Fracture du processus palmaire non ressoudée ?
Sujet commencé par : quercy - Il y a 1 réponses à ce sujet, dernière réponse par quercy1 personne suit ce sujet
Par quercy : le 11/06/14 à 07:42:36
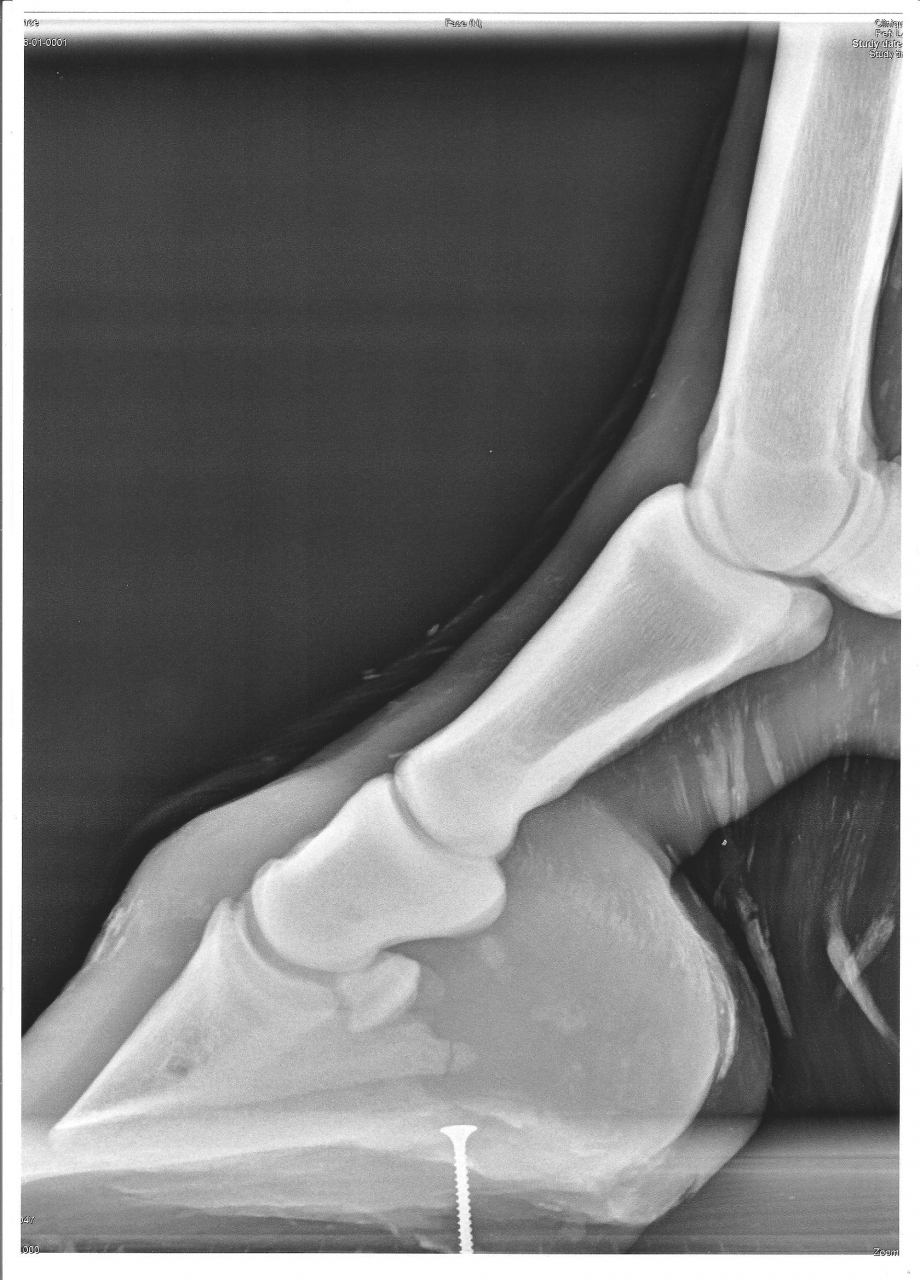
| Dire merci | Sur un fjord de 10 ans, pas gros : Il y a un moment ( découverte il y a 2 ans, mais sans doute plus ancienne ) que mon loulou à carrément une fracture du processus palmaire qui ne se ressoudera sans doute pas, découverte par hazard car on avait fait des radios pour savoir d'où venait sa boiterie et ce n'était même pas de là, il avait le garrot de bloqué... mon véto m'a donner le feu vert pour le monter et travailler normalement mais j'ai peur que le bout non ressoudé bouge à un moment ou à un autre et fasse de gros dégas... Vue que depuis il s'est encore blessé dans son parc ( déplacement de la rotule et suspition d'entorse coxo fémorale ) je ne l'ai pas encore retravailé mais maintenant il est OK pour reprendre le boulot... Alor je ne pourrais pas dire ce que çà donne au boulot... D'après ce que j'ai lue, je pence que son soucis vient d'un mauvais parrage, avant que je l'achette, ce n'était pas un MF qui le parrait... Actuellement, il est pieds nus, çà lui vat très bien ( sans travailler ), après le 15 juin je le remet au boullot tranquillement dans le but de faire un peut de TREC pour le plaisir ( donc sauter un peut ), pas en compet et surtout du dressage et de la ballade sur des chemins dur et caillouteux qui ne sont pas top pour lui... J'envisage de lui prendre des hypposandales pour un meilleur amortissement... En plus, il est fait en descendant... Tous son poid vers l'avant Y aurrait-il quelqu'un dans le même cas que moi ? Ou des personnes / vétos pouvant partager leur expériance ou avis ? Des conseils pour son travail ? J'ai entedu dire que çà arrivait fréquement en CSO... merci d'avance ! ![]() Les radios ( ce sont les premières, les dernières, je dois les redemander au véto, je ne les trouvent plus dans mon ordi...) ![]() ![]() |
Message 1 à 1, Page : 1
Par quercy : le 12/06/14 à 12:08:42
Page : 1
Pour préserver la qualité de ce forum, vous devez être membre pour participer à cette discussion..
Il y a actuellement (69 433) membres dans la communauté.
Devenez membre | Connectez vous


Déconnecté












