana_dreams : le 02/11/11 à 14:03:27
| Dire merci | Ma ponette m'a fait une fourbure avec bascule il y a deux ans. La bascule était un peu moins prononcée que pour la tienne mais elle a boité pendant plus d'un an (le véto a mis du temps a savoir ce qu'elle avait aussi ). Au début, on lui a mis des fer à l'envers + plaque de silicone, sa ne la soulageait pas du tout donc elle les a garder 1 mois puis je l'ai laissé pied nu avec des parages régulier et elle se déplaçait beaucoup mieux comme sa. Maintenant, elle va beaucoup mieux, ne boite plus du tout et n'a plus de gène. Je re-commence juste à la monter de temps en temps : ballade au pas et un peu de carrière. |
Par quizzy : le 02/11/11 à 14:06:36
| Dire merci | guigui06, j'ajouterai que je t'admire de l'avoir achetée dans cet état ta ponette.... moi, je savais qu'elle avait une fourbure de "excés de bouffe au pré" dans ses premières années et donc, on a fait super attention pendant deux ans avec l'obésité. mais tu vois, c'est venu d'ailleurs.... et merci joanaetrubis et kirikou de vos gentils mots... on se sent moins seules de se battre contre les moulins à vents !!! c'est sympa à vous tous de nous mettre un mot |
Par roro : le 02/11/11 à 14:08:25
| Dire merci | vous présenterais pas les photos et radio de la mienne, c'est énorme comparé aux vôtres, donc avec le bon parage, régulièrement, le mouvement et une nourriture adaptée, rien n'est impossible, sauf que ... c'est un travail de longue haleine trouver la cause en premier puis "réparer" sur une année le pied ensuite, rééduquer et gymnastiquer correctement le cheval et enfin, éviter une fois que vous avez trouvé le premier, de remettre le cheval dans les mêmes conditions. ma fourbue a un abaissement qui a failli faire passer plusieurs fois la phallange à travers la sole, et rotation aussi sur l'antérieur gauche. pourtant, grave fourbure faite au printemps 1996, récupérée, elle m'a fait une fourbure à chaque fin d'hiver dû au sol gelé, mais en dehors des périodes de grosses crises à toujours travailler, fait sa gymnastique et dressage,voir attelage jusqu'au printemps 2009. alors courage, mais entourez-vous des bonnes personnes. rien n'est perdu. |
Par carolinev : le 02/11/11 à 14:50:35
| Dire merci | Je te souhaite plein de courage ainsi qu'à ta fifille Ma jument fait une fourbure aussi depuis vendredi je l'ai retrouvé immobile dans la pâture mais chaque jours ça va un peu mieux pour elle ![]() |
Par carolinev : le 02/11/11 à 14:51:49
| Dire merci | Tiens quelqu'un à une radio d'un pied sain pour que je vois la différence ? |
Par El Bimbo : le 02/11/11 à 14:56:36
| Dire merci | en plus de la bascule on observe un effondrement des phalanges dans le pied. ![]() Il faudrait abaisser les talons pour que le pied se pose plus à plat qu'en pince. ![]() Et puis courage les troisièmes phalanges semblent saines, non nécrosées. ![]() |
Par amroni : le 02/11/11 à 15:27:56
DéconnectéDire merci | je suis tout à fait d'accord avec "roro", rien est impossible, ma jument avait une bascule assez importante de la 3e phalange, je suis passée par des stades vraiment difficiles, après la crise de fourbure, j'ai mis bien trois ans pour retrouver ma jumpent à l'aise au trois allures et sur tous les sols, elle n'est plus ferrée depuis sa crise, elle est parée très régulièrement et j'utilise des chaussures pour les sorties, elle suis un régime (mais vie quand même au pré), je fait très attention à son foie, et à son organisme en générale pour éviter toute intoxication des cellules, j'espère que ta ponette ira mieux, pour info les vétérinaires trouvaient aussi ma jument foutue, par contre ma MF m'a tjrs soutenu tout au long de ses dures épreuves. |
Par quizzy : le 02/11/11 à 16:41:59
| Dire merci | ho que ça fait du bien d'avoir autant d'avis /temoignages... alors, en espérant n'oublier personne: 1.indiana jones, je vois que toi aussi tu t'en es sortie avec des pieds nus . suis preneuse d'avis sur le sujet... 2. roro : et ben si, montres moi tes radios, si cétait encore pire, ça peut que me donner du moral et du courage.... ici, on a une idée de la cause : effort combiné avec trop grosse prise d'eau froide, le tout un jour de chaleur d'enfer... et ce jour là, ma quiqui, qui a un super coup de saut, a fait une 'puisssance" à l'occasion de la fete du poney club... enfin bon, ça sert à rien de se flageller après coup...meme si on aurait pu l'éviter... Quizzy aussi a une rotation en plus du basculement sur une phalange... et j''espère avoir trouvé la bonne équipe veto/MF pour m'entourer. en réalité, tu te poses vraiment la question quand le gros prb arrive... moi, ça ma permis de voir que "l'équipe" du poney club, valable pour les vaccins et ferrages classiques n'était pas à la hauteur. et j'ai perdu un mois... mais bon, maintenant, je crois, j'espère, que ça va aller... 3. el bimbo, tu as l'oeil, toi... oui, a priori, les phalanges ne sont pas nécrosées, ce qui, dnas le merdier ambiant, est plutot positif... et oui, on travaille avec le maréchal a, notammnet, abaisser le talon... 4. amroni, merci de ton témoignage : le temps m'importe peu.. par contre qu'est ce que c'est ces "chaussures" dont tu parles ? et je vois que toi aussi tu as opté pour le pied nud... ce qui m'interesse, j'aimerai en savoir plus sur quand etc.... et pour le régime alors que ta ponette est au pré, comment fais tu , des conseils ??? parce que ma quizzy, je pourrais pas et ne veut pas la laisser ad vitam en box. elle en creverait... mais va falloir que j'apprenne à gérer le pré..... donc les conseils de ceux qui le font sont les bienvenus.... et merci à tous, bou diou que ça fait du bien de pouvoir parler de ce fichu truc qu'est la fourbure.... |
Par guigui6 : le 02/11/11 à 16:50:48
| Dire merci | je l'aie acheté dans cet "état" sans le savoir vraiment, bon je l'aie vu direct qu'elle était fourbue avec ses pieds en babouche, car trés mal soigné pendant 2ans, obèse nourrie comme un cheval de trait, pain baguette .... Forcément avec sa bouille de bébé; ben j'ai craquée dessus lol Il faut savoir que quand je l'aie achetée elle ne boiter pas du tout, le maréchal du club m'a dit je le ferre sinon je suis bon pour passé toute les semaines la parer tellement ça pousse (forcément en pleine crise les talons poussent )J'ai été trés naive au début ou je l'aie eu, faire confiance les yeux fermé, résultat une ponette boiteuse car trééés mauvaise ferrure, et un pseudo abcès que le maréchal perce mais ce n'était pas un abcès mais la pointe de la phalange qui se montré la je peux dire que j'en ai pleurer de l'avoir fait souffrir comme ça. de là passage du véto et radio (une autre que celle que j'ai posté) , du coup avec avis véto ferrure à l'envers plus plaque car sole trés molle. Ben la ponette toujours aussi boiteuse après 6mois de ferrure, les ferrures se passent de plus en plus mal, elle se défend a chaque clou enfoncé, c'est ça qui m'a décidé à la déferrer, une ponette complétement éteinte qui ne se bat plus. J'ai appelé uen pareuse qui me l'a déférré (non sans mal, car kétie trés nerveuse dès qu'on touche ses pieds) je lui ai scotché des grosses semelles en mousse pour que sa sole se durcisse, ça c'est fait petit a petit, elle marchait beaucoup mieux, elle s'est même mise a trotter 2semaines après (après 1an au pas quand même) Bon je dit pas ya toujours des hauts et des bas, c'est moi même qui prend en charge ses parages, mon nouveau maréchal est là en cas de besoin, Tous les maréchaux que j'ai vu, laisse beaucoup trop de talons ce qui entraine de grosses pressions en pince et donc sur la phalange. L'antérieur droit est "presque" redevenu normal, reste 1cm en pince pour que tout soit réglé, le gauche c'est plus long c'est le plus atteint et elle ne s'appuie pas assez dessus . Ne desespère pas, entoure toi des bonnes personnes pour ta fifille, maréchal ou pareur, ostéo ça peut aider, kétie se déplacer pas mal le bassin a force de compenser, l'homéo a pas mal aider aussi, car kétie a combiné fourbure alimentaire et médicamenteuse. Pleins de courage a toi, moi après 2ans et demi de soins on commence a voir le bout du tunnel =) Si t'a besoin de soutient Mp si besoin ^^ désolé j'ai fait un roman |
Par roro : le 02/11/11 à 17:08:56
| Dire merci | quizzy, non, ma radio date de 2000 et ça a bougé depuis. par contre, j'ai de bien belles photos de la fourbure de ma fille depuis mai 2010, quand j'ai commencé à travailler sur son pied pour ..... tout refaire à l'intérieur.résultat, pas sure que vous gérez un pied complètement ouvert avec une vision presque totale du devant du pied, mais à l'intérieur ![]() j'avais dit que je ferai éventuellement un dossier sur mon travail sur le pied de ma jument pour montrer, mais en regardant les photos, j'ai un peu peur de vous faire .... peur. l'essentiel c'est qu'avec le temps et une gestion correcte, un cheval peut se remettre très bien, tout en évitant que ça devienne chronique. suffit d'avoir une bonne gestion du parage et juste, une nourriture adaptée et une fois que le cheval peut retravailler, adapter son travail pour que le cheval puisse soulager ses antérieurs, bon dressage, plus de puissance sur les hanches, bon abdos, etc. et le cheval peut très s'en sortir et avoir une vie normale |
Par quizzy : le 02/11/11 à 17:17:26
| Dire merci | jaime bien un roman comme ça guigui06, ça montre que rien n'est perdu... et qu'il faut se battre. ça me motive dans ma décision. si t'as des photos des semelles en mousse que tu lui scotchais, par contre, suis preneuse hi hi .... le MF qui est venu a estimé quil ne fallait pas 'autant" agir sur le talon que la veto l'avait préconisé... alors j'attends... que faire d'autre ? on est quand meme pas mal tributaire des prof dans ces cas là... là, déjà, moi, mon souci c'est de lui trouver un hébergement. là ou elle est, il me la garderont pas en box, je prends la place d'un poney rentable (elle l'est plus). mais faut lui trouver une pension box / pré dans l'immédiat. et c'est pas simple, sauf à faire 100 bornes pour y aller... mais ON VA Y ARRIVER !!! et j'y crois encore plus à vous lire.... merci merci |
Par amroni : le 02/11/11 à 17:46:17
DéconnectéDire merci | Quand ma jument a fait sa crise, elle était ferrée, on a commencé par lui mettre des fers à l'envers, mais c'était vraiment compliqué avec le terrain, et puis quelques mois après la crise elle a fait une série d'abcès sur ses deux antérieurs, j'ai vraiment passé des moments difficiles, la décision de la passer pied nus à été prise avec ma MF qui venait de faire un stage sur la fourbure, je précise que la jument n'était plus en crise depuis longtemps et le travail de réparation du pied c'est fait petit à petit. Pour les chaussures se sont des easyboots classiques j'ai juste fabriqué un intérieur un peu plus moelleux pour éviter les chocs répétitifs, j'ai utilisé une plaque en silicone que l'on utilise pour mettre avec des fers. Pour la vie au pré, je fait en fonction du temps et de l'herbe, je parque souvent ma jument dans des petites parcelles, je fait très attention au moment de repousse d'herbe, je donne régulièrement des cures de phytothérapie (de chez équinatura) pour drainer et désintoxiquer son organisme. |
Par marinaagen : le 02/11/11 à 18:36:05
| Dire merci | j'ai un fourbu chronique aussi, avec une bascule sur les anterieurs (pas aussi importante que la tienne). Il souffrait a ne pas pouvoir marcher quand je l'ai récuperé (sauvé juste avant son depart pour la boucherie). Aucun véto ni aucun marechal n'avait suspecté une fourbure (il y a un an). On me disait juste sole trop fine, faut ferrer... donc c'est ce que j'ai fait, mais voyant au bout de plusieurs mois que la situation empirait (il ne boitait plus ferré mais ses pieds partaient en babouche et il était immobile dès qu'il deferrait), j'ai décider de faire de radios, je trouvait ca louche, et le verdict est tombé... on a essayé les fers a l'envers, un désastre il souffrait trop, je les ai viré au bout de 24h ! J'ai décidé de le laisser pieds nus, dans des chaussons medicaux. Avec ca il se sent bien. En parallèle, on pare très regulierement, en rapant bien en pince, et en baissant petit a petit les talons. Le pied pousse en gardant le bon angle pour l'instant, la sole devient moins bombée, mais ca va etre encore très long, faut etre patient, et ne pas baisser les bras. Je te conseille vivement ces chaussons, qui sont une veritable bouée de sauvetage pour eux : Lien Mon cheval vit en box paddock, sans herbe ou a peine, foin a volonté. Ce n'etait pas non plus une fourbure à cause d'un surpoids pour lui, il est plutot fin (ps anglais), et est arrivé chez moi dans un étét catastrophique de maigreur (il a été abandonné dans un marais plusieurs moi), bref je ne connais pas l'origine de la fourbure . Courage a ta fifille |
Par guigui6 : le 02/11/11 à 19:07:23
| Dire merci | sos sabots est un bon site, ben en fait j'ai scotché les semelles rouges que l'on trouve sur le site d'sos sabots, mais tu peux lui acheter des chaussons thérapeutique comme le dit marinaagen moi le truc c'est que les pieds de kétie ont tellement bougé, perdu 3cm en longueur, que ben j'ai fait 3paires différentes d'hipposandales lol tu peux trouver d'occasion, ça se revend bien |
Par quizzy : le 02/11/11 à 20:55:07
| Dire merci | ouahhhhhhhhh, les filles merci, je connaissais pas du tout et je n'imaginais meme pas que ça existait !!! mais par contre, comment vous faites ? le cheval les portent tout le temps ? meme en extérieur ? |
Par marinaagen : le 02/11/11 à 20:57:11
| Dire merci | oui, mon cheval les porte meme au pré. Et grace a ca il revit ! et au pire, quand il y a beaucoup de gadoue, j'enroule les scratchs des chaussons avec un sparadrap pour ne pas qu'ils se défassent ![]() |
Par sandrine5483 : le 02/11/11 à 21:21:33
| Dire merci | bonjour je t'apporte mon temoignage ma grosse est une grande fourbue elle a eu une grosse crise a ses 5ans suite a une reaction a un anti inflamatoire suite a une morsure serpent (a 1ere vue) elle etait paralisée des 4 membre l'horreur la phalange avait tellement basculée que pas besoin d'une radio sa bombais la sole mon veto voulais la piquer ,il m'a fallu du temps pour y arriver mais on y ai arriver aspirine ,equipalazone plus un antiinflamatoire les 1ere jour puis elle s'est remisa se deplacer très dure le moindre defaut du sol elle manaçait de tomber on a essaye les fer a l'envers pas vraiment soulager m'ai il lui fallais de fer afin de surelever le pied pour que la sole ne touche plus parterre donc on a ferre avec un systeme de boudin qui ammortissais les chocs mais des que l'on a pas elle a ete pied nue et la elle a revecu meme si son pied ne sera plus jamais le meme il ma fallu 3ans pour retrouver une sole convenable car elle a necrosée ,pourrisais des fois on se demandais si le sabot n'allais pas tomber non sa a tenus elle a ete remonter toujours pied nue vers ses 8ans pour de bonne balade mets après elle a eu un autre accident qui la mis a la retraite qu'elle continue depuis presque 20 ans voila bon courage si ta ponette en veux continue moi si je l'avais vue baisser de moral je l'aurrais fais sandrine |
Par quizzy : le 02/11/11 à 22:18:22
| Dire merci | merci de ton témoignage sandrine. quizzy, les premières semaines, n'avait vraiment pas le moral. mais la, je trouve qu'elle est mieux. elle m'accueille d'un petit hennissement quand j'arrive dans les écuries, elle fouine dans mes poches et me pousse du nez quand je m'occupe d'elle.... alors qu'au début, elle était totalement apathique. alors je me dis qu'elle veut vivre... et que elle, elle n'a pas renoncé. donc je me bats. ce soir, j'ai passé un grand moment avec elle. je l'ai sorti et je l'ai emmenée tout doucement, à son rythme, jusqu'à la carrière ou ma fille s'entrainait (horse ball). elle a brouté pendant tout lentrainement, en liberté à coté de la carrière. toutes les petites de l'équipe étaient contentes de la voir là et la quiqui, et ben, elle avait pas l'air de se plaindre... et puis, j'ai eu une bonne nouvelle : il y a de bonnes chances que je puisse avoir très vite un box avec accès paddock à 2,5 kms de la maison... ce qui me permettrait de la voir tous les jours.... on croise les doigts... |
Par amroni : le 04/11/11 à 21:45:29
DéconnectéDire merci | c'est une super nouvelle si tu peux la ramener près de chez toi, parce que les chevaux fourbus demandent une attention toute particulière.![]() |
Par quizzy : le 05/11/11 à 14:23:57
| Dire merci | les nouvelles : après avoir beaucoup lu sur le forum, je pense effectivement passer au parage naturel; j'ai contacté une pareuse aujourd'hui, qui est sur le site de l'afpn. par contre, avez vous des conseils pour des produits pour drainer et pour d'éventuels compléments utiles ? là, elle est au foin, c'est tout. en box sur copeau. j'espère pouvoir, dans quelques jours, la rapatrier plus près de la maison en paddock avec box/abri. pour l'instant, elle marche, mais difficilement. mais c'est quand meme mieux depuis qu'elle a été ferrée à l'envers, mardi. |
Par maeole : le 05/11/11 à 15:27:18
| Dire merci | Voila moi je donne a "Moon" : [urlhttp://www.equiboutique.com/?p=productsMore&iProduct=78[/url] Voici l'histoire de ma Moon qui revient de loin aussi et sa fourbure était du a une intoxication (vermifuge) : Lien Bon courrage a toi et c'est une très bonne décision que de mettre ta ponette pied nu mais il faut des soins de parrage et des boots afin de la soulager. |
Par doudonyx : le 05/11/11 à 15:55:37
| Dire merci | ma "grosse" qui n'est plus grosse maintenant nous a fait une fourbure l'année dernière. Les 4 pieds en sang.... J'ai vu 1 osthéo, 1 véto/osthéo et 1 véto, et ils sont tous passé à côté de la fourbure!!! total la mémère à souffert 2 mois avant que mon maréchal me montre l'ampleur des dégats!! 4 pieds en sang, une juju qui ne voulait plus se lever et que les vétos (et le maréchal) donnaient pour morte.... heureusement mon maréchal a tenté la ferrure de la denière chance: ferrure à l'envers avec plaque et gel spécial. C'est grace a ça aujourd'hui qu'elle est vivante, mais ça a été long, très long... 2 mois avant qu'elle puisse enchainer qq pas, et 8 mois avant qu'elle marche plus ou moins normalement. elle a toujours été pied nue avant et après. Cette année, elle m'en a fait une petite des antérieurs. Le maréchal a tenté de faire juste un parage spécial, mais ça n'a pas marché et on a du re ferrer avec plaque et gel, mais ça a été moins long cet année. Elle a mis 3 mois pour être "normale". bref, si ta juju a envie de s'en sortir il faut tout faire pour l'aider!!! Et oui, elle sera a risque et ce sera long mais la retrouvée en pleine forme, c'est le plus beau cadeau que l'on peut avoir! bon courage à toi et elle!!! |
Par quizzy : le 05/11/11 à 17:42:43
| Dire merci | merci maeole et doudonyx pour vos témoignages. ça aide à garder le moral. maeole, les progres de moon sont tout simplement stupéfiants et je dirais que ça me conforte dans mon idée de recourir au parage naturel. je viens d'ailleurs d'envoyer radios et photos à une pareuse. moi, je veux juste tout faire pour quizzy et pour ma fille, qui souffre de voir sa ponette comme ça. elle n'espère pas refaire les memes choses avec elle, mais voudrait juste qu'elle puisse ne plus souffrir et si en prime elle peut faire un peu de balades, et bien tant mieux. je dis, en tous cas, merci à ce forum que j'ai découvert à l'occasion du pb de Quizzy et qui m'aide vraiment à y croire et à garder le moral.... pour l'instant, ce qui me fait plaisir, c'est que je vois que Quiz a retrouvé un peu le moral et ne se laisse plus "abattre" comme les 3 premières semaines. |
Par wicky : le 05/11/11 à 23:41:27
| Dire merci | je ne peux pas te conseiller sur la fourbure mais juste t'apporter un petit mot de soutien pour toi et ta quizzy 4 ans en arrière ma jument souffrait encore du syndrome naviculaire et a été "sauvée" grâce au parage naturel ou plus exactement grâce au savoir-faire d'un excellent pareur je souhaite que ça réussisse aussi bien à ta jolie quizzy... Courage et plein de zondes ! |
Par marinaagen : le 06/11/11 à 08:03:37
| Dire merci | formidable, je pense que tu ne regretteras pas le pieds nus. Par contre, penses aux chaussons des qu'elle sera déferrée. Tiens nous au courant, et à l'occas, mets nous quelques photos de l'evolution ![]() |
Par kariane : le 06/11/11 à 08:18:53
| Dire merci | il te faut des soins très régulier, j'ai un fourbu à qui je fais un parage toutes les semaines..... mais il y a d'autres complications d'avant aussi, je vois pour la compil photo avec mon amie... sur les fourbus c'est les soins quotidien et les parages très très réguliers qui vont t'aider.... |
Par kariane : le 06/11/11 à 08:20:07
| Dire merci | y a une petit forme sur l'antérieur face antérieure ? |
Par quizzy : le 06/11/11 à 11:39:29
| Dire merci | hello Kariane. de quelles complications d'avant parles tu ? et tu as vu les photos que j'ai faites des pieds de quizzy ? pour la petite forme sur l'antérieur, je sais pas, lequel, le droit ou le gauche ? si tu veux, je peux te donner mon tel en MP ou t'appeler moi pour te donner plus de précisions ou d'infos si tu le désires ? |
Par quizzy : le 09/11/11 à 13:05:06
| Dire merci | normalement, Quizzy change de "crémerie" vendredi. elle part chez un copain. elle aura un grand grand box avec un paddock "maigre". elle sera complétée (vraiment) au foin. aura une surveillance quotidienne véritable. je suis très impatiente. une fois qu'elle sera installée, je pourrais faire venir la pareuse pour la déferrer et commencer à travailler au naturel sur ces petits petons. je suis impatiente |
Par maeole : le 09/11/11 à 13:10:07
| Dire merci | Je pense que ta ponette aussi !! Tu as pris la bonne décision pour elle. Surtout tiens nous au courant ... |
Par quizzy : le 09/11/11 à 13:31:12
| Dire merci | je viens d'avoir la pareuse au tel. normalement, elle passera samedi après midi.... les décisions que je prends en ce moment pour Quizzy sont loin d'être comprises autour de moi, que ce soit pour son lieu de vie (beaucoup la mettrait au pré et se contenterait d'attendre, si ce n'est de l'envoyer à la boucherie... j'entends de tout) ou pour le recours au parage naturel. mais je tiens bon, car j'essaie juste de faire au mieux pour elle. après, je verrais bien, en espérant que le temps me donne raison.... |
Par marinaagen : le 09/11/11 à 21:06:00
| Dire merci | tu as raison, tiens bon, n'ecoute pas les autres, ecoute juste ta ponette ![]() et pour te donner espoir : aujourd'hui mon kéké marche correctement sans ses chaussons !! Il y a encore 3 mois, avant que je me documente et prenne les choses en main, il se couchait pour ne plus se relever si on le deferrait ... patience et de bons soins ... ![]() |
Page : 1 | 2 | 3 | 4 | 5 | 6 | 7 | 8 | 9 > >
Pour préserver la qualité de ce forum, vous devez être membre pour participer à cette discussion..
Il y a actuellement (69 357) membres dans la communauté.
Devenez membre | Connectez vous


Déconnecté





et bon courage à toi et à Quizzy 



). 

















